万千商家帮你免费找货
0 人在求购买到急需产品
- 详细信息
- 询价记录
- 文献和实验
- 技术资料
- 库存:
50
- 英文名:
High MW non-denaturing protein Marker
- 保质期:
24 个月
- 供应商:
上海博尔森生物科技有限公司
- 保存条件:
-20℃
- 规格:
20T
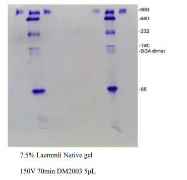
高分子量非变性电泳蛋白Marker(66-669 kD,5条带)
储存条件:注:配制好的蛋白 Marker-20℃保存,有效期为 24 个月。
产品内容:

产品说明:
本产品是 5 种高纯蛋白质干粉混合物,总蛋白含量为 250μg。具体蛋白含量如下:

操作说明:
1. 取 100μl 非变性蛋白上样缓冲液(1×)加入到蛋白干粉混合物中,彻底混匀融化后,-20℃贮存。
2. 常温融化后,彻底混匀,上样电泳。
注:上样量根据胶的厚度和梳子的宽度确定。一般说来,0.75mm×5mm(厚度×宽度)的加样孔上样 5 μl,其他规格梳子请适当调整上样量。
3. 电泳结束后,染色,观察结果。
注:使用银染时,由于灵敏度高于考马斯亮蓝染色方法,可以适当降低 Marker 上样量,一般稀释 50 倍。
注意:
1. 本蛋白 Marker 不适用于变性蛋白电泳(SDS-PAGE),因为在 SDS 存在下,含有多个亚单位的蛋白会不同程度解聚。
2. 在非变性条件下,蛋白的迁移与蛋白的电荷、蛋白形状以及蛋白分子量都有关。因此,在一种凝胶浓度下使用本 Marker 不能精确估计出目的蛋白的分子量。非变性电泳中,蛋白分子量的确定应该是在不同凝胶浓度下,确定出蛋白的 Rf 值,绘制出凝胶浓度对 Rf 的曲线从而判定蛋白的分子量。


电泳条件:
5-12% 聚梯度胶 厚 1mm
Tris-甘氨酸不连续系统
150V 稳压电泳
考马斯亮蓝 G250 染色
特别提示:本公司的所有产品仅可用于科研实验,严禁用于临床医疗及其他非科研用途!
风险提示:丁香通仅作为第三方平台,为商家信息发布提供平台空间。用户咨询产品时请注意保护个人信息及财产安全,合理判断,谨慎选购商品,商家和用户对交易行为负责。对于医疗器械类产品,请先查证核实企业经营资质和医疗器械产品注册证情况。
- 作者
- 内容
- 询问日期
文献和实验liteng1117 求助: 构建好了重组腺病毒进行蛋白表达,分子量是14kd,5%的浓缩胶70v,12%,或15%的分离胶110v,跑90min。湿转:100v,90min。封闭用5%的脱脂奶粉,封闭3h(因为背景深,以为封闭久会好些)。一抗1:3000,4度过夜,二抗1:5000,孵育1h,洗膜都是用TBST漂洗15min ×4次。但是显影后背景特别深,虽然可以看见目的条带,但还是有一些非特异性的条带出现,不知道是封闭出问题还是一抗浓度过高。
3 个目的条带,而第二张图 6 个目的条带全部可以看到。 而造成这样大反差的根本原因就在于 Marker 了。为什么会这样呢?有三个很重要的原因。 第一,选择的抗体不是单克隆抗体。 第二,该抗体和 Marker 的结合力太强了,远远超过了跟目的蛋白的结合力。 第三,我们使用的成像系统并不能像人一样识别哪些是目的条带,哪些是非目的条带,为了保证成像区域不至于过度曝光,成像系统会严格地控制曝光时间,在特定的曝光时间下,尽管成像区域没有因为过度曝光而导致影像失常,但信号相对较弱的目的条带却因为没有足够的曝光
【求助】180KD的膜蛋白western转膜条件怎样?(湿转)
zhywang4072 鄙人现在做一180KD的蛋白,之前转PVDF膜用的是100v两个半小时,预染marker转得很漂亮,内参也很不错,但是目标蛋白条带却没有,请教各位大侠,这是什么原因?还有诸位大蛋白转膜时候条件怎样?我用的是湿转,谢谢 wodezxn 我觉得100V2h肯定是足够了,没转上应该是你目的蛋白的问题,可能是蛋白表达量太少或者你提蛋白的时间有问题。 zhibinx2007
技术资料暂无技术资料 索取技术资料










