上海启高生物科技有限公司

上海启高生物科技有限公司

4

手机商铺

qrcode
商家活跃:
产品热度:
  • NaN
  • 0.40000000000000036
  • 0.40000000000000036
  • 1.4000000000000004
  • 0.40000000000000036

上海启高生物科技有限公司

入驻年限:4

  • 联系人:

    孙康琦

  • 所在地区:

    上海 普陀区

  • 业务范围:

    技术服务、试剂、抗体、细胞库 / 细胞培养、ELISA 试剂盒、耗材、论文服务

  • 经营模式:

    科研机构 代理商 经销商

在线沟通

关于我们查看全部

上海启高生物科技有限公司
上海启高生物科技有限公司,是由多位长期从事生物科学研究的工作者创办的高科技企业,专注于生命科学领域的技术服务及相关产品的研发。现主要从事的技术服务有:蛋白组学itraq(LC-MS)检测;病理检测服务(石蜡切片、HE染色、免疫组织化学、tunel、扫描电镜、透射电镜、硬组织切片(骨组织无需脱钙));动物饲养及管理:SPF级大、小鼠实验平台;分子生物学服务:WB、Real-time PCR、SNP、ELISA检测;代理产品品牌:abcam, CST, R&D, BD, Invitrogen, Santa cruz及细胞培养相关耗材Corning/NUNC/BD等等二十多家国外知名品牌,致力于为广大高校、科研院所和企事业单位提供一流的科研试剂和完善的技术服务,满足生物化学、分子生物学 、细胞生物学、免疫学 ELISA试剂盒,抗体,标准品,微生物培养基等生物科技实验需求。

公司新闻查看全部

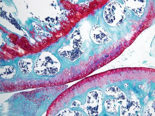
Applied Materials Today (IF=8.3)磷酸-镁配位增强的自组装纳米复合水凝胶在骨修复中的应用
由损伤、骨肿瘤切除、退行性疾病或其他疾病引起的临界性骨缺损,不能自愈需要干预治疗。自体骨移植或异体骨移植都受到供体短缺、免疫反应的潜在风险以及其他术后并发症的限制。天然多糖基水凝胶(NPHs),如壳聚糖、明胶、透明质酸和海藻酸,因其与天然细胞外基质相似的化学成分、高含水量、仿生结构、释放生物活性物质的能力,在骨骼再生方面引起了广泛的关注。然而,NPHs通常是软的,仅有千帕级的机械强度、成骨活性不足阻碍其在骨缺损修复中的应用。近年来,镁基材料用于骨缺损修复的临床前和临床试验取得了一些积极的结果,但由于金属镁在生理环境中的快速降解,其临床应用仍存在争议。如何避免Mg2+的爆发性释放,保持骨再生和愈合的最佳浓度是另一个需要解决的问题。将镁基材料,如金属Mg颗粒,Mg网,Mg线和Mg化合物结合到聚合物、陶瓷或其他生物材料中,可改善生物材料的成骨和机械性能。在本研究中,我们设计制备了水溶性磷酸化甲基丙烯酸酐改性壳聚糖(CSMAP),将其与丙烯酰胺网络结合构建双网络水凝胶(CSMAP水凝胶),在此双网络水凝胶中加入纳米氧镁颗粒构建CSMAP-MgO水凝胶。MgO纳米颗粒不仅可以通过颗粒增强CSMAP双网络水凝胶,同时MgO释放的Mg2+与CSMAP形成配位键提高CSMAP的力学稳定性;此外,生物活性Mg2+的持续稳定释放提高了CSMAP的成骨活性。我们对该水凝胶的构建机理、力学性能、力学稳定性以及成骨性能进行系统的研究。本文为临界性骨缺损修复提供了潜在治疗策略。

16781 人阅读发布时间:2024-04-15 17:14

Applied Materials Today (IF=8.3)磷酸-镁配位增强的自组装纳米复合水凝胶在骨修复中的应用

我的询价