万千商家帮你免费找货
0 人在求购买到急需产品
- 详细信息
- 技术资料
- 提供商:
上海达为科生物科技有限公司
- 服务名称:
癌细胞侵袭实验
| 品牌 | 其他品牌 | 应用领域 | 医疗卫生,生物产业 |
|---|
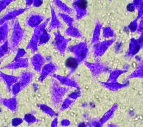
癌细胞侵袭实验是达为科生物的基础服务项目之一,由细胞平台经验丰富的实验人员操作完成。
Matrigel 是从小鼠EHS肉瘤中提取的基质成分,含有LN、IV型胶原、接触蛋白和肝素硫酸多糖,铺在无聚乙烯吡硌烷酮的聚碳酸酯滤膜上,能在DMEM培养基中重建形成膜结构,这种膜结构与天然基质膜结构极为相似。滤膜孔径一般为8um,而且膜孔都被Matrigel覆盖,细胞不能自由穿过,必须分泌水解酶,并通过变形运动才能穿过这种铺有Martrigel 的滤膜,这与体内情况较为相似。铺有Martrigel的滤膜放在以Blind Well腔或MICS腔上下室之间,铺有Martrigel面朝向上室,在下室中加有趋化剂,上室加入重悬的瘤细胞,具有侵袭能力的细胞在趋化剂诱导下开始穿膜运动。细胞穿膜所用的时间与Martrigel的用量有关,选择 25ugMartrigell铺膜,16小时后观察结果较为合适。穿过滤膜的细胞多数粘附在滤膜下表面,可用棉签将上表面的细胞拭去,然后用乙醇固定滤膜,PE染色,在光镜下观察统计穿过Martrigel的细胞数。另外用Transwell小室也可进行重建基质膜侵袭分析,这一方法是在 Transwell小室吊篮式上腔的滤膜上铺上30ugMartrigel,加入细胞72h后观察结果。值得注意的是,细胞在Transwell腔中培养 72小时后,有相当数量穿过滤膜的细胞不再粘附在滤膜下表面,而是脱落进人下腔溶液中.因此统计穿过基质膜的细胞数目时应把这部分细胞考虑在内。肿瘤细胞穿过重建基质膜的能力与它的体内侵袭转移能力表现出较好的相关性,可以用重建基质膜模型初筛抗侵袭药物。
肿瘤细胞侵袭实验(Tumour InvasionAssay)可以:(1)研究各种细胞因子对恶性肿瘤细胞侵袭和转移的影响;(2)一些抑制血管生成的新药研究;(3)研究肿瘤细胞侵袭和转移机制。
风险提示:丁香通仅作为第三方平台,为商家信息发布提供平台空间。用户咨询产品时请注意保护个人信息及财产安全,合理判断,谨慎选购商品,商家和用户对交易行为负责。对于医疗器械类产品,请先查证核实企业经营资质和医疗器械产品注册证情况。











