万千商家帮你免费找货
0 人在求购买到急需产品
- 详细信息
- 技术资料
- 提供商:
上海达为科生物科技有限公司
- 服务名称:
平板克隆实验
| 品牌 | 其他品牌 | 产地类别 | 国产 |
|---|---|---|---|
| 应用领域 | 医疗卫生,生物产业,综合 |
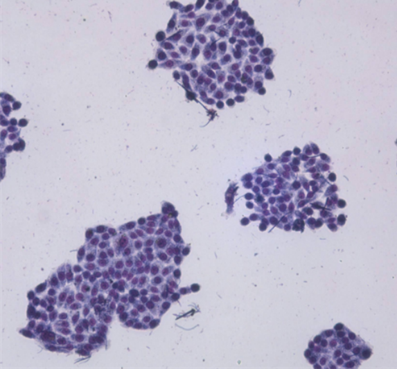
平板克隆实验:当单个细胞在体外增殖6代以上,其后代所组成的细胞群体,称为集落或克隆。每个克隆含有50以上的细胞,大小在0.3-1.0mm之间。集落形成率表示细胞的独立生存能力,各种理化因素可能导致细胞的克隆形成能力发生改变,通过计数克隆形成率可对单个细胞的增殖潜力做定量分析,了解细胞的增殖能力和独立生存能力。软琼脂培养或平板克隆是长用的方法。
平板克隆实验
平板克隆实验形成项目介绍:当单个细胞在体外增殖6代以上,其后代所组成的细胞群体,称为集落或克隆。每个克隆含有50以上的细胞,大小在0.3-1.0mm之间。集落形成率表示细胞的独立生存能力,各种理化因素可能导致细胞的克隆形成能力发生改变,通过计数克隆形成率可对单个细胞的增殖潜力做定量分析,了解细胞的增殖能力和独立生存能力。软琼脂培养或平板克隆是长用的方法。
公司位于上海长江软件园,实验室面积600多平方米。公司目前具备较好的的生物学、医学技术服务平台,能够为广大客户提供医学科研样本检测、合作研究、开发及生产服务。
我们拥有专业的实验室、先进的实验设备和经验丰富的科研技术人员。技术团队包括研究员(博士后)2人,助理研究员(博士)4人,核心研究员(硕士)15人,主要致力于基因组学、转录组学、蛋白质组学、代谢组学、生物化学、病理检测、基因检测等技术在科研中的应用与推广。通过高度细分、较好的的服务平台,为广大客户提供了完善的技术解决方案和服务。
公司于2015年投资建立了1800平方米的动物中心,能够为广大客户提供更为专业的实验动物饲养及造模服务。
通过全体员工的共同努力,公司具备从上游的高通量筛选到下游特定基因功能解析的完善整合技术平台,能够真正为客户提供专业、完善的技术解决方案和服务。
风险提示:丁香通仅作为第三方平台,为商家信息发布提供平台空间。用户咨询产品时请注意保护个人信息及财产安全,合理判断,谨慎选购商品,商家和用户对交易行为负责。对于医疗器械类产品,请先查证核实企业经营资质和医疗器械产品注册证情况。
平板克隆实验
询价











