相关产品推荐更多 >
万千商家帮你免费找货
0 人在求购买到急需产品
- 详细信息
- 文献和实验
- 技术资料
- 提供商:
上海研谨生物
- 服务名称:
PAS糖原染色外包服务
服务名称: PAS糖原染色实验服务
规格: 样本
周期: 3周
价格: 60元
收费标准/服务周期/提供结果:
欢迎咨询详谈,我们会根据您的方案及需求制定详细的服务协议。
更多实验技术服务请浏览网站其他内容,或来电详询!
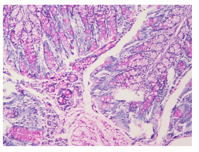
PAS糖原染色简介:
PAS染色又称过碘*酸雪夫染色,糖原染色;一般用来显示糖原和其他多糖物质。还可以观察肾小球基底膜、结肠杯状细胞中性黏液物质、阿米巴滋养体和垂菌的着色。
PAS糖原染色实验意义:
随着医学实验技术的发展,糖原染色应用的范围更加广泛,如用以证明与鉴别细胞内空泡状的性质,心肌病变及其他心血管疾病的诊断,糖原累积病诊断和研究,糖尿病的诊断和研究,用于某些肿瘤的诊断等,为临床诊断、分类和治疗提供了重要的依据。
实验步骤:
(1)石蜡切片脱蜡至水(细胞涂片,冰冻切片直接水洗)。
(2)蒸馏水洗。
(3)过碘*酸酒清夜10min。
(4)自来水冲洗10min。
(5) Schif氏液10min。
(6)流水冲洗5min。
(7)用哈瑞苏木*精或迈耶苏木*精染核3min(细胞核染色过深可用盐酸酒精分化)。
(8)流水冲洗5min。
(9)常规脱水、透明、封固。
实验结果:
PAS阳性为红色:细胞核蓝色。
实验技巧:
(1)试剂均应低温保存,临用前半小时取出恢复室温。
(2)过碘*酸处理温度以不高于20*C为宜,室温高时,处理时间可适当缩短。Schif染液染色时间可随温度调整,室温高可减少染色时间,冬季室温低,可延长至20分钟左右。
风险提示:丁香通仅作为第三方平台,为商家信息发布提供平台空间。用户咨询产品时请注意保护个人信息及财产安全,合理判断,谨慎选购商品,商家和用户对交易行为负责。对于医疗器械类产品,请先查证核实企业经营资质和医疗器械产品注册证情况。
文献和实验【原理】 过碘酸-雪夫(Pexiodic acid-schiff,PAS)染色又称糖原染色。胞浆内存在的糖原或多糖类物质(如黏多糖、黏蛋白、糖蛋白、糖酯等)中的乙二醇基(CHOH-CHOH)经过碘酸(Periodic acid)氧化,转变为二醛基(CHO-CHO),与雪夫(Schiff)试剂中的无色品红结合,形成紫红色化合物而沉积于胞浆中糖原类物质所存在的部位。该反应称为过碘酸-雪夫(PAS)阳性反应。医学教育|网搜集整理
组织形态染色 苏丹黑B染色 染色含切片 4%多聚甲醛固定,冰冻切片。对组织内脂质(如脂滴)染色 Masson染色 染色 观察组织纤维化和肌纤维的鉴别及组织纤维化程度 天狼猩红染色 染色 观察组织纤维化程度,及偏振光进行胶原亚型的分区 PAS糖原染色 染色 观察肝脏、肌肉等组织内糖原的变化; 肠胃肺支气管等杯状细胞酸性粘液物质变化 阿利新蓝染色 染色
意义] 急性单核细胞白血病细胞呈强阳性反应,但单核细胞中的酶活性可被氟化钠(NaF)抑制,故在进行染色时,常同时做氟化钠抑制试验。急性粒细胞白血病时,呈阴性反应或弱阳性反应,但阳性反应不被氟化钠抑制。因此,本染色法主要用于急性单核细胞白血病与急性粒细胞白血病的鉴别。 (七)糖原染色 [原理] 糖原染色,又称过碘酸-Schiff反应(Periodic acid-Schiff’s,reaction,PAS反应)。过碘酸能将血细胞内的糖原氧化,生成醛基。醛基与Schiff液中的无色品红结合,形成紫红
技术资料暂无技术资料 索取技术资料










