相关产品推荐更多 >

TUNEL BrightGreen Apoptosis Detection Kit(绿色荧光原位凋亡检测试剂盒)(A112)
¥1780
Annexin V-APC/PI Apoptosis Detection Kit(A214)
¥1200
TUNEL BrightRed Apoptosis Detection Kit(红色荧光原位凋亡检测试剂盒)(A113)
¥1780
Annexin V-PE/7-AAD Apoptosis Detection Kit(A213)
¥1200
Detergent Compatible Bradford Protein Quantification Kit(兼容去污剂蛋白定量试剂盒)(E211)
¥680
万千商家帮你免费找货
0 人在求购买到急需产品
- 详细信息
- 询价记录
- 文献和实验
- 技术资料
- 保存条件:
-30 ~ -15℃保存;
- 英文名:
TUNEL FITC Apoptosis Detection Kit
- 库存:
大量
- 供应商:
诺唯赞生物科技有限公司
- 规格:
20 rxns/50 rxns/100 rxns
| 规格: | 20 rxns | 产品价格: | ¥1580.0 |
|---|---|---|---|
| 规格: | 50 rxns | 产品价格: | ¥2680.0 |
| 规格: | 100 rxns | 产品价格: | ¥4080.0 |
TUNEL FITC Apoptosis Detection Kit
绿色荧光 TUNEL 凋亡检测

石蜡切片、冰冻切片、贴壁和悬浮培养细胞的凋亡检测

· 经过优化FITC-12-dUTP 与未标记dNTP 的比例,提高了荧光检测的信噪比和灵敏度
· 高活性的重组TdT 酶保证荧光掺入效率
· 适用于细胞爬片、石蜡切片和冰冻切片


图1. 果蝇三龄幼虫视盘(eye disc)
凋亡诱导基因Hid 在特异性启动子驱动下在果蝇视盘的远端诱导出大量凋亡细胞。A. TUNEL 染色,标记凋亡细胞。B. ELAV 染色,标记所有的感光细胞。C. Merge

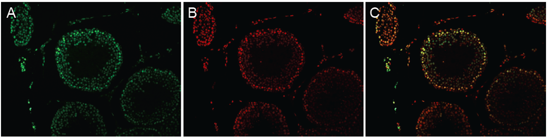
图2. 人睾丸组织切片经DNase I 处理
A. TUNEL染色,标记凋亡细胞。B. PI染色,标记所有细胞核。C. Merge。

本试剂盒采用TUNEL (TdT mediated dUTP Nick End Labeling) 法,应用末端脱氧核糖核苷酸转移酶(Terminal Deoxynucleotidyl Transferase,TdT) 在凋亡细胞断裂的DNA的3’- 羟基(3’-OH) 末端催化掺入荧光素-12-脱氧三磷酸尿苷(FITC-12-dUTP)。FITC-12-dUTP 标记的DNA 可以用荧光显微镜直接观察或者用流式细胞仪定量。试剂盒对标记反应进行了优化,采用一定比例的FITC-12-dUTP 和未标记dNTP 进行3’-OH 末端的核苷酸掺入,使得同一个断裂的DNA 片段末端可以形成更长的“标记尾巴”,减少了相邻掺入dNTP 上标记基团的空间位阻,增加每个断裂片段上的荧光基团数目,降低荧光基团相邻后可能造成的聚集和淬灭,提高了荧光检测的信噪比和灵敏度,高活性的重组TdT 酶保证荧光掺入效率,适用于细胞爬片、石蜡切片和冰冻切片。



-30 ~ -15℃保存;
FITC-12-dUTP Labeling Mix,-30 ~ -15℃避光保存。
风险提示:丁香通仅作为第三方平台,为商家信息发布提供平台空间。用户咨询产品时请注意保护个人信息及财产安全,合理判断,谨慎选购商品,商家和用户对交易行为负责。对于医疗器械类产品,请先查证核实企业经营资质和医疗器械产品注册证情况。
- 作者
- 内容
- 询问日期
文献和实验Detection of Apoptosis by the TUNEL Assay
Apoptosis is the name given to a normal cell process—that of programmed cell death. As the term implies, this is normally a well controlled and highly regulated series of events leading to the elimination of an “unwanted” cell
Detection of Apoptosis by TUNEL Assay
Terminal deoxynucleotidyl transferase (T dT) dU TP N ick-E nd L abeling (TUNEL) assay has been designed to detect apoptotic cells that undergo extensive DNA degradation during the late stages of apoptosis. The method is based on the ability
In Situ Cell Death (Apoptosis) Detection by TUNEL labeling
control slide: in DNase I solution (100µl of 200µg/ml), 10 min., RT. 1x PBS rinse, 2 times in a separate container then combine with other slides.)Wipe around tissue.Make up negative Control solution (just Label solution containing FITC) and TUNEL







