万千商家帮你免费找货
0 人在求购买到急需产品
- 详细信息
- 文献和实验
- 技术资料
- 服务名称:
侵袭迁移试验
- 提供商:
MDL-百奥思科
- 规格:
具体联系客服
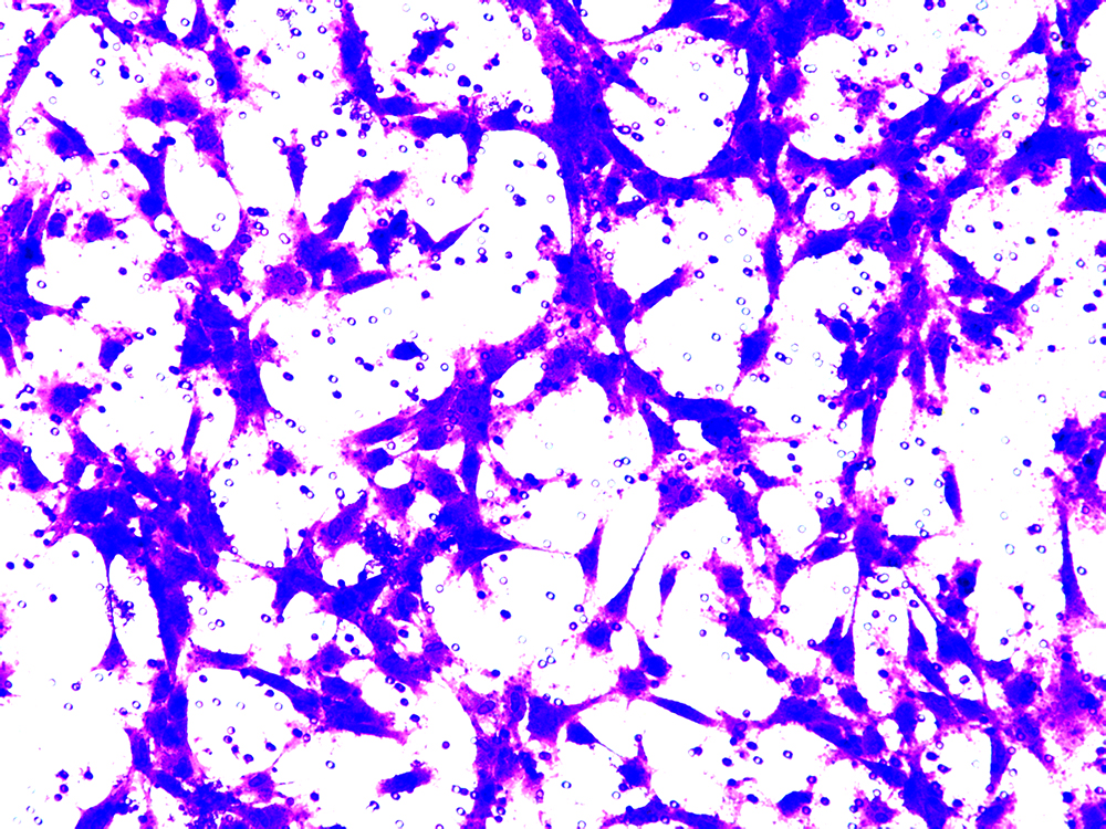
一、实验介绍 细胞迁移与侵袭实验将 Transwell 小室放入培养板中,小室内称上室,培养板内称下室,上下层培养液以聚碳酸酯膜相隔,将研究的细胞种在上室内,由于聚碳酸酯膜有通透性,下层培养液中的成分可以影响到上室内的细胞,应用不同孔径和经过不同处理的聚碳酸酯膜,就可以进行共培养、细胞趋化、细胞迁移、细胞侵袭等多种方面的研究。 实验步骤 一、材料准备 可拍照显微镜,Transwell小室,孔径8μm,没包被胶的(Coster和Corning公司的也较常用),Transwell迁移实验的细胞培养板24孔板。细胞培养板应当与购买的Transwell小室相配套,BD公司的Matrigel,无血清DMEM,(1%胎牛血清)DMEM和1640培养基,DMEM完全培养基,1640完全培养基(也可加到20%血清),无菌PBS,棉签,胰酶,甲醇,结晶紫染液(0.1%(g/ml)PBS结晶紫)
二、步骤和流程
2.1基质胶铺板
用BD公司的Matrigel 1:8(根据细胞产生mmp的量来决定)稀释,包被Transwell小室底部膜的上室面,置37℃30min使Matrigel聚合成凝胶。使用前进行基底膜水化。
2.2制备细胞悬液
①制备细胞悬液前可先让细胞撤血清饥饿12-24h,进一步去除血清的影响。但这一步并不是必须的。 ②消化细胞,终止消化后离心弃去培养液,(用PBS洗1-2遍),用含BSA的无血清培养基重悬。调整细胞密度至5×105/ml。
2.3接种细胞
①取细胞悬液100μl加入Transwell小室。 ② 24孔板下室一般加入600μl含20S的培养基,特别注意的是,下层培养液和小室间常会有气泡产生,一旦产生气泡,下层培养液的趋化作用就减弱甚至消失了,在种板的时候要特别留心,一旦出现气泡,要将小室提起,去除气泡,再将小室放进培养板。 ③培养细胞:常规培养12-48h(主要依癌细胞侵袭能力而定)。24h较常见,时间点的选择除了要考虑到细胞细胞侵袭力外,处理因素对细胞数目的影响也不可忽视。 2.4结果统计 直接计数法,“贴壁”细胞计数,这里所谓的“贴壁”是指细胞穿过膜后,可以附着在膜的下室侧而不会掉到下室里面去,通过给细胞染色,可在镜下计数细胞。 取出Transwell小室,弃去孔中培养液,用无钙的PBS洗2遍,甲醇固定30分钟,将小室适当风干。 0.1%结晶紫染色20 min,用棉签轻轻擦掉上层未迁移细胞,用PBS洗3遍。 400倍显微镜下随即五个视野观察细胞,记数。
-----------------------------------------------------------------------------------------------------------------------------------------
MDL让科研更简单!
MDL为您提供科研CRO一站式服务,方案评估、方案设计、方案执行、报告整理以及后续SCI写作与发表等,全程实验技术服务。MDL自建33,000㎡国际水准研究中心。聚焦基础科研、动物模型、细胞模型、组学服务、生物信息学、基因检测、细胞增殖、细胞周期凋亡、细胞培养、病毒包装,稳定株筛选、原代细胞分离、流式检测、平板克隆、划痕、侵袭迁移、WB、蛋白抽提、蛋白定量、蛋白质纯化、蛋白双向电泳、明胶酶谱、定量pcr、荧光定量PCR服务、包埋切片爬片、免疫组化、免疫荧光等医学科学基础研究与转化医学的研究。08年至今我们与科研人员共同完成12000+课题。在课题设计、课题执行、试剂采购、动物造模、标本检测、报告整理以SCI科研文章指导投稿等方面积累了丰富的经验。用户可以参与实验,实验过程中有任何疑问,我们均提供免费技术支持,欢迎来我公司参观考查。
风险提示:丁香通仅作为第三方平台,为商家信息发布提供平台空间。用户咨询产品时请注意保护个人信息及财产安全,合理判断,谨慎选购商品,商家和用户对交易行为负责。对于医疗器械类产品,请先查证核实企业经营资质和医疗器械产品注册证情况。
文献和实验旷场实验是评价实验动物在新的不同环境中的自主行为、探究行为和紧张程度的方法。 实验过程中要注意:1. 小鼠的周龄和性别需要保持一致; 2. 旷场的形状、体积、实验持续时长、数据采集方式等,也要尽量保持统一; 3. 实验期间需保持安静,并且让实验人员和实验动物保持一定的距离。 实验主要记录动物在旷场中不同区域所待的时间及尿便次数、直立次数等行为,通过分析动物的行为状态来判断动物运动能力的差异。
作者:赵晴 昆明市东川区人民医院检验科 肥达反应(Widal test): 用已知伤寒、副伤寒沙门菌的O、H抗原,检测受检血清中有无相应抗体的半定量凝集试验,称肥达反应(Widal test)。本试验与细菌分离培养同时进行或在前者失败的情况下,能辅助诊断伤寒、甲、乙、丙型副伤寒沙门菌引起的肠热症。 外斐反应(Wiel-Felix): 斑疹伤寒等立克次体与变形杆菌某些X株的菌体抗原(OXk、OX19 、OX2抗原)具有共同的耐热性多糖类属抗原,常用后者代替相应的立克次体抗原进行
鼠伤寒沙门氏菌回复突变试验(Ames 试验,Salmonella Typhimurium / Reverse Mutation Assay)于 1975 年建立并不断发展完善,目前已被世界各国广为采用,已经成为毒理学实验室必需开展的重要实验项目。Ames 实验用于检测待分析物质的致突变作用,该验灵敏、高效、检测范围广。Ames 试验原理Ames 试验利用鼠伤寒沙门氏组氨酸营养缺陷型菌株,该缺陷型菌株不能合成组氨酸,故在缺乏组氨酸的培养基上,仅少数自发回复突变的细菌生长;假如有致突变物存在
技术资料暂无技术资料 索取技术资料









