
TUNEL染色
- 询价
- TUNEL染色
- 江苏南京
- 2025年07月15日
- 详细信息
- 文献和实验
- 技术资料
- 提供商:
BOSGENE
- 服务名称:
TUNEL染色
- 规格:
张
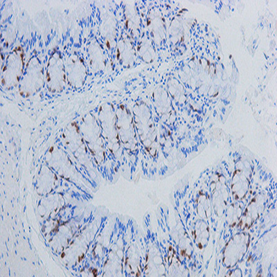
TUNEL(TdT-mediated dUTP nick end labeling)细胞凋亡检测试剂盒是用来检测组织细胞在凋亡早期过程中细胞核DNA的断裂情况。
其原理是荧光素(fluorescein)标记的dUTP在脱氧核糖核苷酸末端转移酶(TdT Enzyme)的作用下,可以连接到凋亡细胞中断裂DNA的3’-OH末端,并与连接辣根过氧化酶(HRP,horse-radish peroxidase)的荧光素抗体特异性结合,后者又与HRP底物DAB反应产生很强的颜色反应(呈深棕色),特异准确地定位正在凋亡的细胞,因而在光学显微镜下即可观察凋亡细胞;由于正常的或正在增殖的细胞几乎没有DNA断裂,因而没有3'-OH形成,很少能够被染色。
实验流程
风险提示:丁香通仅作为第三方平台,为商家信息发布提供平台空间。用户咨询产品时请注意保护个人信息及财产安全,合理判断,谨慎选购商品,商家和用户对交易行为负责。对于医疗器械类产品,请先查证核实企业经营资质和医疗器械产品注册证情况。
文献和实验一、TUNEL法的实验原理 细胞发生凋亡时, 染色体DNA双链或单链断裂产生大量的粘性3'-OH末端,可在脱氧核糖核苷酸末端转移酶(TdT)的作用下,将脱氧核糖核苷酸和荧光素、过氧化物酶、碱性磷酸酶或生物素形成的衍生物标记到DNA的3'-末端,从而可进行凋亡细胞的检测,这类方法称为脱氧核糖核苷酸末端转移酶介导的缺口末端标记法(terminal -deoxynucleotidyl transferase mediated nick end labeling, TUNEL)。由于正常的或正在增殖
Detection of apoptotic process in situ using immunocytochemical and TUNEL assays
, however, can not provide information regarding the histological localization at single cell level. This can be done by immunocytochemical method (A) or by enzymatic in situ labeling of apoptosis-induced DNA strand breaks (TUNEL) (B). Apoptosis was observed
PROTOCOL: •Deparaffinize and rehydrate slides: 3 x 3´ Xylene 3 x 2´ 100% ethanol 1 x 2´ 95%, 80%, 70% ethanol (each) 1 x 5´ 1x PBS •Microwave antigen retrieval: 4 x 5´ in microwave (600 ml of 10mM NaCitrate, pH 6) Cool 20
技术资料






