万千商家帮你免费找货
0 人在求购买到急需产品
- 详细信息
- 询价记录
- 文献和实验
- 技术资料
- 服务名称:
细胞、组织TUNEL凋亡染色实验服务
- 提供商:
晶莱生物
- 规格:
样本
细胞凋亡
是细胞循自身程序结束其生命的主动死亡的过程,具有特征的形态和生化改变,是由基因控制的个别细胞发生的自主有序的死亡。即是由基因控制细胞有目的,有选择性的自我消亡过程,这种淘汰机制是保证生命进化的基础。
实验意义
1. 生物学通过研究生物的结构、功能、发生和发展的规律来研究生命现象和生物活动规律,探讨和发现研究对象的生物学功能有助于深入发掘研究对象的应用前景和科研意义。
2. 验证其生物学功能后,可通过深入探讨涉及的生物学机制进一步研发工具试剂、开发和筛选潜在药物以及治疗方法、临床诊疗以及开发生物制品等。
常规细胞凋亡功能检测及相关检测手段
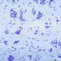
结果展示
流式检测细胞凋亡
细胞TUNEL染色
与细胞凋亡相关的常见疾病
1. 凋亡不足:肿瘤(胞增殖过度是肿瘤发病的一个途径,凋亡受抑、细胞死亡不足是肿瘤发病的另一途径,结果导致病变组织内肿瘤细胞存活延长,存活大于死亡,肿瘤细胞数目净增长加大,形成新生物)、自身免疫病(从细胞凋亡角度看,自身免疫病的发病是由于细胞凋亡不足,未能有效清除自身免疫性T细胞所致)等。
2. 凋亡过度:心血管疾病(心肌缺血与心肌缺血-再灌注损伤),① 缺血早期以细胞凋亡为主,晚期以细胞坏死为主,② 梗死灶中央通常以坏死为主,周边以细胞凋亡为主,③ 轻度缺血以细胞凋亡为主,重度缺血通常以坏死为主、心力衰竭(心肌细胞凋亡造成心肌细胞数量减少可能是心力衰竭发生发展的原因之一)、神经元退行性疾病(阿尔茨海默氏病(AD)与细胞凋亡的关系:AD患者的尸检发现,海马及基底神经核的胆碱能神经元丧失达30-50%,有时高达90%,大脑皮质也有不同程度的神经元丧失,大脑皮质出现广泛萎缩,脑沟变宽,脑回变窄,脑室扩大)等。
3. 细胞凋亡不足与过度并存:动脉粥样硬化(内皮凋亡过度,平滑肌细胞凋亡不足)等。
细胞凋亡相关信号通路及检测
主要信号途径
需确认的信息
1. 是检测细胞凋亡还是组织凋亡?
2. 凋亡的具体检测手段,是TUNEL还是流式检测或者其他检测方式
3. 样本数量为多少?
参考文献
1. NMT1 inhibition modulates breast cancer progression through stress-triggered JNK pathway
2. Triple Fluorescence staining to Evaluate Mechanism-based Apoptosis following Chemotherapeutic and Targeted Anti-cancer Drugs in Live Tumor Cells
3. Parkin-mediated mitophagy as a potential therapeutic target for intervertebral disc degeneration
晶莱病理实验室:长沙实验室;北京实验室;提前预约免费上门取样!
更多病理学实验服务内容详情请咨询晶莱生物!
晶莱生物服务流程
收费标准/服务周期/提供结果:
欢迎咨询详谈,我们会根据您的方案及需求制定详细的服务协议。
更多实验技术服务请浏览网站其他内容,或来电咨询!
做实验,找晶莱!您的科研生涯,我们一路相伴!
【平台项目开展范围】慢病毒,腺病毒,RNAi类,分子生物实验,病理实验,免疫学实验,细胞实验,动物实验,蛋白组学实验,芯片类实验,并为广大客户朋友们提供课题设计指导、基金申请指导等服务。
【北京公司】北京经济技术开发区科创十三街12号院德为科技园1号楼5层
【长沙公司】长沙市高新区麓谷大道627号新长海中心A1-1203室
【晶莱生物】已开展了数千个实验外包项目。我们专注于医学课题研究,已从课题申请、方案设计、试剂采购、模型构造、标本检测、数据分析,各个环节积累了数千个成功案例经验,为数千个来自临床的科研工作者解决了大量的科研问题。更多相关实验服务信息请咨询晶莱生物
风险提示:丁香通仅作为第三方平台,为商家信息发布提供平台空间。用户咨询产品时请注意保护个人信息及财产安全,合理判断,谨慎选购商品,商家和用户对交易行为负责。对于医疗器械类产品,请先查证核实企业经营资质和医疗器械产品注册证情况。
- 作者
- 内容
- 询问日期
文献和实验该产品被引用文献
1. NMT1 inhibition modulates breast cancer progression through stress-triggered JNK pathway
2. Triple Fluorescence staining to Evaluate Mechanism-based Apoptosis following Chemotherapeutic and Targeted Anti-cancer Drugs in Live Tumor Cells
3. Parkin-mediated mitophagy as a potential therapeutic target for intervertebral disc degeneration
技术资料暂无技术资料 索取技术资料
文献支持
细胞、组织TUNEL凋亡染色实验服务
¥200









