万千商家帮你免费找货
0 人在求购买到急需产品
- 详细信息
- 文献和实验
- 技术资料
- 供应商:
上海研生
- 库存:
55
- 英文名:
详见说明书
培养细胞冻存方案:
HLCL9B10以下实验方案介绍了培养细胞冻存的一般流程。详细的实验方案,必须参阅针对具体细胞的产品说明书。
1.配制冻存培养基,于2°C至8°C下储存,直至使用。请注意使用何种冻存培养基取决于所用细胞系。
2.冻存贴壁细胞时,利用传代时所用方法轻柔地使细胞从组织培养容器上脱离下来。用该细胞所需完全培养基重新悬浮细胞。
3.采用血球计数器、细胞计数仪按照台盼蓝拒染法或者使用 Countess®自动细胞计数仪测定总细胞数和活细胞百分比。根据所需活细胞密度,计算冻存培养基需要量。
4.以大约100-200×g的离心力将细胞悬液离心5至10分钟。在无菌条件下小心倒掉上清液,不要搅动细胞沉淀。
注:离心速度和时间取决于细胞种类。
5.用预冷的冻存培养基重新悬浮细胞沉淀,将其调整至该细胞适合的活细胞密度。
6.将细胞悬液分装到若干冻存管中。分装时,应不时轻轻混合细胞,使其保持均匀的细胞悬液状态。
7.使用可控制降温速度的冷冻装置冷冻细胞,使温度每分钟大约降低 1°C。或者,将装有细胞的冻存管放入冻存盒中,然后将冻存盒置于-80°C条件下过夜。

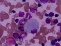
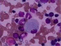
资源名称 HLCL9B10
种属 人类淋巴母细胞瘤细胞
形态 淋巴母细胞样
培养方法
培养基 RPMI1640(w/oHepes)10%FBS
生长特性 悬浮生长
详细说明
描述 该细胞属专利保藏,其特征特性尚未公开。
传代情况 C5
支原体检测 阴性
具体操作:
1.预热培养用液:把已经配制好的装有培养液、PBS液和胰蛋白酶的瓶子放入37℃水浴锅内预热。
2.用75%酒精擦拭经过紫外线照射的超净工作台和双手。
3.正确摆放使用的器械:保证足够的*作空间,不仅便于*作而且可减少污染。
4.点燃酒精灯:注意火焰不能太小。
5.准备好将要使用的消毒后的空培养瓶,放入微波炉内高火,8分钟再次消毒。
6.取出预热好的培养用液:大鼠主动脉平滑肌细胞取出已经预热好的培养用液,用酒精棉球擦拭好后方能放入超净台内。
7.从培养箱内取出细胞:注意取出细胞时要旋紧瓶盖,用酒精棉球擦拭显微镜的台面,再在镜下观察细胞。
8.打开瓶口:将各瓶口一一打开,同时要在酒精灯上烧口消毒。
特别声明:本产品及我公司所售其他产品均为科研类试剂产品,严禁用于药物、医疗及其他非科研用途。
运输和保存:
HLCL9B10视天气状况和运输距离远近,公司与客户协商后选择下述方式中的一种进行。
1)1mL冻存细胞悬液装于1.8ml的冻存管中,置于装满干冰的泡沫保温盒中进行运输;收到细胞后请尽快解冻复苏细胞进行培养,如无法立刻进行复苏操作,冻存细胞可在-80℃的条件下保存1个月。
2)T-25培养瓶充满完全培养基后进行常温运输;收到细胞后请镜下观察细胞生长状态,如铺瓶率超过85%请立即进行传代操作,如悬浮的细胞较多,请将培养瓶至于培养箱中静置过夜以帮助未死亡的悬浮细胞能够再次贴壁。
35013-72-0高端化学试下丘泌受体1(HCRTR1)检测试盒(酶免疫吸附试验法)
9004-54-0高端化学试钙蛋白酶5(CAPN5)检测试盒(酶免疫吸附试验法)
CLCA4(Calcium-activated chloride channel 4)英文名称:SMURF1高迁移率族蛋白B4抗体
35013-72-0高端化学试食欲(OX)检测试盒(酶免疫吸附试验法)
9004-54-0高端化学试钙蛋白酶9(CAPN9)检测试盒(酶免疫吸附试验法)
C-Mer/MERTK (proto-oncogene tyrosine kinase)英文名称:SCN4B硫肝素糖蛋白1抗体抗体
吉非罗齐进口/国产MIRK/Dyrk1B 双特异性酪化调节激酶1B含量测定
9004-54-0高端化学试钙蛋白酶10(CAPN10)检测试盒(酶免疫吸附试验法)
c-Myc tag 英文名称:STIM1叉头蛋白J1抗体
HLCL9B10进口/国产英文名称:C15orf41轴突蛋白1(Neurexin 1α)体
高端化学,合成试, 二二酯
SASS6英文名称:TSPAN9G蛋白偶联受体激酶6抗体 CABP5英文名称:Phospho-CHK2 (ser19)人抗狼疮抗凝抗体(IgG)免疫试剂盒
进口/国产英文名称:CNGA2神经损伤诱导蛋白1体
高端化学,合成试, 异戊肉桂酯
SLC7A5英文名称:Clathrin heavy chain人抗兰尼受体钙释放通道抗体免疫试剂盒
进口/国产英文名称:CANX神经损伤诱导蛋白2体
高端化学,固相合成, 1H-吲-5-
CLPS英文名称:CD168人抗狂犬病毒(RV)抗体免疫试剂盒
注意事项:
1. 接收到细胞,肉眼观察细胞培养基颜色,显微镜观察细胞生长情况,并对细胞进行不同倍数拍照(建议收到时的培养瓶拍一张照片,显微镜拍收到时的细胞100X,200X各一张)。
2.用75%的酒精消毒(建议配置75%的酒精的水是灭菌过的)。
3.严格无菌操作,打开细胞培养瓶。
4.将细胞培养瓶内的培养基用吸管完全吸出(严禁直接倾倒),放入另一无菌容器中(建议换新的培养基培养细胞)。
5.用PBS 2-3ml/次轻轻洗细胞表面,洗3-4次遍,加入0.05%胰酶-EDTA1-1.5ml,显微镜下观察细胞变圆,轻轻拍打培养瓶直到细胞脱落,加入终止液终止。
6.1000rpm,5min离心,重悬细胞。
7.换新的细胞培养瓶,37℃,5%CO2培养。
HLCL9B10以下实验方案介绍了培养细胞冻存的一般流程。详细的实验方案,必须参阅针对具体细胞的产品说明书。
1.配制冻存培养基,于2°C至8°C下储存,直至使用。请注意使用何种冻存培养基取决于所用细胞系。
2.冻存贴壁细胞时,利用传代时所用方法轻柔地使细胞从组织培养容器上脱离下来。用该细胞所需完全培养基重新悬浮细胞。
3.采用血球计数器、细胞计数仪按照台盼蓝拒染法或者使用 Countess®自动细胞计数仪测定总细胞数和活细胞百分比。根据所需活细胞密度,计算冻存培养基需要量。
4.以大约100-200×g的离心力将细胞悬液离心5至10分钟。在无菌条件下小心倒掉上清液,不要搅动细胞沉淀。
注:离心速度和时间取决于细胞种类。
5.用预冷的冻存培养基重新悬浮细胞沉淀,将其调整至该细胞适合的活细胞密度。
6.将细胞悬液分装到若干冻存管中。分装时,应不时轻轻混合细胞,使其保持均匀的细胞悬液状态。
7.使用可控制降温速度的冷冻装置冷冻细胞,使温度每分钟大约降低 1°C。或者,将装有细胞的冻存管放入冻存盒中,然后将冻存盒置于-80°C条件下过夜。

资源名称 HLCL9B10
种属 人类淋巴母细胞瘤细胞
形态 淋巴母细胞样
培养方法
培养基 RPMI1640(w/oHepes)10%FBS
生长特性 悬浮生长
详细说明
描述 该细胞属专利保藏,其特征特性尚未公开。
传代情况 C5
支原体检测 阴性
具体操作:
1.预热培养用液:把已经配制好的装有培养液、PBS液和胰蛋白酶的瓶子放入37℃水浴锅内预热。
2.用75%酒精擦拭经过紫外线照射的超净工作台和双手。
3.正确摆放使用的器械:保证足够的*作空间,不仅便于*作而且可减少污染。
4.点燃酒精灯:注意火焰不能太小。
5.准备好将要使用的消毒后的空培养瓶,放入微波炉内高火,8分钟再次消毒。
6.取出预热好的培养用液:大鼠主动脉平滑肌细胞取出已经预热好的培养用液,用酒精棉球擦拭好后方能放入超净台内。
7.从培养箱内取出细胞:注意取出细胞时要旋紧瓶盖,用酒精棉球擦拭显微镜的台面,再在镜下观察细胞。
8.打开瓶口:将各瓶口一一打开,同时要在酒精灯上烧口消毒。
特别声明:本产品及我公司所售其他产品均为科研类试剂产品,严禁用于药物、医疗及其他非科研用途。
运输和保存:
HLCL9B10视天气状况和运输距离远近,公司与客户协商后选择下述方式中的一种进行。
1)1mL冻存细胞悬液装于1.8ml的冻存管中,置于装满干冰的泡沫保温盒中进行运输;收到细胞后请尽快解冻复苏细胞进行培养,如无法立刻进行复苏操作,冻存细胞可在-80℃的条件下保存1个月。
2)T-25培养瓶充满完全培养基后进行常温运输;收到细胞后请镜下观察细胞生长状态,如铺瓶率超过85%请立即进行传代操作,如悬浮的细胞较多,请将培养瓶至于培养箱中静置过夜以帮助未死亡的悬浮细胞能够再次贴壁。
35013-72-0高端化学试下丘泌受体1(HCRTR1)检测试盒(酶免疫吸附试验法)
9004-54-0高端化学试钙蛋白酶5(CAPN5)检测试盒(酶免疫吸附试验法)
CLCA4(Calcium-activated chloride channel 4)英文名称:SMURF1高迁移率族蛋白B4抗体
35013-72-0高端化学试食欲(OX)检测试盒(酶免疫吸附试验法)
9004-54-0高端化学试钙蛋白酶9(CAPN9)检测试盒(酶免疫吸附试验法)
C-Mer/MERTK (proto-oncogene tyrosine kinase)英文名称:SCN4B硫肝素糖蛋白1抗体抗体
吉非罗齐进口/国产MIRK/Dyrk1B 双特异性酪化调节激酶1B含量测定
9004-54-0高端化学试钙蛋白酶10(CAPN10)检测试盒(酶免疫吸附试验法)
c-Myc tag 英文名称:STIM1叉头蛋白J1抗体
HLCL9B10进口/国产英文名称:C15orf41轴突蛋白1(Neurexin 1α)体
高端化学,合成试, 二二酯
SASS6英文名称:TSPAN9G蛋白偶联受体激酶6抗体 CABP5英文名称:Phospho-CHK2 (ser19)人抗狼疮抗凝抗体(IgG)免疫试剂盒
进口/国产英文名称:CNGA2神经损伤诱导蛋白1体
高端化学,合成试, 异戊肉桂酯
SLC7A5英文名称:Clathrin heavy chain人抗兰尼受体钙释放通道抗体免疫试剂盒
进口/国产英文名称:CANX神经损伤诱导蛋白2体
高端化学,固相合成, 1H-吲-5-
CLPS英文名称:CD168人抗狂犬病毒(RV)抗体免疫试剂盒
注意事项:
1. 接收到细胞,肉眼观察细胞培养基颜色,显微镜观察细胞生长情况,并对细胞进行不同倍数拍照(建议收到时的培养瓶拍一张照片,显微镜拍收到时的细胞100X,200X各一张)。
2.用75%的酒精消毒(建议配置75%的酒精的水是灭菌过的)。
3.严格无菌操作,打开细胞培养瓶。
4.将细胞培养瓶内的培养基用吸管完全吸出(严禁直接倾倒),放入另一无菌容器中(建议换新的培养基培养细胞)。
5.用PBS 2-3ml/次轻轻洗细胞表面,洗3-4次遍,加入0.05%胰酶-EDTA1-1.5ml,显微镜下观察细胞变圆,轻轻拍打培养瓶直到细胞脱落,加入终止液终止。
6.1000rpm,5min离心,重悬细胞。
7.换新的细胞培养瓶,37℃,5%CO2培养。
风险提示:丁香通仅作为第三方平台,为商家信息发布提供平台空间。用户咨询产品时请注意保护个人信息及财产安全,合理判断,谨慎选购商品,商家和用户对交易行为负责。对于医疗器械类产品,请先查证核实企业经营资质和医疗器械产品注册证情况。
文献和实验相关实验
) 2.2.3 离心要求:转速必须大于3500转/分,时间必须大于15分钟 3. 标本储存:待测标本在2-8℃下的保存时间为48小时 4. 标本运输:室温保存 5. 标本拒收标准:不可使用溶血或受污染,或者含有凝块的样品。 6. 试剂 6.1 试剂名称:DianaGel Confirm凝胶卡、DianaSol 1号试剂 6.2 试剂生产厂家:Diagnostic Grifols,S.A.(西班牙) 6.3 试剂说明:每张
技术资料暂无技术资料 索取技术资料
HLCL9B10厂家
询价





![SW 982 [SW-982, SW982]供应商](https://img1.dxycdn.com/2019/1107/173/3378230836230307275-14.png!wh200)




