
鼠单克隆抗体制备服务
- 询价
- 小鼠单克隆抗体是由激活的B淋巴细胞与骨髓瘤细胞融合而成的单克隆杂交瘤细胞产生的。鼠单克隆抗体可针对单一抗原决定簇,特异性高,传代稳定,可大规模重复生产,在基础研究、医学诊断、肿瘤靶向治疗、放射免疫显影等多个领域有着广泛的应用。基于杂交瘤技术,义翘神州可制备高灵敏度、高特异性的鼠单克隆抗体,还可以按客户要求提供灵活的定制化方案,旨在为客户提供高品质精品抗体。 我们的定制鼠单克隆抗体生产服务可根据您最终应用要求,制定个性化免疫、筛选及检测方案,以满足您的验证要求。义翘神州拥有大规模杂交瘤抗体生产经验,可提供从毫克到克的抗体生产。另外,如果您的项目时间很紧张,您还可以选择我们的快速鼠单克隆抗体制备服务。
- 北京
- 2025年08月12日
万千商家帮你免费找货
0 人在求购买到急需产品
- 详细信息
- 询价记录
- 文献和实验
- 技术资料
- 提供商:
北京义翘神州科技股份有限公司
- 服务名称:
小鼠单克隆抗体制备
- 规格:
询价
小鼠单克隆抗体是由激活的B淋巴细胞与骨髓瘤细胞融合而成的单克隆杂交瘤细胞产生的。鼠单克隆抗体可针对单一抗原决定簇,特异性高,传代稳定,可大规模重复生产,在基础研究、医学诊断、肿瘤靶向治疗、放射免疫显影等多个领域有着广泛的应用。基于杂交瘤技术,义翘神州可制备高灵敏度、高特异性的鼠单克隆抗体,还可以按客户要求提供灵活的定制化方案,旨在为客户提供高品质精品抗体。 我们的定制鼠单克隆抗体生产服务可根据您最终应用要求,制定个性化免疫、筛选及检测方案,以满足您的验证要求。义翘神州拥有大规模杂交瘤抗体生产经验,可提供从毫克到克的抗体生产。另外,如果您的项目时间很紧张,您还可以选择我们的快速鼠单克隆抗体制备服务。
服务优势

鼠单克隆抗体服务内容
周期: 4-6个月

注意: 客户可提供抗原或选择义翘神州抗原制备服务。
附加服务: 杂交瘤细胞测序服务、杂交瘤细胞培养抗体生产服务
个性化多节点介入流程

鼠单克隆抗体开发服务案例
义翘神州建立了高通量鼠单克隆抗体制备平台,通过对免疫方案、融合方案、筛选方案、高通量抗体生产纯化方案的优化,建立了一整套鼠单克隆抗体高通量研发方案。鼠单抗均经过 ELISA,WB,IHC,FACS 等多种平台验证,多细胞多组织验证。
多细胞、多组织验证
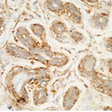
![]() |
![]() |
| Fig 1. Immunochemical staining of human target D with mouse mAb. The left panel: tissue incubated with primary antibody; The right panel: tissue incubated with the mixture of primary antibody and antigen. | Fig 2. Immunochemical staining of human target D with mouse monoclonal antibody. |
多应用验证
![]() |
![]() |
| Fig 1. Confocal immunofluorescence analysis of human target D in MCF7 cells. Positive staining was localized to lysosome membrane. | Fig 2. Flow cytometric analysis of human target D on Jurkat cells. The histogram were derived from gated events with the forward and side light-scatter characteristics of intact cells. |
![]() |
![]() |
| Lane A: Jurkat Whole Cell Lysate. Anti-target D mouse Mab; goat Anti-mouse IgG H&L (Dylight800). | Fig 4. Lane A: Hela Whole Cell Lysate; Lane B: Jurkat Whole Cell Lysate; Lane C: Daudi Whole Cell Lysate. Anti-target D mouse Mab; Dylight 800-labeled antibody to Mouse IgG (H+L). |
立即咨询鼠单克隆抗体制备服务
扫码咨询鼠单克隆抗体制备服务

(欢迎小伙伴来咨询哦! 请注明来源、姓名,单位)
下载产品相关技术资料,获取更多鼠单克隆抗体制备服务相关内容!
风险提示:丁香通仅作为第三方平台,为商家信息发布提供平台空间。用户咨询产品时请注意保护个人信息及财产安全,合理判断,谨慎选购商品,商家和用户对交易行为负责。对于医疗器械类产品,请先查证核实企业经营资质和医疗器械产品注册证情况。
- 作者
- 内容
- 询问日期
文献和实验- 制备的小鼠单克隆抗体纯度高,结合效果好,杂交瘤的方法后期大量生产能够节省很多成本。 ——项*妹 2022/8/1
- 义翘的电融合技术果然比我们自己的PEG融合效率高很多,筛到了很多好抗体。——吴*素 2022/5/25
- 义翘帮我们筛选到了多株中和活性很好的鼠单抗,非常感谢。——喻*克 2022/3/1
- 鼠单抗服务可以按阶段收费,定期反馈,合作很愉快。——阮*朋 2022/2/10
1975年Kohler和Milstein发现将小鼠骨髓瘤细胞与和绵羊红细胞免疫的小鼠脾细胞进行融合,形成的杂交瘤细胞既可产生抗体,又可无性繁殖,从而创立了单克隆抗体杂交瘤技术。这一技术上的突破使血清学的研究进入了一个高度精确的新纪元。 免疫细胞化学的 技术关键之一是制备特异性强、亲合力大、滴度高的特异性抗体,由于每种抗原都有几个抗原决定簇,用它免疫动物将产生对各个决定簇的抗体,即多克隆抗体。单克隆抗体则是由一个产生抗体的细胞与一个骨髓瘤细胞融合而形成的杂交廇细胞经无性繁殖而来
1. 杂交瘤阳性克隆的筛选与克隆化 在HAT培养基中生长的杂交瘤细胞,只有少数是分泌预定特异性单克隆抗体的细胞,因此,必须进行筛选和克隆化。通常采用有限稀释法进行杂交瘤细胞的克隆化培养。采用灵敏、快速、特异的免疫学方法,筛选出能产生所需单克隆抗体的阳性杂交瘤细胞,并进行克隆扩增。经过全面鉴定其所分泌单克隆抗体的免疫球蛋白类型、亚类、特异性、亲和力、识别抗原的表位及其分子量后,及时进行冻存。2. 单克隆抗体的大量制备 单克隆抗体的大量制备重要采用动物体内诱生法和体外培养法。
一、实验目的: 单克隆抗体制备是细胞免疫学的一个重要里程碑,它涵盖了细胞培养、细胞融合、免疫动物和抗体效价检测等各个方面内容。了解单克隆抗体制备的原理、主要步骤和方法。 二、实验原理: 骨髓瘤细胞在体外培养能大量无限增殖,但不能分泌特异性抗体;而抗原免疫的B淋巴细胞能产生特异性抗体,但在体外不能无限增殖。将免疫脾细胞与骨髓瘤细胞融合后形成的杂交瘤细胞,继承了两个亲代细胞的特性,既具有骨髓瘤细胞能无限制增殖的特性,又具有免疫B细胞合成和分泌特异性抗体的能力。经在HAT培养
















