万千商家帮你免费找货
0 人在求购买到急需产品
- 详细信息
- 询价记录
- 文献和实验
- 技术资料
- 服务名称:
标准兔多克隆抗体制备服务
- 提供商:
北京义翘神州科技股份有限公司
- 规格:
询价
标准兔多克隆抗体制备服务
在兔子体内进行多克隆抗体生产是一种经济有效的方法。义翘神州拥有优秀的抗原设计及抗体开发团队,拥有大量兔多克隆抗体开发经验,可提供75天标准兔多克隆抗体制备服务,旨在为客户开发满足客户应用要求的高品质兔多克隆抗体。如果您想尽快获得多克隆抗体,您也可以选择我们的45天快速多克隆抗体制备服务。义翘神州为广大客户提供包括多肽合成、抗原制备、兔子免疫、抗体纯化和抗体标记等步骤在内的一站式多克隆抗体开发服务。
服务优势

兔多克隆抗体开发服务内容

交付标准: ELISA效价>1:256,000
注意: 客户提供抗原或选择义翘神州抗原制备服务。
兔多克隆抗体制备案例
义翘神州拥有大量兔多抗开发经验,可保证兔多抗的ELISA效价 >1:256,000。兔多抗均经过ELISA、WB、IHC、FACS等多种验证平台,多细胞多组织验证。
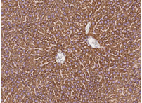
案例 1:Anti-靶点 A 兔多克隆抗体
多细胞、多组织验证
多应用验证

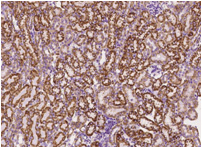
案例 2:Anti-靶点 B 兔多克隆抗体
多应用验证

案例 3:Anti-靶点 C 兔多克隆抗体
多应用验证

更多标准兔多克隆抗体制备服务相关学习资源
- 讲师介绍
陈宇宁
- 视频介绍
抗体是一种蛋白类生物大分子,通过极强的特异性和亲和力与相应的抗原结合。抗体是现代生物制药学的基础,被广泛用于疾病治疗、诊断试剂和生物医学研究。抗体发现主要有杂交瘤、噬菌体展示、B细胞分选等方法。通过免疫动物得到的动物源单克隆抗体易产生抗抗体反应,存在人体内半衰期短、Fc生物学功能难实现,以及反复使用可引起人体产生超敏反应等不足,限制抗体在临床上的大规模使用。
为了克服这些弊端,实现抗体大规模生产,构建了重组抗体技术,先后开发了嵌合抗体、人源化抗体和全人源抗体,使抗体广泛用于临床,尤其在肿瘤、自身免疫性疾病、感染性疾病和移植排斥反应等疾病中的疗效显著。
在本讲座中,我们将讨论现有重组抗体的类型以及生产策略,着重关注抗体表达构建的设计、培养条件的优化、纯化方法的建立与完善,与大家一起分享重组抗体表达和优化的方法技术。并且还将介绍一种新的高通量抗体表达平台(HTP),简要讨论该平台在促进抗体库的生成、识别合适的候选抗体以及在抗体进一步开发过程中的应用。
特色抗体服务
立即咨询标准兔多克隆抗体制备服务
扫码咨询标准兔多克隆抗体制备服务

(欢迎小伙伴来咨询哦! 请注明来源、姓名,单位)
下载产品相关技术资料,获取更多标准兔多克隆抗体制备服务相关内容!
风险提示:丁香通仅作为第三方平台,为商家信息发布提供平台空间。用户咨询产品时请注意保护个人信息及财产安全,合理判断,谨慎选购商品,商家和用户对交易行为负责。对于医疗器械类产品,请先查证核实企业经营资质和医疗器械产品注册证情况。
- 作者
- 内容
- 询问日期
文献和实验- 个性化程度高,可以选择要血清、纯化抗体。愿意为我们提供相应的解决方案,对于售后问题能够快速给出专业的答案。 ——任*筠 2022/6/30
- 虽然我们的多抗项目金额小,但服务人员依然非常耐心,后续大项目也找你们。——杨* 2021/9/14
- 从设计多肽到纯化抗体都是找义翘做的,整体下来合作非常愉快。——贺*姣 2021/4/25
- 我多抗要求比较高,义翘技术人员前期帮忙花了较多时间分析抗原,制定抗原制备策略,非常专业、耐心。 ——支*莹 2021/3/30
【实验 目的 】 ⒈ 加深对抗体基本知识的了解。 ⒉ 了解多克隆抗体的制备及纯化的基本方法。 ⒊ 了解免疫电泳的基本过程和实验依据。 一、多克隆抗体的制备 【实验 原理 】 当将抗原注射入实验动物体内时,一系列抗体生成细胞会不同程度的与抗原结合,受抗原刺激后在血液中产生不同类型的抗体,这种由一种抗原刺激产生的抗体称为多克隆抗体。多克隆抗体
制备多克隆抗体的佐剂 如用可溶性蛋白质抗原免疫家兔或山羊,在加用佐剂时一次注入量一般为0.5~1mg/kg。如不加佐剂,则抗原剂量应加大10~20倍。佐剂有福氏(Freund’s)佐剂、脂质体佐剂、氢氧化铝佐剂、明矾佐剂以及免疫刺激复合物(immune stimulating complex,ICOM)等。 其中最常用的是福氏佐剂,根据其组成分为完全福氏佐剂(CFA)和不完全福氏佐剂(IFA)两种。IFA通常由羊毛脂1份、石腊油5份组成,每毫升IFA中
。在三次免疫后,可以获得较高效价的抗体,每次取血量可以在40ml,不要取太多,否则会造成兔子贫血。最后一次取血可以采用颈动脉放血,具体操作如下: 1、家兔仰卧于兔架上固定头部,用纱布固定四肢。头部略放低以暴露颈部。剃毛并消毒皮肤 2、沿颈部中线用手术刀切开皮肤约10cm,分离皮下结缔组织,直至暴露出气管两侧的胸锁乳突肌(小心操作,如碰到小血管出血,可用止血钳止血) 3、用直头止血钳分离胸锁乳突肌与气管间的颈三角区疏松组织,暴露出颈总动脉后用弯头眼科镊使之游离,剥离神经和结缔组织 4、于动脉














