相关产品推荐更多 >
万千商家帮你免费找货
0 人在求购买到急需产品
- 详细信息
- 文献和实验
- 技术资料
- 免疫原:
Recombinant protein encompassing a sequence within the center region of human Hexokinase 1. The exact sequence is proprietary.
- 亚型:
IgG
- 形态:
Liquid
- 保存条件:
Store as concentrated solution. Centrifuge briefly prior to opening vial. For short-term storage (1-2 weeks), store at 4ºC. For long-term storage, aliquot and store at -20ºC or below. Avoid multiple freeze-thaw cycles.
- 克隆性:
Polyclonal
- 标记物:
Unconjugated
- 适应物种:
Human, Zebrafish
- 保质期:
12 months from the shipping date of the product.
- 抗原来源:
Human
- 目录编号:
GTX105248
- 级别:
Primary Antibodies
- 库存:
Available
- 供应商:
GeneTex
- 宿主:
Rabbit
- 应用范围:
WB, ICC/IF, IHC-P, IHC-Wm
- 浓度:
1 mg/ml (Please refer to the vial label for the specific concentration.)
- 靶点:
Hexokinase 1
- 抗体英文名:
Hexokinase 1 antibody
- 抗体名:
Hexokinase 1 抗体
- 规格:
100 μl/25 μl
| 规格: | 100 μl | 产品价格: | ¥4000.0 |
|---|---|---|---|
| 规格: | 25 μl | 产品价格: | ¥1700.0 |
Confocal immunofluorescence analysis (Olympus FV10i) of methanol-fixed HeLa, using HXK I(GTX105248) antibody (Green) at 1:500 dilution. Alpha-tubulin filaments were labeled with GTX11304 (Red) at 1:2000.
Various whole cell extracts (30 μg) were separated by 7.5% SDS-PAGE, and the membrane was blotted with Hexokinase 1 antibody (GTX105248) diluted at 1:3000. The HRP-conjugated anti-rabbit IgG antibody (GTX213110-01) was used to detect the primary antibody. Corresponding RNA expression data for the same cell lines are based on Human Protein Atlas program.
Sample (30 μg of whole cell lysate)
C: zebrafish muscle
7.5% SDS PAGE
GTX105248 diluted at 1:1000
Immunohistochemical analysis of paraffin-embedded zebrafish tissue, using Hexokinase 1 antibody (GTX105248) at 1:300 dilution.
Hexokinase 1 antibody detects Hexokinase 1 protein on zebrafish by whole mount immunohistochemical analysis.
Sample: 2 days-post-fertilization zebrafish embryo.
Hexokinase 1 antibody (GTX105248) dilution: 1:100.
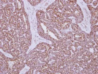
Immunohistochemical analysis of paraffin-embedded human breast cancer, using HXK I(GTX105248) antibody at 1:250 dilution.
Antigen Retrieval: Trilogy™ (EDTA based, pH 8.0) buffer, 15min
风险提示:丁香通仅作为第三方平台,为商家信息发布提供平台空间。用户咨询产品时请注意保护个人信息及财产安全,合理判断,谨慎选购商品,商家和用户对交易行为负责。对于医疗器械类产品,请先查证核实企业经营资质和医疗器械产品注册证情况。
文献和实验Takino JI et al., Sci Rep 2019 (PMID:31723205)
that possess an intrinsic affinity toward each other (such as antigen and antibody, or avidin and biotin). After cell lysis, endosomes are allowed to fuse in vitro in the presence of an externally added quencher that prevents complex formation between markers
only have been done and with exception of that summarized in Table 2, none has been repeated. This is clearly unsatisfactory, particularly when there is so much variation between assays. 10. The condition of incubation are poorly defined. What is the temperature? Were antibody used
【转帖】Top 100 proteomics publications
proteins. Proc Natl Acad Sci U S A 37. Cho et al. (2006) Regulatory functions of nuclear hexokinase1 complex in glucose signaling. Cell 38. Duchaine et al. (2006) Functional Proteomics Reveals the Biochemical Niche of C. elegans DCR-1 in Multiple
技术资料暂无技术资料 索取技术资料





![SMN1 antibody [5H1]](https://img1.dxycdn.com/2023/0711/451/6106825198874858761-14.jpg!wh200)

![ORP150 antibody [C2C3], C-term](https://img1.dxycdn.com/2023/0516/045/6925717576889828561-14.jpg!wh200)

