相关产品推荐更多 >
万千商家帮你免费找货
0 人在求购买到急需产品
- 详细信息
- 文献和实验
- 技术资料
- 免疫原:
Recombinant full-length human CDH16 protein
- 亚型:
IgG1
- 形态:
Liquid
- 保存条件:
Store as concentrated solution. Centrifuge briefly prior to opening vial. For short-term storage (1-2 weeks), store at 4ºC. For long-term storage, aliquot and store at -20ºC or below. Avoid multiple freeze-thaw cycles.
- 克隆性:
Monoclonal
- 标记物:
Unconjugated
- 适应物种:
Human, Mouse, Rat, Rabbit, Dog
- 保质期:
12 months from the shipping date of the product.
- 抗原来源:
Human
- 目录编号:
GTX34581
- 级别:
Primary Antibodies
- 库存:
Available
- 供应商:
GeneTex
- 宿主:
Mouse
- 应用范围:
WB, IHC-P
- 浓度:
0.2 mg/ml (Please refer to the vial label for the specific concentration.)
- 靶点:
CDH16
- 抗体英文名:
CDH16 antibody [SPM594]
- 抗体名:
CDH16 抗体 [SPM594]
- 规格:
100 μg
WB analysis of human kidney tissue lysate using GTX34581 CDH16 antibody [SPM594].
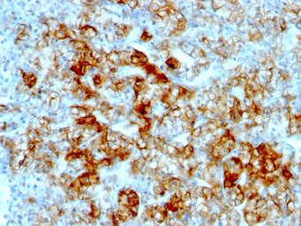
IHC-P analysis of human renal cell carcinoma tissue using GTX34581 CDH16 antibody [SPM594].
风险提示:丁香通仅作为第三方平台,为商家信息发布提供平台空间。用户咨询产品时请注意保护个人信息及财产安全,合理判断,谨慎选购商品,商家和用户对交易行为负责。对于医疗器械类产品,请先查证核实企业经营资质和医疗器械产品注册证情况。
文献和实验secondary antibody review -- data from 99 publications
cytometry used as a control to detect cell responses targeted antigen 7 Alexa Fluor 488 7 Cy3 8 goat IgG Alexa Fluor 488 1:2000 detect antibody binding in human embryonic kidney 293T cells Invitrogen 9 donkey
Immunofluorescence or IF is a technique allowing the visualization of a specific protein or antigen in cells or tissues by binding a specific antibody chemically conjugated with a fluorescence dye. Immunofluorescent staining is widely used
)Secondary Antibody15mlIHC-P8125SSignalStain® Boost IHC Detection Reagent (HRP, Mouse)Secondary Antibody15mlIHC-P8889SAnti-rabbit IgG (H+L), F(ab')2 Fragment (Alexa Fluor® 594 Conjugate)Secondary Antibody250µlIF-IC F8890SAnti-mouse IgG (H+L), F(ab
技术资料暂无技术资料 索取技术资料





![CD8 antibody [YTS169.4] (PE)](https://custom.dxycdn.com/trademd/upload/pic/2011/12/14/1323695851.jpg!small.t.1)
![CD31 antibody [GT0010]](https://img1.dxycdn.com/2023/0711/451/6106825198874858761-14.jpg!wh200)


