相关产品推荐更多 >
万千商家帮你免费找货
0 人在求购买到急需产品
- 详细信息
- 文献和实验
- 技术资料
- 免疫原:
A synthetic peptide corresponding to a C-terminal region of Human RHOD
- 亚型:
IgG
- 形态:
Liquid
- 保存条件:
Store as concentrated solution. Centrifuge briefly prior to opening vial. For short-term storage (1-2 weeks), store at 4ºC. For long-term storage, aliquot and store at -20ºC or below. Avoid multiple freeze-thaw cycles.
- 克隆性:
Polyclonal
- 标记物:
Unconjugated
- 适应物种:
Human
- 保质期:
12 months from the shipping date of the product.
- 抗原来源:
Human
- 目录编号:
GTX47030
- 级别:
Primary Antibodies
- 库存:
Available
- 供应商:
GeneTex
- 宿主:
Rabbit
- 应用范围:
WB, IHC-P
- 浓度:
0.5-1 mg/ml (Please refer to the vial label for the specific concentration.)
- 靶点:
RHOD
- 抗体英文名:
RHOD antibody, C-term
- 抗体名:
RHOD 抗体, C-term
- 规格:
50 μg
WB analysis of tranfected 293T cells using GTX47030 RHOD antibody at 0.2-1μg/ml.
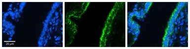
IHC-P analysis of human bronchial epithelial tissue using GTX47030 RHOD antibody at 1:600. Left to right:DAPI, RHOD, Merge. Low pH, heat-induced antigen retrieval method utilizing Sodium Citrate buffer.
IHC-P analysis of human liver tissue using GTX47030 RHOD antibody at 1:600. Left to right:DAPI, RHOD, Merge. Low pH, heat-induced antigen retrieval method utilizing Sodium Citrate buffer.
风险提示:丁香通仅作为第三方平台,为商家信息发布提供平台空间。用户咨询产品时请注意保护个人信息及财产安全,合理判断,谨慎选购商品,商家和用户对交易行为负责。对于医疗器械类产品,请先查证核实企业经营资质和医疗器械产品注册证情况。
文献和实验于研究。 性能参数 LIST OF ANTBODY PRODUCTS AP8401a BDP1 N-term Antibody AP8408b MEG2 C-term Antibody AP8451b PPP3CA C-term Antibody AP8449b CTDSP1 C-term Antibody AP8408a MEG2 N-term Antibody AP8451a PPP3CA N-term Antibody AP8449
免疫组化技术-Immunohistochemical Protocols
does not mean that there are no other alternatives, of course. The list does not represent an endorsement in any way by the U.S. Government. The principle of immunohistochemistry is to raise an antibody to a specific antigen and use
【资源】全面归类网址:毕赤酵母表达各种来源蛋白(细菌,真菌,植物,人类等)
europaea (olive tree) aeroallergen Ole e 1S, 60 mg/L, α-MF[115, 334, 391]Olea europaea 1,3-β-glucanase Ole e 9 C-term.seg.S, 100 mg/L, α-MF, active486Oleaceae sp. (lilac and privet) pollen allergensS, 30 mg/L, reactive481Pepper endo-b-1,4-glucanase cCel1S
技术资料暂无技术资料 索取技术资料






![p63 antibody [rTP40/3690]](https://img1.dxycdn.com/2023/0711/451/6106825198874858761-14.jpg!wh200)


