相关产品推荐更多 >
万千商家帮你免费找货
0 人在求购买到急需产品
- 详细信息
- 文献和实验
- 技术资料
- 免疫原:
The complete coding region (amino acids 1-425) of RbAp48 expressed in E. coli.
- 亚型:
IgG2a
- 形态:
Liquid
- 保存条件:
Store as concentrated solution. Centrifuge briefly prior to opening vial. For short-term storage (1-2 weeks), store at 4ºC. For long-term storage, aliquot and store at -20ºC or below. Avoid multiple freeze-thaw cycles.
- 克隆性:
Monoclonal
- 标记物:
Unconjugated
- 适应物种:
Human, Mouse
- 保质期:
12 months from the shipping date of the product.
- 抗原来源:
Human
- 目录编号:
GTX70236
- 级别:
Primary Antibodies
- 库存:
Available
- 供应商:
GeneTex
- 宿主:
Mouse
- 应用范围:
WB, ICC/IF, IHC-P, IP, EMSA
- 浓度:
1 mg/ml (Please refer to the vial label for the specific concentration.)
- 靶点:
RbAp48 + RbAp46
- 抗体英文名:
RbAp48 + RbAp46 antibody [15G12]
- 抗体名:
RbAp48 + RbAp46 抗体 [15G12]
- 规格:
100 μl
RbAp48 + RbAp46 antibody [15G12] detects RbAp48 + RbAp46 protein at nucleus by immunofluorescent analysis.
Sample: HeLa cells were fixed in 4% PFA at RT for 15 min.
Green: RbAp48 + RbAp46 stained by RbAp48 + RbAp46 antibody [15G12] (GTX70236) diluted at 1:500.
Red: beta Tubulin, a cytoskeleton marker, stained by beta Tubulin antibody (GTX101279) diluted at 1:1000.
Scale bar= 10μm.
Immunohistochemical analysis of paraffin-embedded H1299 xenograft, using RbAp48 + RbAp46(GTX70236) antibody at 1:200 dilution.
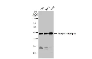
Various whole cell extracts (30 μg) were separated by 10% SDS-PAGE, and the membrane was blotted with RbAp48 + RbAp46 antibody [15G12] (GTX70236) diluted at 1:500. The HRP-conjugated anti-mouse IgG antibody (GTX213111-01) was used to detect the primary antibody, and the signal was developed with Trident ECL plus-Enhanced.
RbAp48 + RbAp46 antibody [15G12] detects RbAp48 + RbAp46 protein at nucleus by immunohistochemical analysis.
Sample: Paraffin-embedded human cervical carcinoma.
RbAp48 + RbAp46 stained by RbAp48 + RbAp46 antibody [15G12] (GTX70236) diluted at 1:100.
Antigen Retrieval: Citrate buffer, pH 6.0, 15 min
Immunohistochemical analysis of paraffin-embedded C2C12 xenograft, using RbAp48 + RbAp46(GTX70236) antibody at 1:200 dilution.
风险提示:丁香通仅作为第三方平台,为商家信息发布提供平台空间。用户咨询产品时请注意保护个人信息及财产安全,合理判断,谨慎选购商品,商家和用户对交易行为负责。对于医疗器械类产品,请先查证核实企业经营资质和医疗器械产品注册证情况。
文献和实验O'Neill DW et al., Mol Cell Biol 2000 (PMID:11003653)
Zhang Q et al., Mol Cell Biol 2000 (PMID:10866654)
Lauberth SM et al., J Biol Chem 2007 (PMID:17895244)
Lauberth SM et al., J Biol Chem 2006 (PMID:16707490)
Yarden RI et al., Proc Natl Acad Sci U S A 1999 (PMID:10220405)
O'Neill D et al., Proc Natl Acad Sci U S A 1999 (PMID:9892636)
Kiefer SM et al., J Biol Chem 2002 (PMID:11836251)
Lai A et al., Mol Cell Biol 2001 (PMID:11283269)
Humphrey GW et al., J Biol Chem 2001 (PMID:11102443)
技术资料暂无技术资料 索取技术资料





![CD134 antibody [OX86] (FITC)](https://custom.dxycdn.com/trademd/upload/pic/2011/12/14/1323695845.jpg!small.t.1)
![Hexokinase II antibody [3D3]](https://img1.dxycdn.com/2023/0711/451/6106825198874858761-14.jpg!wh200)



