相关产品推荐更多 >
万千商家帮你免费找货
0 人在求购买到急需产品
- 详细信息
- 文献和实验
- 技术资料
- 免疫原:
recombinant protein
- 形态:
liquid
- 保存条件:
Store at -20˚C
- 克隆性:
Monoclonal antibody
- 适应物种:
Hu, Ms, zebrafish
- 保质期:
12 months
- 抗原来源:
Recombinant Rabbit
- 供应商:
南京赛戈巍生物科技有限公司
- 宿主:
Recombinant Rabbit
- 应用范围:
WB, ICC/IF, IHC, IP, FC
- 靶点:
Uniprot:Q04206
- 抗体英文名:
NF-kB p65 Rabbit mAb
- 规格:
50ul/100ul
MGC131774 antibody
NF kappa B p65delta3 antibody
NFKB3 antibody
Nuclear Factor NF Kappa B p65 Subunit antibody
Nuclear factor NF-kappa-B p65 subunit antibody
Nuclear factor of kappa light polypeptide gene enhancer in B cells 3 antibody
Nuclear factor of kappa light polypeptide gene enhancer in B-cells 3 antibody
OTTHUMP00000233473 antibody
OTTHUMP00000233474 antibody
OTTHUMP00000233475 antibody
OTTHUMP00000233476 antibody
OTTHUMP00000233900 antibody
p65 antibody
p65 NF kappaB antibody
p65 NFkB antibody
relA antibody
TF65_HUMAN antibody
Transcription factor p65 antibody
v rel avian reticuloendotheliosis viral oncogene homolog A (nuclear factor of kappa light polypeptide gene enhancer in B cells 3 (p65)) antibody
V rel avian reticuloendotheliosis viral oncogene homolog A antibody
v rel reticuloendotheliosis viral oncogene homolog A (avian) antibody
V rel reticuloendotheliosis viral oncogene homolog A, nuclear factor of kappa light polypeptide gene enhancer in B cells 3, p65 antibody
计算分子量:65 kDa
配方:1*TBS (pH7.4), 1%BSA, 40%Glycerol. Preservative: 0.05% Sodium Azide.
应用详情:WB: 1:1,000-1:2,000
IHC: 1:50-1:200
ICC: 1:50-1:200
FC: 1:50-1:100
图片:

Western blot analysis of NF-kB p65 on different lysates using anti-NF-kB p65 antibody at 1/1,000 dilution. Positive control:
Lane 1: MCF-7
Lane 2: Hela
,

Western blot analysis of NF-kB p65 on hybrid fish (crucian-carp) heart tissue lysate using anti-NF-kB p65 antibody at 1/500 dilution.
,

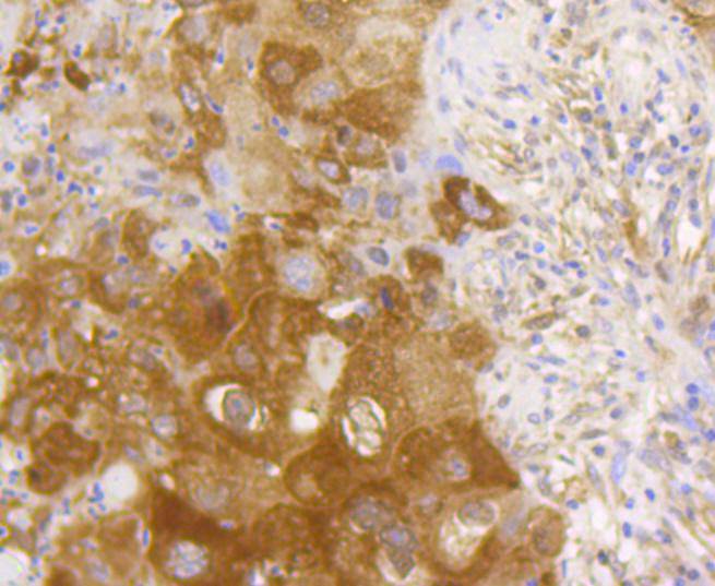
Immunohistochemical analysis of paraffin-embedded human lung cancer tissue using anti-NF-kB p65 antibody. Counter stained with hematoxylin.
,

Immunohistochemical analysis of paraffin-embedded human breast carcinoma tissue using anti-NF-kB p65 antibody. Counter stained with hematoxylin.
,

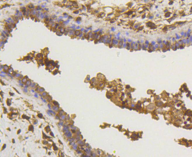
Immunohistochemical analysis of paraffin-embedded mouse lung tissue using anti-NF-kB p65 antibody. Counter stained with hematoxylin.
,

ICC staining NF-kB p65 in Hela cells (green). The nuclear counter stain is DAPI (blue). Cells were fixed in paraformaldehyde, permeabilised with 0.25% Triton X100/PBS.
,

ICC staining NF-kB p65 in A549 cells (green). The nuclear counter stain is DAPI (blue). Cells were fixed in paraformaldehyde, permeabilised with 0.25% Triton X100/PBS.
,

ICC staining NF-kB p65 in NIH/3T3 cells (green). The nuclear counter stain is DAPI (blue). Cells were fixed in paraformaldehyde, permeabilised with 0.25% Triton X100/PBS.
,

Flow cytometric analysis of Hela cells with NF-kB p65 antibody at 1/50 dilution (blue) compared with an unlabelled control (cells without incubation with primary antibody; red). Alexa Fluor 488-conjugated goat anti rabbit IgG was used as the secondary antibody.
风险提示:丁香通仅作为第三方平台,为商家信息发布提供平台空间。用户咨询产品时请注意保护个人信息及财产安全,合理判断,谨慎选购商品,商家和用户对交易行为负责。对于医疗器械类产品,请先查证核实企业经营资质和医疗器械产品注册证情况。
文献和实验定量检测可以么? 细胞因子 wrote: 可以,做完WB后用Image软件经行成像分析,可以半定量检测。园子里有很多这方面的帖子,你可以看看。 楼主的这种情况,只用western 做Ikba和p-Ikba的半定量检测是不可以的,或者说是不严谨的。 首先,你要知道Nf-kb的激活通常与IkBs(IkBa、IkBβ、IkBε)的降解降解有关,但这并不绝对,也不是其唯一的途径,比如P50、p65的表达调节也可影响Nf-kb,况且IkBs还可细分为三种
wachjun2000 请教各位高手!我最近打算做药物对肾脏疾病NF-KB信号通路的干预作用,想用Western Blot测定NF-KB p65活性。但是我在查文献及抗体的时候发现以下几个问题: 1、NF-KB p65存在不存在磷酸化?如果不存在磷酸化为什么抗体公司用磷酸化抗体? 2、一些国外的文献NF-KB p65活性测定采用的是普通的抗体,也有文献采用的是磷酸化的抗体,所以很不理解。园子的朋友说p65活化后入核,所以测核内普通的NF-KB
wachjun2000 请教各位高手,我最近打算做药物对肾脏疾病NF-KB信号通路的干预作用,想用Western Blot测定NF-KB p65活性。但是我在查文献及抗体的时候发现以下几个问题: 1、NF-KB p65存在不存在磷酸化?如果不存在磷酸化为什么抗体公司用磷酸化抗体? 2、一些国外的文献NF-KB p65活性测定采用的是普通的抗体,也有文献采用的是磷酸化的抗体,所以很不理解。园子的朋友说p65活化后入核,所以测核内普通的NF-KB
技术资料暂无技术资料 索取技术资料





![Ameloblastin Antibody[45315]](https://img1.dxycdn.com/p/s14/2025/0922/568/0046652811090600791.jpg!wh200)
![AGFG1 Rabbit Polyclonal Antibody[53629]](https://img1.dxycdn.com/p/s14/2025/0922/498/0460884283108299691.jpg!wh200)
![AGTPBP1 Polyclonal Antibody[27888]](https://img1.dxycdn.com/p/s14/2025/0923/305/2150219664296040791.jpg!wh200)
