相关产品推荐更多 >
万千商家帮你免费找货
0 人在求购买到急需产品
- 详细信息
- 文献和实验
- 技术资料
- 免疫原:
Human BCL10 recombinant protein (epitope aa122-168)
- 亚型:
IgG1
- 形态:
Liquid
- 保存条件:
Store as concentrated solution. Centrifuge briefly prior to opening vial. For short-term storage (1-2 weeks), store at 4ºC. For long-term storage, aliquot and store at -20ºC or below. Avoid multiple freeze-thaw cycles.
- 克隆性:
Monoclonal
- 标记物:
Unconjugated
- 适应物种:
Human
- 保质期:
12 months from the shipping date of the product.
- 抗原来源:
Human
- 目录编号:
GTX34423
- 级别:
Primary Antibodies
- 库存:
Available
- 供应商:
GeneTex
- 宿主:
Mouse
- 应用范围:
WB, IHC-P, FACS
- 浓度:
0.2 mg/ml (Please refer to the vial label for the specific concentration.)
- 靶点:
BCL10
- 抗体英文名:
BCL10 antibody [BL10/411]
- 抗体名:
BCL10 抗体 [BL10/411]
- 规格:
100 μg
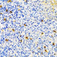
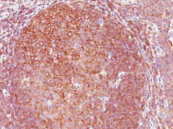
IHC-P analysis of human tonsil tissue using GTX34423 BCL10 antibody [BL10/411].
FACS analysis of PFA-fixed K562 cells using GTX34423 BCL10 antibody [BL10/411].
Blue : Primary antibody
Red : Isotype control
WB analysis of HepG2 cell lysate using GTX34423 BCL10 antibody [BL10/411].
风险提示:丁香通仅作为第三方平台,为商家信息发布提供平台空间。用户咨询产品时请注意保护个人信息及财产安全,合理判断,谨慎选购商品,商家和用户对交易行为负责。对于医疗器械类产品,请先查证核实企业经营资质和医疗器械产品注册证情况。
文献和实验Overview of Approaches to the Identification of Inhibitors of Cytokine Action
as follows: (1) inhibition of the ability of the cytokine to bind to its receptor (e.g., using soluble receptor or monoclonal antibody), (2) inhibition of the downstream events initiated by the cytokine binding to its receptor, and (3) inhibition of cytokine
同一种属不同个体间的Ig分子抗原性的不同,在同种异体间免疫可诱导免疫反应。同种异型抗原性的差别往往只有一个或几个氨基酸残基的不同,可能是由于编码Ig的结构基因发生点突变所致,并被稳定地遗传下来,因此Ig同种异型可作为一种遗传标记(genetic markers),这种标记主要分布在CH和CL上。 1.γ链上的同种异型 γ1、γ2γ3和λ4重链上均存在有同种异型标记,目前已发现:Glma、x、f、z;G2mn;G3mgl、g5、b0、b1、b3、b4、b5、c3、c5、s、t、u、v;G4
同一种属不同个体间的Ig分子抗原性的不同,在同种异体间免疫可诱导免疫反应。同种异型抗原性的差别往往只有一个或几个氨基酸残基的不同,可能是由于编码Ig的结构基因发生点突变所致,并被稳定地遗传下来,因此Ig同种异型可作为一种遗传标记(genetic markers),这种标记主要分布在CH和CL上。 1.γ链上的同种异型 γ1、γ2γ3和λ4重链上均存在有同种异型标记,目前已发现:Glma、x、f、z;G2mn;G3mgl、g5、b0、b1、b3、b4、b5、c3、c5、s、t、u、v;G4
技术资料暂无技术资料 索取技术资料





![RPA70 antibody [8C3-D12-H10]](https://img1.dxycdn.com/2022/0329/416/4731548285584020453-14.jpg!wh200)
![Neurotrophin 4 antibody [31A1]](https://img1.dxycdn.com/2022/0328/938/0795621945689400453-14.jpg!wh200)



