相关产品推荐更多 >
万千商家帮你免费找货
0 人在求购买到急需产品
- 详细信息
- 文献和实验
- 技术资料
- 免疫原:
TIM-4 antibody was raised against a 16 amino acid synthetic peptide from near the center of human TIM-4.The immunogen is located within amino acids 60 - 110 of TIM-4.
- 亚型:
IgG
- 形态:
Liquid
- 保存条件:
Store as concentrated solution. Centrifuge briefly prior to opening vial. For short-term storage (1-2 weeks), store at 4ºC. For long-term storage, aliquot and store at -20ºC or below. Avoid multiple freeze-thaw cycles.
- 克隆性:
Polyclonal
- 标记物:
Unconjugated
- 适应物种:
Human, Mouse
- 保质期:
12 months from the shipping date of the product.
- 抗原来源:
Human
- 目录编号:
GTX31299
- 级别:
Primary Antibodies
- 库存:
Available
- 供应商:
GeneTex
- 宿主:
Rabbit
- 应用范围:
WB, ICC/IF, IHC-P, ELISA
- 浓度:
1 mg/ml (Please refer to the vial label for the specific concentration.)
- 靶点:
At least four isoforms of TIM-4 are known to exist; this antibody will detect all four isoforms.
- 抗体英文名:
TIM-4 antibody
- 抗体名:
TIM-4 抗体
- 规格:
100 μg
IHC-P analysis of mouse liver tissue using GTX31299 TIM-4 antibody.
Working concentration : 2 μg/ml
ICC/IF analysis of Jurkat cells using GTX31299 TIM-4 antibody.
Working concentration : 20 μg/ml
ICC/IF analysis of Jurkat cells using GTX31299 TIM-4 antibody.
Working concentration : 10 μg/ml
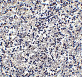
IHC-P analysis of human spleen tissue using GTX31299 TIM-4 antibody.
Working concentration : 2.5 μg/ml
WB analysis of RAW264.7 cell lysate in (A) the absence and (B) the presence of blocking peptide using GTX31299 TIM-4 antibody.
Working concentration : 2 μg/ml
IHC-P analysis of human spleen tissue using GTX31299 TIM-4 antibody.
Working concentration : 20 μg/ml
风险提示:丁香通仅作为第三方平台,为商家信息发布提供平台空间。用户咨询产品时请注意保护个人信息及财产安全,合理判断,谨慎选购商品,商家和用户对交易行为负责。对于医疗器械类产品,请先查证核实企业经营资质和医疗器械产品注册证情况。
文献和实验希望各位大侠帮忙设计下CASPASE-3的REAL TIME PCR引物。以下是序列:1 atggacaaca acgaaacctc cgtggattca aaatccatta ataattttga aacaaagact61 atccatggaa gcaagtcgat ggactctgga atatatctgg acagcagtta caaaatggat121 taccctgaaa tgggcttgtg tataataatt aataataaga acttccataa aagcactgga
人 TIM-1 酶联免疫 分析( ELISA ) 试剂 盒使用说明书 本试剂仅供研究使用 目的:本试剂盒用于测定人血清,血浆及相关液体样本中 TIM-1 的 含量。 实验原理 : 本试剂盒应用 双抗体 夹心法测定 标本 中 人 TIM-1 水平。用纯化的 人 TIM-1 抗体 包被微孔板,制成固相 抗 体,往包被 单抗 的微孔中依次加入 TIM-1 ,再与HRP 标记的 TIM-1 抗体结合,形成抗体- 抗原 - 酶标抗体复合
人 TIM-3 酶联免疫 分析( ELISA ) 试剂 盒使用说明书 本试剂仅供研究使用 目的:本试剂盒用于测定人血清,血浆及相关液体样本中 TIM-3 的 含量。 实验原理 : 本试剂盒应用 双抗体 夹心法测定 标本 中 人 TIM-3 水平。用纯化的 人 TIM-3 抗体 包被微孔板,制成固相 抗 体,往包被 单抗 的微孔中依次加入 TIM-3 ,再与HRP 标记的 TIM-3 抗体结合,形成抗体- 抗原 - 酶标抗体复合
技术资料暂无技术资料 索取技术资料










