相关产品推荐更多 >
万千商家帮你免费找货
0 人在求购买到急需产品
- 详细信息
- 文献和实验
- 技术资料
- 免疫原:
Recombinant funsion protein containing a sequence corresponding to amino acids 22-195 of human IFNW1 (NP_002168.1).
- 亚型:
IgG
- 形态:
Liquid
- 保存条件:
Store as concentrated solution. Centrifuge briefly prior to opening vial. For short-term storage (1-2 weeks), store at 4ºC. For long-term storage, aliquot and store at -20ºC or below. Avoid multiple freeze-thaw cycles.
- 克隆性:
Polyclonal
- 标记物:
Unconjugated
- 适应物种:
Mouse, Rat
- 保质期:
12 months from the shipping date of the product.
- 抗原来源:
Human
- 目录编号:
GTX66025
- 级别:
Primary Antibodies
- 库存:
Available
- 供应商:
GeneTex
- 宿主:
Rabbit
- 应用范围:
WB, IHC-P
- 浓度:
Batch dependent (Please refer to the vial label for the specific concentration.)
- 靶点:
Interferon omega
- 抗体英文名:
Interferon omega antibody
- 抗体名:
Interferon omega 抗体
- 规格:
100 μl
WB analysis of mouse skeletal muscle tissue lysate using GTX66025 Interferon omega antibody.
Dilution : 1:1000
Loading : 25μg per lane
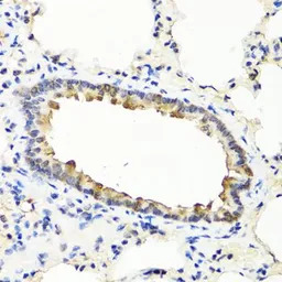
IHC-P analysis of rat lung tissue using GTX66025 Interferon omega antibody.
Dilution : 1:100
风险提示:丁香通仅作为第三方平台,为商家信息发布提供平台空间。用户咨询产品时请注意保护个人信息及财产安全,合理判断,谨慎选购商品,商家和用户对交易行为负责。对于医疗器械类产品,请先查证核实企业经营资质和医疗器械产品注册证情况。
文献和实验Autoimmune sensorineural hearing loss (ASNHL) is the most common cause of sudden hearing loss in adults. Although the etiopathogenesis of this disease is unclear, it is widely believed that antibody and/or T-cell responses directed
4-Hydroxy-2-Nonenal (4-HNE) Staining by Anti-HNE Antibody
, 4-hydroxynonenal (4-HNE), is the main product formed from omega 6-PUFA (5 ). 4-HNE, a highly toxic aldehyde product of lipid peroxidation (5 ), is a sensitive marker of oxidative damage and lipid peroxidation and can be evaluated by immunohistochemical staining
Glutathione S-transferase omega 1 (GSTO-1) exists as both a wild-type (wt) and a mutant (mut) enzyme due to a polymorphism in a single amino acid Ala140Asp. (1) The role that this gene product plays in connection with a range of disease
技术资料暂无技术资料 索取技术资料






![Growth Cone Marker antibody [2G13]](https://img1.dxycdn.com/2022/0328/722/8324317486120400453-14.jpg!wh200)




