相关产品推荐更多 >
万千商家帮你免费找货
0 人在求购买到急需产品
- 详细信息
- 文献和实验
- 技术资料
- 免疫原:
Recombinant protein encompassing a sequence within the center region of human 58K Golgi protein. The exact sequence is proprietary.
- 亚型:
IgG
- 形态:
Liquid
- 保存条件:
Store as concentrated solution. Centrifuge briefly prior to opening vial. For short-term storage (1-2 weeks), store at 4ºC. For long-term storage, aliquot and store at -20ºC or below. Avoid multiple freeze-thaw cycles.
- 克隆性:
Polyclonal
- 标记物:
Unconjugated
- 适应物种:
Human, Mouse
- 保质期:
12 months from the shipping date of the product.
- 抗原来源:
Human
- 目录编号:
GTX109972
- 级别:
Primary Antibodies
- 库存:
Available
- 供应商:
GeneTex
- 宿主:
Rabbit
- 应用范围:
WB, IHC-P
- 浓度:
0.98 mg/ml (Please refer to the vial label for the specific concentration.)
- 靶点:
58K Golgi protein
- 抗体英文名:
58K Golgi protein antibody [N1N3]
- 抗体名:
58K Golgi protein 抗体 [N1N3]
- 规格:
100 μl/25 μl
| 规格: | 100 μl | 产品价格: | ¥4000.0 |
|---|---|---|---|
| 规格: | 25 μl | 产品价格: | ¥1700.0 |
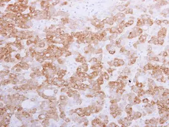
FTCD antibody [N1N3] detects FTCD protein at cytoplasm in human hepatocellular carcinoma by immunohistochemical analysis.
Sample: Paraffin-embedded human hepatocellular carcinoma.
FTCD antibody [N1N3] (GTX109972) diluted at 1:500.
Antigen Retrieval: Citrate buffer, pH 6.0, 15 min
Sample (50 ug of whole cell lysate)
A: mouse liver
7.5% SDS PAGE
GTX109972 diluted at 1:1000
Sample (30 ug of whole cell lysate)
A: Hep G2 (GTX27900)
7.5% SDS PAGE
GTX109972 diluted at 1:1000
风险提示:丁香通仅作为第三方平台,为商家信息发布提供平台空间。用户咨询产品时请注意保护个人信息及财产安全,合理判断,谨慎选购商品,商家和用户对交易行为负责。对于医疗器械类产品,请先查证核实企业经营资质和医疗器械产品注册证情况。
文献和实验Yu Z et al., Cell Signal 2014 (PMID:24686083)
ANTIBODY BINDING TO PROTEIN A AND PROTEIN G
with non-immune reactivity for immunoglobulin G. J. Immunol. 111:1401-1406. Richman, D. D., Cleveland, P. H., Oxman, M. N., and Johnson, K. M. 1982. The binding of staphylococcl protein A by the sera of different animal species. J. Immunol. 128
Antibody Production: Activity-Dependent Neuroprotective Protein (ADNP) as an Example
Activity-dependent neuroprotective protein (ADNP, human calculated molecular mass 123,562.8 Da) is a newly discovered glial protein that it is essential for embryonic development and brain formation. ADNP includes an active neuroprotective
Purification of Antibody Light Chains by Metal Affinity and Protein L Chromatography
(five or six His residues) placed at either the C- or N-terminus of a recombinant protein can form a stable chelate with immobilized transition metals. This allows fractionation of the target protein to 90–95% purity levels in a single chromatographic step (2 –4 ). Metals
技术资料暂无技术资料 索取技术资料










