相关产品推荐更多 >
万千商家帮你免费找货
0 人在求购买到急需产品
- 详细信息
- 文献和实验
- 技术资料
- 库存:
20
- 供应商:
上海雅吉生物
- 细胞类型:
I类
- 品系:
优良品
- 组织来源:
ATCC来源
- 相关疾病:
科研实验
- 物种来源:
ATCC来源
- 免疫类型:
见说明
- 细胞形态:
贴壁
- 器官来源:
ATCC来源
- 运输方式:
常温运输或冻存干冰运输
- 年限:
3~5代
- 生长状态:
优
- 规格:
5×106cells/T25细胞培养瓶
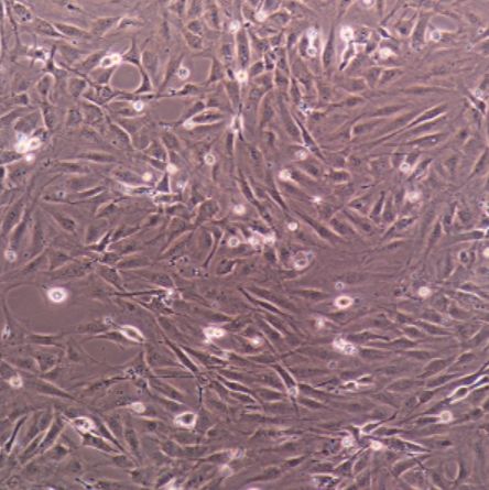
产品名称:人非小细胞肺癌细胞A549[A-549]
产品规格:5×10^6cells/T25细胞培养瓶
生长条件:
| 培养条件 | 具体培养基条件请咨询我们 |
| 温度 | 37℃ |
| 空气条件 | 5% CO2,95% AIR |
| 传代方法 | 1:2传代,2~3天换液 |
| 冻存条件 | 90%FBS+10%DMSO |
产品安全性:所有肿瘤和病毒转染的细胞均视为有潜在的生物危害性,必须在二级生物安全台内操 作,并请注意防护
人非小细胞肺癌细胞A549[A-549],使用方法
1、您收到细胞后,请按照以下方法进行操作:
取出25cm2培养瓶,75%酒精擦拭培养瓶,拆下封口膜,放入37℃,5%CO2细胞培养箱中静置3-4小时以稳定细胞状态,然后换用新鲜完全培养液继续培养或进行传代。
2、细胞传代:
1)细胞生长至覆盖培养瓶的80%面积时,弃25cm2培养瓶中的培养液,用PBS清洗细胞一次;
2)添加0.25%胰蛋白酶消化液约1ml至培养瓶中,倒置显微镜下观察,待细胞回缩变圆后加入完全培养液终止消化,再轻轻吹打细胞使之脱落,然后将悬液转移至15ml离心管中,1000rpm离心5min;
3)弃上清,沉淀细胞用12ml完全培养基重悬,然后按1:2比例进行分瓶传代,最后放入37℃,5%CO2细胞培养箱中培养;
4)待细胞完全贴壁后,观察培养结果,之后进行换液培养或传代。
3、细胞冻存:
1)细胞生长至覆盖培养瓶的80%面积时,弃25cm2培养瓶中的培养液,用PBS清洗细胞一次;
2)添加0.25%胰蛋白酶消化液约1ml至培养瓶中,倒置显微镜下观察,待细胞回缩变圆后加入完全培养液终止消化,轻轻吹打细胞使之脱落,然后将悬液转移至15ml离心管中,1000rpm离心5min;
3)用适量的冻存液(FBS:DMSO=9 :1)重悬细胞,并放置于冻存管中;
4)先将细胞冻存管放置于-20℃ 1.5h,然后将其移入-80℃过夜,24h后转入液氮中进行长期保存。使用程序降温盒可直接放入-80℃。
4、细胞复苏:
1)从液氮中取出细胞冻存管(注意:佩戴防爆管面具),快速将其置入37℃水浴中解冻,直至冻存管中无结晶,然后用75%的酒精擦拭冻存管外壁;
2)将冻存管中的细胞移至含5ml完全培养基的15ml离心管中, 1000rpm离心5min;
3)弃上清,沉淀用5ml完全培养基重悬,接种25cm2培养瓶,于37℃,5%CO2细胞培养箱中培养;
4)第二天,换用新鲜完全培养基继续培养。
人非小细胞肺癌细胞A549[A-549],细胞传代:收到细胞后,请对细胞培养瓶外表进行消毒,将细胞置于培养箱中进行 1-2 小时的缓冲,待细胞恢复基本生长状态后,进行后续细胞实验。在倒置显微镜下观察整个细胞生长情况:
(一)细胞未长至 85%时,用 75%酒精喷洒整个瓶消毒后放到生物操作台内,严格无菌操作,打开细胞培养瓶,若培养瓶上无特殊标注,吸去剩余培养液,只留 6-8ml 培养液继续培养。
(二)细胞已长满(达 85-95%)。即可进行传代,具体步骤如下:
1.弃去培养液,用 PBS 洗涤 1-2 次,
2.加入 1.0ml 胰酶消化液,37℃消化,显微镜下观察细胞消化情况,若细胞回缩变圆、透亮、轻拍甁壁呈流沙样脱落,则迅速拿回操作台,加入双倍的含 10%血清的完全培养液,终止消化并轻轻吹打细胞,使其变成单细胞悬液,
3.将细胞收集于离心管中离心 1000rmp/5min,弃上清,轻弹管底,将细胞弹散,
4.加入新鲜培养液重悬细胞,进行传代、冻存,
5.如果没有特别说明,建议收到细胞后的第一次传代比例为 1:2。
人非小细胞肺癌细胞A549[A-549],常见问题及解决方法:
1、观察细胞密度最好用(4X物镜)低倍镜观察,以便正确的判断细胞密度;观察细胞形态请用(10X 或 20X)高倍镜观察;
2、瓶中运输的培养液不能重复使用,请换新鲜培养液培养;
3、有些细胞贴壁不牢,如发现贴壁细胞有脱落,可离心重悬后接种到新瓶内;
4、收到细胞后,若发现培养瓶破损、漏液及细胞污染,请及时与我们联系。
5、培养瓶有破裂,培养液有漏液:细胞极大可能会污染,所以我们会及时安排帮老师解决。
6、细胞漂浮:培养瓶不开封,瓶口酒精擦拭后平躺放置在培养箱。1-2 小时后观察,
7、如细胞大部分又贴回瓶底,表明细胞活力正常,剩余漂浮的细胞可以去掉,留 8-10ml 培养液培养观察,细胞生长至汇合度 85-95%,进行消化传代;如细胞还是不贴壁, 将细胞离心收集转到新培养瓶,原培养瓶加部分培养液继续培养,中间注意观察,我 们的技术人员会一直跟踪指导,直到问题解决。
8、细胞消化铺板,细胞死亡较多。 第一消化时间掌控好切勿消化过度,第二终止要完全(以T25瓶为例,加1ml胰酶用5ml完全培养基终止),第三控制吹打次数和力度,避免损伤。
我公司代理销售ATCC来源,sciencell来源,上海细胞库来源等细胞销售,另我公司有自建细胞库,生产培养各类细胞系,采用灌注法制备各种原代细胞。
欢迎新老客户咨询订购:人非小细胞肺癌细胞A549[A-549]
风险提示:丁香通仅作为第三方平台,为商家信息发布提供平台空间。用户咨询产品时请注意保护个人信息及财产安全,合理判断,谨慎选购商品,商家和用户对交易行为负责。对于医疗器械类产品,请先查证核实企业经营资质和医疗器械产品注册证情况。
文献和实验论文参考:
lncRNA ENST000000454471 promotes lung adenocarcinoma progression and tumor immune escape: Protein structure and biological functions of histone deacetylase 8 - ScienceDirect
问: A549细胞到底是如何形态?我见过三角形,近乎MDCK细胞形态的,还有的呈长梭形。我感觉自己的细胞好像混进了MDCK细胞。大家帮忙诊断一下,谢谢。 我培养的A549细胞 答1:
我也在养A549细胞,也来讲讲自己的经验,希望大家共同学习。我们主要是看细胞的密度,大概有80-90%铺满培养瓶底就可以传代了,时间长短不一,大概有5-7天吧,一瓶一般传3-4瓶,中间一般会有一次换液的。培养基用的是1640+10%的小牛血清+200u/ml庆大霉素。传代时先倒掉就培养基,然后用PBS洗一两次,然后再用0.25%胰酶消化(100ml培养瓶盖住表面大概要两滴管左右),可镜经下观察细胞间已出现细胞胞质回缩变圆,缝隙变大(我的细胞大概要2min左右),即可倒去消化液,加入培养基,吹打细胞
我养了三种贴壁的细胞,用同样的消化方法,都很好。这三种细胞是A549,ECV304,2BS。1、0.25%胰酶新鲜解冻,不需要预热。2、倒掉培养瓶中的培养基,并用预冷的D-Hank‘s洗两次(要冷,用前4度中取出)。3、加入约1-2ml的胰酶,晃动瓶子,使液体浸润瓶底。4、超净台上放置约1-2分钟(2BS需要的时间更短,约1分钟)5、镜下观察(我一般都省略了,因为每次的效果都很好),见细胞变圆或细胞间隙变大,即可加入含血清的培养基终止消化。(我们的胰酶都不去掉)6、从瓶口到瓶底吹打,可见细胞
技术资料暂无技术资料 索取技术资料










