相关产品推荐更多 >
万千商家帮你免费找货
0 人在求购买到急需产品
- 详细信息
- 文献和实验
- 技术资料
- 品系:
详情请咨询我司客服
- ATCC Number:
ATCC® TIB-201
- 细胞类型:
科研
- 库存:
100
- 生长状态:
贴壁/悬浮
- 年限:
详情请咨询我司客服
- 运输方式:
常温运输/干冰运输
- 器官来源:
详情请咨询我司客服
- 是否是肿瘤细胞:
是
- 细胞形态:
上皮样/成纤维样/其它
- 物种来源:
鼠/人/其它
- 组织来源:
详情请咨询我司客服
- 英文名:
MLA-144
MLA-144;长臂猿淋巴瘤细胞培养基本方法
(1)准备和安装过滤器
清洗好过滤器,干燥,放入一张孔径0.22μm的微孔滤膜,用布包装好,15磅20 min进行高压灭菌处理。 在超净台内打开过滤器架好,胶管一端接入滤泵再插入待除菌的液体中,出口端胶管深入到已消毒好的瓶子中。用泵过滤,过滤后要检查滤膜是否完好无损。
(二)小牛血清的处理
市场上出售的小牛血清一般做了灭菌处理,但在使用前还应做热灭活处理,即通过加热的方法破坏补体(近来也有观点认为热灭活处理是不必要的)。胎牛血清不必灭活。
1、 将血清加热至56℃并保持30 min,其间要不时轻轻晃动,使受热均匀,防止沉淀析出。
2、 处理后的血清贮存于4℃。
3、 小牛血清在使用前最好进行筛选以掌握血清的质量。
(三)生长培养基的配制
除无血清培养之外,各种合成培养基在使用前需加入一定量的小牛血清或胎牛血清和抗菌素。
培养基分装成小瓶(100~200 mL)以便使用,翻帽塞塞紧瓶口。
按如下比例配制: 基本培养基占80%~90%,小牛血清或胎牛血清占10%~20%。 按1%体积分数加入双抗贮存液(青霉素+链霉素),使青霉素和链霉素的终浓度分别为100 U/mL和100 μ/mL,。
(四)冻存细胞的复苏
应遵守慢冻快融的原则。先将水浴锅调至37-37。5度,取出冻存的细胞迅速放入后将细胞面浸至水面以下不断摇动至融化。
在无菌台内将完全培养基加入50ml的小培养瓶内,约5ml左右,然后用无菌吸管从冻存管内取出细胞,置培养并内轻轻摇晃,使细胞均匀后置培养箱内培养。
(五)传代:
贴壁细胞:
对于贴壁细胞应先吸(倒)尽培养基,吸的越干净越好,以免中和后加入的消化液,使强度减弱(或PBS洗1-3次)。50ml培养瓶加入消化液约1-3ml,按此比例进行消化,(根据经验),晃动使消化液铺均匀置37度培养箱约2-5分钟,镜下见细胞收缩变圆或少数脱落后,轻轻振动瓶底使细胞全部脱落,加入2-3ml完全培养基后,轻轻吹打,使细胞基本成单个悬浮,然后分置其它无菌培养瓶内,加入完全培养基后继续培养或实验。
悬浮细胞:
一般传代可直接将细胞原液分置其它培养瓶内,加入完全培养基继续培养,如要高浓度可先离心1000rpm,5min后加入完全培养基,轻轻吹匀后,分置其它培养瓶内加入完全培养基继续培养。
(六)冻存
将贴壁细胞消化后离心收集,悬浮细胞直接离心收集,以完全培养基或胎牛血清重悬细胞至终浓度约106/ml。加入10%的DMSO。以每管1~2ml分装至冻存管中。用绝热材料包裹置-70摄氏度冰箱冷冻过夜。次日保存到液氮中。
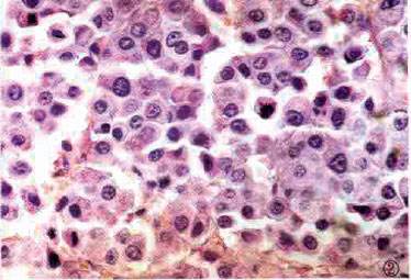
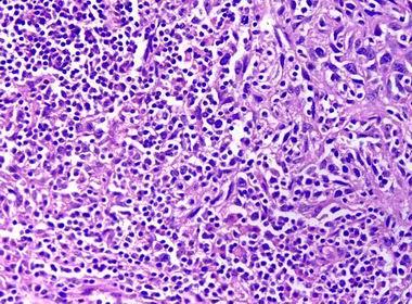
产品图片:

(七)MLA-144;长臂猿淋巴瘤注意事项
1.玻璃吸管和玻璃培养瓶的消毒:1)高压蒸汽灭菌15分钟以上;2)干烤消毒140度2小时以上;
2.无菌工作台先清洗后用75%酒精擦拭干净,紫外线照射40分钟以上;各种培养板照射3小时以上;
3.培养基(pH7.2)和血清配制好后要做无菌试验:将血清按10%加入培养基内,用无菌的玻璃离心管或玻璃瓶取完全培养基5-10ml置培养箱内培养2-3天,肉眼见无浑浊或沉淀等异物。分装后置4度保存;
4.消化液(pH7.8)或其它加入液,应用高压蒸汽灭菌或一次性无菌滤器过滤除菌,分装成支置-20度保存;
5.培养箱应先用清水清洗后用75%酒精擦拭一遍(如有紫外线的应照射1小时以上,如有高温灭菌的应按程序来菌)。至少每月一次。
6.进入操作时应注意先清洗双手及手腕,然后用75%酒精擦拭,操作时注意无菌台内空间层次。手及物品不要在暴露的瓶口上方来往,如果数量较多,培养瓶应放在与酒精灯平行地方便于操作,瓶与瓶之间应相隔一定的距离,开瓶(盖)时应先用75%酒精反复擦拭或用灯烧,打开后应用灯先烧口,然后烧盖。用完后同样操作。整个操作过程尽量在无菌台靠里面一点。
MLA-144;长臂猿淋巴瘤相关产品:
| 菌种培养基 |
| Strain Medium(for B.Cereus) |
| 四环素检定琼脂 |
| Tetracyline Examination Agar |
| Sulfite Agar |
| Sulfite Agar,modified |
| 葡萄糖胰蛋白胨琼脂 |
| Glucose Tryptone Agar |
| 布氏琼脂 |
| Brucella Agar |
| 布氏肉汤 |
| Brucella Broth |
| 改良Skirrow氏琼脂基础 |
| Skirrow Agar Base,Modified |
| 改良Camp-BAP氏琼脂基础 |
| Camp-BAP Agar Base,Modified |
| TTC 琼脂基础 |
| TTC Agar Base |
| 甘氨酸培养基 |
| Glycine Medium |
| H2S Test Medium |
| DNA酶甲基绿琼脂基础 |
| Dnase Agar Base with Methyl Green |
| 马尿酸钠培养基 |
| 波尔顿选择性增菌肉汤 |
| Bolton Selective Enrichment broth |
| CCDA基础 |
| CCDA Base |
| CCDA添加剂 |
| CCDA Supplement |
| Campy-Cefex 琼脂基础 |
| Campy-Cefex Agar Base |
| Campy-Cefex 添加剂 |
| MLA-144;长臂猿淋巴瘤 Campy-Cefex Supplement |
风险提示:丁香通仅作为第三方平台,为商家信息发布提供平台空间。用户咨询产品时请注意保护个人信息及财产安全,合理判断,谨慎选购商品,商家和用户对交易行为负责。对于医疗器械类产品,请先查证核实企业经营资质和医疗器械产品注册证情况。
文献和实验WI-38 胚肺 Chang Liver 张氏肝 SL-7 胚肺 QSG-7701 肝细胞 H.A. 羊膜 293 Ad5DNA转化 的胚肾 WISH 羊膜 牙髓细胞 5.其它类 CV-1(M) 非洲绿猴肾 EBTr 牛胚气管 VERO 非洲绿猴肾 MDBK 牛肾细胞 HepII 猴肾 COS-1 SV40转化的非洲绿猴肾 LLC-MK2 恒河猴肾 COS-7 SV40转化的非洲绿猴肾 MLA-144 长臂猿淋巴瘤 B95
。 1986年美籍华人杨育中从长臂猿T 白血病 细胞株 MLA144中提取IL-3mRNA,成功地获得长臂猿IL-3cDNA(gIL-3cDNA),后又用gIL-3cDNA作为探针筛选人IL-3基因组DNA,并克隆成功。人IL-3基因结构与小鼠相似,由5个显子和4个内含子组成,人与鼠IL-3DNA约有45%同源性,氨基酸有29%同源性,但人鼠间IL-3生物学作用无交叉反应。人和长臂猿IL-3有高度同源性,成熟的IL-3分子都由133个氨基酸残基组成,仅11
牙髓细胞 5.其它类 CV-1(M) 非洲绿猴肾 EBTr 牛胚气管 VERO 非洲绿猴肾 MDBK 牛肾细胞 HepII 猴肾 COS-1 SV40转化的非洲绿猴肾 LLC-MK2 恒河猴肾 COS-7 SV40转化的非洲绿猴肾 MLA-144 长臂猿淋巴瘤 B95-8 EBV转化的绒猴白细胞 CP-88 草鱼胚胎细胞 NISE-Sacy-12 蓖麻蚕卵细胞 ZC-7901 草鱼吻端细胞 RF/6A 猴脉络膜-视网
技术资料暂无技术资料 索取技术资料










