相关产品推荐更多 >
万千商家帮你免费找货
0 人在求购买到急需产品
- 详细信息
- 文献和实验
- 技术资料
- 供应商:
上海联迈生物工程有限公司
- 库存:
大量
- 目录编号:
LM-8592R
- 克隆性:
多克隆
- 抗原来源:
Rabbit
- 保质期:
1年
- 抗体英文名:
Etv5
- 抗体名:
转录因子Ets差异基因5抗体
- 宿主:
Rabbit
- 适应物种:
Human, Mouse, Rat, Dog, Pig, Cow, Horse, Sheep,
- 免疫原:
KLH conjugated synthetic peptide derived from human ERM/Etv5 (301-385aa):301-385/510
- 亚型:
IgG
- 形态:
Lyophilized or Liquid
- 应用范围:
WB=1:500-2000 ELISA=1:500-1000 IHC-P=1:400-800 IHC-F=1:400-800 ICC=1:100-500 IF=1:100-500 (石蜡切片需做抗原修复)
- 浓度:
1mg/ml
- 保存条件:
Store at -20 °C
- 规格:
100ul 200ul
| 英文名称 | Etv5 |
| 中文名称 | 转录因子Ets差异基因5抗体 |
| 别 名 | ERM; Ets related protein ERM; ETS translocation variant 5; Ets variant gene 5; Ets-related protein ERM; Etv5; ETV5_HUMAN. |
![]() |
Specific References (3) | bs-8592R has been referenced in 3 publications. [IF=1.06] Yuan, Quan, et al. "Human microvascular endothelial cell promotes the development of dorsal root ganglion neurons via BDNF pathway in a co-culture system." Bioscience, Biotechnology, and Biochemistry (2017): 1-8. WB ; Human. PubMed:28394221 [IF=3.26] Mu, Hailong, et al. "PLZF‐Induced Upregulation of CXCR4 Promotes Dairy Goat Male Germline Stem Cell Proliferation by Targeting Mir146a." Journal of Cellular Biochemistry (2015). Goat. PubMed:26365432 [IF=3.12] Zheng, Liming, et al. "CD49f promotes proliferation of male dairy goat germline stem cells." Cell Proliferation (2016). Goat. PubMed:26841372 |
| 规格价格 | 100ul/1380元 购买 200ul/2200元 购买 大包装/询价 |
| 说 明 书 | 100ul 200ul |
| 研究领域 | 肿瘤 干细胞 转录调节因子 表观遗传学 |
| 抗体来源 | Rabbit |
| 克隆类型 | Polyclonal |
| 交叉反应 | Human, Mouse, Rat, Dog, Pig, Cow, Horse, Sheep, |
| 产品应用 | WB=1:500-2000 ELISA=1:500-1000 IHC-P=1:400-800 IHC-F=1:400-800 ICC=1:100-500 IF=1:100-500 (石蜡切片需做抗原修复) not yet tested in other applications. optimal dilutions/concentrations should be determined by the end user. |
| 分 子 量 | 58kDa |
| 性 状 | Lyophilized or Liquid |
| 浓 度 | 1mg/ml |
| 免 疫 原 | KLH conjugated synthetic peptide derived from human ERM/Etv5 (301-385aa):301-385/510 |
| 亚 型 | IgG |
| 纯化方法 | affinity purified by Protein A |
| 储 存 液 | 0.01M TBS(pH7.4) with 1% BSA, 0.03% Proclin300 and 50% Glycerol. |
| 保存条件 | Store at -20 °C for one year. Avoid repeated freeze/thaw cycles. The lyophilized antibody is stable at room temperature for at least one month and for greater than a year when kept at -20°C. When reconstituted in sterile pH 7.4 0.01M PBS or diluent of antibody the antibody is stable for at least two weeks at 2-4 °C. |
| PubMed | PubMed |
| 产品介绍 | background: Rad and Gem related GTP binding protein (REM) is a member of the RGK subfamily of Ras-like GTPases that also includes Rad, REM2 and Gem/Kir. REM is a phosphorylated protein that is highly expressed in cardiac muscle and moderately expressed in lung, kidney and skeletal muscle. REM associates with several 14-3-3 isoforms as well as with calmodulin in a calcium-dependent manner. REM mediates two distinct signal transduction pathways that regulate both cytoskeletal reorganization and voltage-gated calcium channel activity. REM decreases the current that passes through cardiac voltage-gated L-type Ca channels (Ca(V)). Overexpression of REM may result in the development of cytoplasmic processes, reorganization of the Actin cytoskeleton, reduction in focal adhesion size and an elongated or dendritic-like cell morphology. Function: Binds to DNA sequences containing the consensus nucleotide core sequence GGAA. Subcellular Location: Ubiquitous. Tissue Specificity: Nucleus. Similarity: Belongs to the ETS family. Contains 1 ETS DNA-binding domain. SWISS: P41161 Gene ID: 2119 Database links: Entrez Gene: 2119 Human Entrez Gene: 104156 Mouse Entrez Gene: 303828 Rat Omim: 601600 Human SwissProt: P41161 Human SwissProt: Q9CXC9 Mouse Unigene: 43697 Human Unigene: 155708 Mouse Unigene: 18397 Rat Important Note: This product as supplied is intended for research use only, not for use in human, therapeutic or diagnostic applications. |
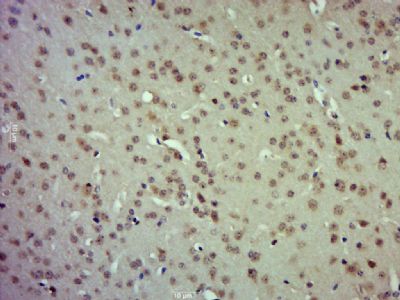
| 产品图片 | ![]() Paraformaldehyde-fixed, paraffin embedded (Mouse brain); Antigen retrieval by boiling in sodium citrate buffer (pH6.0) for 15min; Block endogenous peroxidase by 3% hydrogen peroxide for 20 minutes; Blocking buffer (normal goat serum) at 37°C for 30min; Antibody incubation with (Etv5) Polyclonal Antibody, Unconjugated (bs-8592R) at 1:500 overnight at 4°C, followed by a conjugated secondary (sp-0023) for 20 minutes and DAB staining. |
风险提示:丁香通仅作为第三方平台,为商家信息发布提供平台空间。用户咨询产品时请注意保护个人信息及财产安全,合理判断,谨慎选购商品,商家和用户对交易行为负责。对于医疗器械类产品,请先查证核实企业经营资质和医疗器械产品注册证情况。
文献和实验大鼠E26转录因子-1(Ets-1)ELISA试剂盒 说明书
上海西唐生物科技有限公司 021-55229872, 65333639 www.westang.com 大鼠 E26 转录因子 -1(Ets-1)ELISA 试剂盒 ( 用于血清、血浆、细胞培养上清液和其它生物体液内 ) 原理 本实验采用双抗体夹心 ABC-ELISA 法。用抗大鼠 Ets-1 单抗包被于酶标板上,标准品和样品中的 Ets-1 与单抗结合,加入生物素化的抗大鼠 Ets-1 ,形成
益生菌竟然有害健康?破坏免疫抑制,刺激肿瘤生长,化身「癌症帮凶」
8, IFI16, IFNb 和 MYD88 参与的干扰素响应通路,以及干扰素诱导的转录因子,信号转导网络和炎症介质的基因表达。 基于以上数据,研究人员分析出了以 STAT1 为核心的免疫调控网络,并用 CD8 和 INFγ 抗体验证了对肿瘤的免疫效果。 图片来源:Immunity 乳酸菌通过代谢色氨酸激活 AhR 乳酸菌可以代谢色氨酸产生吲哚,为了找到激活 AhR 的源头,研究人员首先发现广谱抗生素 Abx 能够抑制小鼠肿瘤生长。之后又用乳酸菌不耐受的 Amp 和耐受的 Vanc 作为对照
蛋白相互作用的未知蛋白。 酵母双杂交系统的建立是基于对真核生物调控转录起始过程的认识。细胞起始基因转录需要有反式转录激活因子的参与。反式转录激活因子,例如酵母转录因子GAL4在结构上是组件式的(modular),往往由两个或两个以上结构上可以分开,功能上相互独立的结构域(domain)构成,其中有DNA结合功能域(DNA binding domain,DNA-BD)和转录激活结构域(activation domain,DNA-AD)。这两个结合域将它们分开时仍分别具有功能,但不能激活转录,只有当被分开
技术资料暂无技术资料 索取技术资料












