相关产品推荐更多 >
万千商家帮你免费找货
0 人在求购买到急需产品
- 详细信息
- 文献和实验
- 技术资料
- 供应商:
上海联迈生物工程有限公司
- 库存:
大量
- 目录编号:
LM-5856R
- 克隆性:
多克隆
- 抗原来源:
Rabbit
- 保质期:
1年
- 抗体英文名:
ADAMTS13
- 抗体名:
整合素样金属蛋白酶与凝血酶13型抗体
- 宿主:
Rabbit
- 适应物种:
Human, Mouse, Rat, Dog, Pig, Cow, Horse,
- 免疫原:
KLH conjugated synthetic peptide derived from human ADAMTS13:401-500/1427
- 亚型:
IgG
- 形态:
Lyophilized or Liquid
- 应用范围:
WB=1:500-2000 ELISA=1:500-1000 IHC-P=1:400-800 IHC-F=1:400-800 IF=1:100-500 (石蜡切片需做抗原修复)
- 浓度:
1mg/ml
- 保存条件:
Store at -20 °C
- 规格:
100ul 200ul
| 英文名称 | ADAMTS13 |
| 中文名称 | 整合素样金属蛋白酶与凝血酶13型抗体 |
| 别 名 | Cleaves the vWF multimers in plasma into smaller forms. Von Willebrand factor cleaving protease; A disintegrin and metalloproteinase with thrombospondin motifs 13; A disintegrin like and metalloprotease (reprolysin type) with thrombospondin type 1 motif 13; A disintegrin like and metalloprotease with thrombospondin type 1 motif 13; ADAM metallopeptidase with thrombospondin type 1 motif 13; ADAM TS 13; ADAM TS13; ADAM-TS 13; ADAM-TS13; ADAMTS 13; ADAMTS-13; ADAMTS13; ADAMTS13 protein; ATS13_HUMAN; C9orf8; TTP; von Willebrand factor-cleaving protease; vWF cleaving protease; vWF CP; vWF-cleaving protease; vWF-CP; vWFCP. |
| 规格价格 | 100ul/1380元 购买 200ul/2200元 购买 大包装/询价 |
| 说 明 书 | 100ul 200ul |
| 研究领域 | 肿瘤 细胞生物 免疫学 信号转导 细胞粘附分子 |
| 抗体来源 | Rabbit |
| 克隆类型 | Polyclonal |
| 交叉反应 | Human, Mouse, Rat, Dog, Pig, Cow, Horse, |
| 产品应用 | WB=1:500-2000 ELISA=1:500-1000 IHC-P=1:400-800 IHC-F=1:400-800 IF=1:100-500 (石蜡切片需做抗原修复) not yet tested in other applications. optimal dilutions/concentrations should be determined by the end user. |
| 分 子 量 | 145kDa |
| 细胞定位 | 分泌型蛋白 |
| 性 状 | Lyophilized or Liquid |
| 浓 度 | 1mg/ml |
| 免 疫 原 | KLH conjugated synthetic peptide derived from human ADAMTS13:401-500/1427 |
| 亚 型 | IgG |
| 纯化方法 | affinity purified by Protein A |
| 储 存 液 | 0.01M TBS(pH7.4) with 1% BSA, 0.03% Proclin300 and 50% Glycerol. |
| 保存条件 | Store at -20 °C for one year. Avoid repeated freeze/thaw cycles. The lyophilized antibody is stable at room temperature for at least one month and for greater than a year when kept at -20°C. When reconstituted in sterile pH 7.4 0.01M PBS or diluent of antibody the antibody is stable for at least two weeks at 2-4 °C. |
| PubMed | PubMed |
| 产品介绍 | background: This gene encodes a member of the ADAMTS (a disintegrin and metalloproteinase with thrombospondin motif) protein family. Members of the family share several distinct protein modules, including a propeptide region, a metalloproteinase domain, a disintegrin-like domain, and a thrombospondin type 1 (TS) motif. Individual members of this family differ in the number of C-terminal TS motifs, and some have unique C-terminal domains. The enzyme encoded by this gene is the von Willebrand Factor (vWF)-cleaving protease, which is responsible for cleaving at the site of Tyr842-Met843 of the vWF molecule. A deficiency of this enzyme is associated with thrombotic thrombocytopenic purpura. Alternative splicing of this gene generates multiple transcript variants encoding different isoforms. [provided by RefSeq, Nov 2008]. Function: Cleaves the vWF multimers in plasma into smaller forms. Subcellular Location: Secreted. Note=Secretion enhanced by O-fucosylation of TSP type-1 repeats. Tissue Specificity: Plasma. Expressed primarily in liver. Post-translational modifications: Glycosylated. O-fucosylated by POFUT2 on a serine or a threonine residue found within the consensus sequence C1-X(2)-(S/T)-C2-G of the TSP type-1 repeat domains where C1 and C2 are the first and second cysteine residue of the repeat, respectively. Fucosylated repeats can then be further glycosylated by the addition of a beta-1,3-glucose residue by the glucosyltransferase, B3GALTL. Fucosylation mediates the efficient secretion of ADAMTS13. May also be C-glycosylated on tryptophan residues within the consensus sequence W-X-X-W of the TPRs, and also N-glycosylated. These other glycosylations can also facilitate secretion. The precursor is processed by a furin endopeptidase which cleaves off the pro-domain. DISEASE: Defects in ADAMTS13 are the cause of thrombotic thrombocytopenic purpura congenital (TTP) [MIM:274150]; also known as Upshaw-Schulman syndrome (USS). A hematologic disease characterized by hemolytic anemia with fragmentation of erythrocytes, thrombocytopenia, diffuse and non-focal neurologic findings, decreased renal function and fever. Similarity: Contains 2 CUB domains. Contains 1 disintegrin domain. Contains 1 peptidase M12B domain. Contains 8 TSP type-1 domains. SWISS: Q76LX8 Gene ID: 11093 Database links: Entrez Gene: 11093 Human Entrez Gene: 279028 Mouse Entrez Gene: 362091 Rat Omim: 604134 Human SwissProt: Q76LX8 Human SwissProt: Q769J6 Mouse Unigene: 131433 Human Unigene: 330084 Mouse Important Note: This product as supplied is intended for research use only, not for use in human, therapeutic or diagnostic applications. 细胞外基质蛋白 |
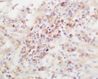
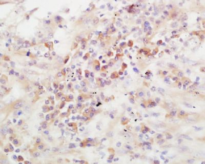
| 产品图片 | ![]() Sample: Liver (Mouse) Lysate at 40 ug Primary: Anti-ADAMTS13 (bs-5856R) at 1/1000 dilution Secondary: IRDye800CW Goat Anti-Rabbit IgG at 1/20000 dilution Predicted band size: 145 kD Observed band size: 155 kD ![]() Tissue/cell: human lung carcinoma; 4% Paraformaldehyde-fixed and paraffin-embedded; Antigen retrieval: citrate buffer ( 0.01M, pH 6.0 ), Boiling bathing for 15min; Block endogenous peroxidase by 3% Hydrogen peroxide for 30min; Blocking buffer (normal goat serum,C-0005) at 37℃ for 20 min; Incubation: Anti-ADAMTS13 Polyclonal Antibody, Unconjugated(bs-5856R) 1:200, overnight at 4°C, followed by conjugation to the secondary antibody(SP-0023) and DAB(C-0010) staining |
风险提示:丁香通仅作为第三方平台,为商家信息发布提供平台空间。用户咨询产品时请注意保护个人信息及财产安全,合理判断,谨慎选购商品,商家和用户对交易行为负责。对于医疗器械类产品,请先查证核实企业经营资质和医疗器械产品注册证情况。
文献和实验nm 2,MCV,MCH,MCHC数值记忆,判断贫血类型:正细胞贫血 3,MCV和RDW,判断:小细胞不均一性 4,AA,网织红<0.5% 5,RPI公式 6,网织红发育阶段分型:4型,B型题 7,点彩红细胞增高:金属中毒 8,运动,白细胞增高,边缘池与循环池的平衡 9,稀释液:乙酸 10,白细胞计数不分性别 11,血涂片上10—12,WBC 13—18×10 9 12,白细胞早晨低,下午高 13,中性粒增多: 14,EOS:白天低,夜间高
率。但长期疗效尚不清楚。用法:每日1~2g口服。 2.3抗凝疗法 抗凝疗法不仅能抑制血栓形成、减少缺血性病变,而且通过抑制凝血酶生成,达到:(1)抑制凝血酶受体活化,减轻NFκB活化,减少IL等细胞因子产生;(2)减少凝血酶上调金属蛋白酶、下调金属蛋白酶抑制因子的作用,从而减轻肾组织硬化;(3)减少凝血酶刺激系膜细胞的增殖作用;(4)保护内皮细胞功能。此外,肝素还具有:(1)补充肾小球基底膜阴离子电荷;(2)抑制系膜细胞增生;(3)抑制系膜细胞表达、分泌纤维细胞生长因子和血小板源性生长
mM Tris-HCl,2mM ATP,10mM MgSO4,pH7.4中37°C温浴10分钟而破坏.或者把有标签 蛋白通过ATP-agarose或相似的纯化介质或进行离子交换层 析来除去. 标签蛋白被蛋白酶部分降解 加入蛋白酶抑制剂.多条条带可能是由于目的蛋白被蛋白 酶部分降解的结果.在裂解溶液中加入1mM PMSF可能会 使结果变好.一种无毒的水溶性的PMSF替代物是AEBSF, Roche Biochemicals的商品名为Pefabloc SC.注:丝氨酸 蛋白酶抑制剂必须在使用凝血酶或凝血因子Xa
技术资料暂无技术资料 索取技术资料












