相关产品推荐更多 >
万千商家帮你免费找货
0 人在求购买到急需产品
- 详细信息
- 文献和实验
- 技术资料
- 供应商:
上海联迈生物工程有限公司
- 库存:
大量
- 目录编号:
LM-4880R
- 克隆性:
多克隆
- 抗原来源:
Rabbit
- 保质期:
1年
- 抗体英文名:
IKK beta
- 抗体名:
KB抑制蛋白激酶β抗体
- 宿主:
Rabbit
- 适应物种:
Human, Mouse, Rat, Chicken, Dog, Pig, Cow, Horse, Rabbit,
- 免疫原:
KLH conjugated synthetic peptide derived from human IKK beta:141-240/756
- 亚型:
IgG
- 形态:
Lyophilized or Liquid
- 应用范围:
WB=1:500-2000 ELISA=1:500-1000 IHC-P=1:400-800 IHC-F=1:400-800 Flow-Cyt=1ug/test ICC=1:100-500 IF=1:100-500 (石蜡切片需做抗原修复)
- 浓度:
1mg/ml
- 保存条件:
Store at -20 °C
- 规格:
50ul 100ul 200ul
| 英文名称 | IKK beta |
| 中文名称 | KB抑制蛋白激酶β抗体 |
| 别 名 | IKKI kappa B kinase 2; IKKβ; IKK β; I kappa B kinase beta; IkBKB; IKK 2; IKK B; IKK beta; IKK2; IKKB; Inhibitor of kappa light chain gene enhancer in B cells; Inhibitor of kappa light polypeptide gene enhancer in B cells; Inhibitor of kappa light polypeptide gene enhancer in B cells kinase beta; Inhibitor of nuclear factor kappa B kinase beta subunit; Inhibitor of nuclear factor kappa B kinase subunit beta; MGC131801; NFKBIKB; Nuclear factor NF kappa B inhibitor kinase beta; Nuclear factor of kappa light chain gene enhancer in B cells inhibitor; IKKB_HUMAN. |
| 规格价格 | 50ul/780元 购买 100ul/1380元 购买 200ul/2200元 购买 大包装/询价 |
| 说 明 书 | 50ul 100ul 200ul |
| 研究领域 | 肿瘤 细胞生物 免疫学 信号转导 激酶和磷酸酶 |
| 抗体来源 | Rabbit |
| 克隆类型 | Polyclonal |
| 交叉反应 | Human, Mouse, Rat, Chicken, Dog, Pig, Cow, Horse, Rabbit, |
| 产品应用 | WB=1:500-2000 ELISA=1:500-1000 IHC-P=1:400-800 IHC-F=1:400-800 Flow-Cyt=1ug/test ICC=1:100-500 IF=1:100-500 (石蜡切片需做抗原修复) not yet tested in other applications. optimal dilutions/concentrations should be determined by the end user. |
| 分 子 量 | 87kDa |
| 细胞定位 | 细胞核 细胞浆 细胞膜 |
| 性 状 | Lyophilized or Liquid |
| 浓 度 | 1mg/ml |
| 免 疫 原 | KLH conjugated synthetic peptide derived from human IKK beta:141-240/756 |
| 亚 型 | IgG |
| 纯化方法 | affinity purified by Protein A |
| 储 存 液 | 0.01M TBS(pH7.4) with 1% BSA, 0.03% Proclin300 and 50% Glycerol. |
| 保存条件 | Store at -20 °C for one year. Avoid repeated freeze/thaw cycles. The lyophilized antibody is stable at room temperature for at least one month and for greater than a year when kept at -20°C. When reconstituted in sterile pH 7.4 0.01M PBS or diluent of antibody the antibody is stable for at least two weeks at 2-4 °C. |
| PubMed | PubMed |
| 产品介绍 | background: IKK beta (I-Kappa-B kinase-beta) is a member of the IKK complex which is composed of IKK alpha, IKK beta, IKK gamma and IKAP. Phosphorylation of I-Kappa-B on a serine residue by the IKK complex frees NF-kB from I-Kappa-B and marks it for degradation via ubiquination. IKK beta has been shown to activate NF-kB and phosphorylate IKB alpha and beta. Phosphorylation of 2 sites at the activation loop of IKK beta is essential for activation of IKK by TNF and IL1. Once activated, IKK beta autophosphorylates which in turn decreases IKK activity and prevents prolonged activation of the inflammatory response. Additionally, IKK beta activity can also be regulated by MEKK1. Function: Serine kinase that plays an essential role in the NF-kappa-B signaling pathway which is activated by multiple stimuli such as inflammatory cytokines, bacterial or viral products, DNA damages or other cellular stresses. Acts as part of the canonical IKK complex in the conventional pathway of NF-kappa-B activation and phosphorylates inhibitors of NF-kappa-B on 2 critical serine residues. These modifications allow polyubiquitination of the inhibitors and subsequent degradation by the proteasome. In turn, free NF-kappa-B is translocated into the nucleus and activates the transcription of hundreds of genes involved in immune response, growth control, or protection against apoptosis. In addition to the NF-kappa-B inhibitors, phosphorylates several other components of the signaling pathway including NEMO/IKBKG, NF-kappa-B subunits RELA and NFKB1, as well as IKK-related kinases TBK1 and IKBKE. IKK-related kinase phosphorylations may prevent the overproduction of inflammatory mediators since they exert a negative regulation on canonical IKKs. Also phosphorylates other substrates including NCOA3, BCL10 and IRS1. Within the nucleus, acts as an adapter protein for NFKBIA degradation in UV-induced NF-kappa-B activation. Subunit: Component of the I-kappa-B-kinase (IKK) core complex consisting of CHUK, IKBKB and IKBKG; probably four alpha/CHUK-beta/IKBKB dimers are associated with four gamma/IKBKG subunits. The IKK core complex seems to associate with regulatory or adapter proteins to form a IKK-signalosome holo-complex. The IKK complex associates with TERF2IP/RAP1, leading to promote IKK-mediated phosphorylation of RELA/p65. Part of a complex composed of NCOA2, NCOA3, CHUK/IKKA, IKBKB, IKBKG and CREBBP. Part of a 70-90 kDa complex at least consisting of CHUK/IKKA, IKBKB, NFKBIA, RELA, IKBKAP and MAP3K14. Found in a membrane raft complex, at least composed of BCL10, CARD11, DPP4 and IKBKB. Interacts with SQSTM1 through PRKCZ or PRKCI. Forms an NGF-induced complex with IKBKB, PRKCI and TRAF6. May interact with MAVS/IPS1. Interacts with NALP2. Interacts with TICAM1. Interacts with Yersinia yopJ. Interacts with FAF1; the interaction disrupts the IKK complex formation. Interacts with ATM. Part of a ternary complex consisting of TANK, IKBKB and IKBKG. Interacts with NIBP; the interaction is direct. Interacts with ARRB1 and ARRB2. Interacts with TRIM21. Interacts with NLRC5; prevents IKBKB phosphorylation and kinase activity. Interacts with PDPK1. Subcellular Location: Cytoplasm. Nucleus. Membrane raft. Note=Colocalized with DPP4 in membrane rafts. Tissue Specificity: Highly expressed in heart, placenta, skeletal muscle, kidney, pancreas, spleen, thymus, prostate, testis and peripheral blood. Post-translational modifications: Upon cytokine stimulation, phosphorylated on Ser-177 and Ser-181 by MEKK1 and/or MAP3K14/NIK as well as TBK1 and PRKCZ; which enhances activity. Once activated, autophosphorylates on the C-terminal serine cluster; which decreases activity and prevents prolonged activation of the inflammatory response. Phosphorylated by the IKK-related kinases TBK1 and IKBKE, which is associated with reduced CHUK/IKKA and IKBKB activity and NF-kappa-B-dependent gene transcription. Acetylation of Thr-180 by Yersinia yopJ prevents phosphorylation and activation, thus blocking the I-kappa-B pathway. Ubiquitinated. Monoubiquitination involves TRIM21 that leads to inhibition of Tax-induced NF-kappa-B signaling. According to PubMed:19675099, 'Ser-163' does not serve as a monoubiquitination site. According to PubMed:16267042, ubiquitination on 'Ser-163' modulates phosphorylation on C-terminal serine residues. Monoubiquitination by TRIM21 is disrupted by Yersinia yopJ. Similarity: Belongs to the protein kinase superfamily. Ser/Thr protein kinase family. I-kappa-B kinase subfamily. Contains 1 protein kinase domain. SWISS: O14920 Gene ID: 3551 Database links: Entrez Gene: 3551 Human Entrez Gene: 16150 Mouse Entrez Gene: 84351 Rat Omim: 603258 Human SwissProt: O14920 Human SwissProt: O88351 Mouse SwissProt: Q9QY78 Rat Unigene: 597664 Human Unigene: 277886 Mouse Unigene: 19222 Rat Important Note: This product as supplied is intended for research use only, not for use in human, therapeutic or diagnostic applications. |
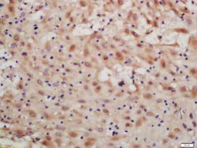
| 产品图片 | ![]() Sample: Spleen (Mouse) Lysate at 40 ug Primary: Anti-IKK beta (bs-4880R) at 1/300 dilution Secondary: IRDye800CW Goat Anti-Rabbit IgG at 1/20000 dilution Predicted band size: 87 kD Observed band size: 87 kD ![]() Tissue/cell: human placenta tissue; 4% Paraformaldehyde-fixed and paraffin-embedded; Antigen retrieval: citrate buffer ( 0.01M, pH 6.0 ), Boiling bathing for 15min; Block endogenous peroxidase by 3% Hydrogen peroxide for 30min; Blocking buffer (normal goat serum,C-0005) at 37℃ for 20 min; Incubation: Anti-IKK beta Polyclonal Antibody, Unconjugated(bs-4880R) 1:200, overnight at 4°C, followed by conjugation to the secondary antibody(SP-0023) and DAB(C-0010) staining ![]() Blank control:A549. Primary Antibody (green line): Rabbit Anti-IKK beta antibody (bs-4880R) Dilution: 1μg /10^6 cells; Isotype Control Antibody (orange line): Rabbit IgG . Secondary Antibody : Goat anti-rabbit IgG-PE Dilution: 1μg /test. Protocol The cells were fixed with 4% PFA (10min at room temperature)and then permeabilized with 20% PBST for 20 min at-20℃. The cells were then incubated in 5%BSA to block non-specific protein-protein interactions for 30 min at at room temperature .Cells stained with Primary Antibody for 30 min at room temperature. The secondary antibody used for 40 min at room temperature. Acquisition of 20,000 events was performed. |
风险提示:丁香通仅作为第三方平台,为商家信息发布提供平台空间。用户咨询产品时请注意保护个人信息及财产安全,合理判断,谨慎选购商品,商家和用户对交易行为负责。对于医疗器械类产品,请先查证核实企业经营资质和医疗器械产品注册证情况。
文献和实验的信号分 子 小分子物质,有助于信号向胞内进行传递,比如环磷腺苷 cAMP,环磷鸟苷 cGMP,以及钙离子等等,主要的作用就是活化蛋白激酶。常见信号通路总结1. NF-κB signaling pathwayNF-κB 通路作用机制当处于激活状态时,NF-κB 位于细胞质中且与抑制蛋白 IκBα 形成复合体。通过内在膜受体的介导,一些胞外信号物质可激活一种称为 IκB 激酶(IKK)的酶。IKK 转而磷酸化 IκBα 蛋白,这将导致后者的泛素化,使得 IκBα 从 NF-κB 上脱离下来,最终
【进展|热点】Nature Immunology:发现三个调控NF-kB非经典信号通路的microRNA
和IκBε)结合,并不表现出转录活性。IKK蛋白激酶复合体是调控NF-κB信号通路的核心环节,其由IKKα、IKKβ和IKKγ组成。 在NF-κB经典激活路径中,上游信号引起IKK蛋白激酶复合体的激活,促进IKB的磷酸化,导致IKB被蛋白酶体所降解,NF-κB因失去IκB的抑制作用而得以进入细胞核参与相关基因(比如炎症因子的转录调控)。 在NF-κB替代(非经典)激活路径中,p100被NF-κB 诱导激酶(NIK)和IκBα的作用下,被降解为具有活性的p52,并且RelB组成异源二聚体而进入
因子FKHRLI能促进凋亡基因Fas―l和Bim等转录,Akt被激活后从细胞膜转移到细胞核并磷酸化FKHRLl。磷酸化的FKHRLl被转运出细胞核后与胞质蛋白14―3―3螯合在一起而失去了对靶基因的转录功能。此外,Akt也能正调节两种转录因子NF―κB和Bcl―2。NF―kB与许多细胞因子和生长因子引起的细胞分化、凋亡和生存有关。在正常状态下,NF―κB在胞质中与它的抑制因子I―κB结合在一起,失去转录活性。Akt能通过磷酸化激活IKK。(1―κB的激酶),导致I―κB磷酸化、降解,并与NF―κB分离,被释放
技术资料暂无技术资料 索取技术资料













