相关产品推荐更多 >
万千商家帮你免费找货
0 人在求购买到急需产品
- 详细信息
- 文献和实验
- 技术资料
- 供应商:
上海联迈生物工程有限公司
- 库存:
大量
- 目录编号:
LM-4501R
- 克隆性:
多克隆
- 抗原来源:
Rabbit
- 保质期:
1年
- 抗体英文名:
testis antigen 1B
- 抗体名:
肿瘤/睾丸抗原1B/1A
- 宿主:
Rabbit
- 适应物种:
Human
- 免疫原:
KLH conjugated synthetic peptide derived from human Cancer/testis antigen 1B/1A:75-180/180
- 亚型:
IgG
- 形态:
Lyophilized or Liquid
- 应用范围:
WB=1:500-2000 ELISA=1:500-1000 IHC-P=1:400-800 IHC-F=1:400-800 IF=1:50-200 (石蜡切片需做抗原修复)
- 浓度:
1mg/ml
- 保存条件:
Store at -20 °C
- 规格:
100ul 200ul
| 英文名称 | testis antigen 1B |
| 中文名称 | 肿瘤/睾丸抗原1B/1A |
| 别 名 | Autoimmunogenic cancer/testis antigen NY ESO 1; testis antigen 1A; Autoimmunogenic cancer/testis antigen NY-ESO-1; Cancer antigen 3; Cancer/testis antigen 1; Cancer/testis antigen 1B; Cancer/testis antigen 6.1; CT6.1; CTAG 1; CTAG 1B; CTAG; CTAG1; CTAG1A; CTAG1B; CTG1B_HUMAN; ESO 1; ESO1; L antigen family member 2; LAGE 2; LAGE 2 protein; LAGE 2B; LAGE-2; LAGE2; LAGE2 protein; LAGE2A; LAGE2B; New York esophageal squamous cell carcinoma 1; NY ESO 1; NYESO 1; NYESO1. |
| 规格价格 | 100ul/1380元 购买 200ul/2200元 购买 大包装/询价 |
| 说 明 书 | 100ul 200ul |
| 研究领域 | 肿瘤 细胞生物 免疫学 |
| 抗体来源 | Rabbit |
| 克隆类型 | Polyclonal |
| 交叉反应 | Human, |
| 产品应用 | WB=1:500-2000 ELISA=1:500-1000 IHC-P=1:400-800 IHC-F=1:400-800 IF=1:50-200 (石蜡切片需做抗原修复) not yet tested in other applications. optimal dilutions/concentrations should be determined by the end user. |
| 分 子 量 | 18kDa |
| 细胞定位 | 细胞浆 |
| 性 状 | Lyophilized or Liquid |
| 浓 度 | 1mg/ml |
| 免 疫 原 | KLH conjugated synthetic peptide derived from human Cancer/testis antigen 1B/1A:75-180/180 |
| 亚 型 | IgG |
| 纯化方法 | affinity purified by Protein A |
| 储 存 液 | 0.01M TBS(pH7.4) with 1% BSA, 0.03% Proclin300 and 50% Glycerol. |
| 保存条件 | Store at -20 °C for one year. Avoid repeated freeze/thaw cycles. The lyophilized antibody is stable at room temperature for at least one month and for greater than a year when kept at -20°C. When reconstituted in sterile pH 7.4 0.01M PBS or diluent of antibody the antibody is stable for at least two weeks at 2-4 °C. |
| PubMed | PubMed |
| 产品介绍 | background: Expressed in testis and ovary and in a wide variety of cancers. Detected in uterine myometrium. Expressed from 18 weeks until birth in human fetal testis. In the adult testis, is strongly expressed in spermatogonia and in primary spermatocytes, but not in post-meiotic cells or in testicular somatic cells (at protein level). Subcellular Location: Cytoplasm. Tissue Specificity: Expressed in testis and ovary and in a wide variety of cancers. Detected in uterine myometrium. Expressed from 18 weeks until birth in human fetal testis. In the adult testis, is strongly expressed in spermatogonia and in primary spermatocytes, but not in post-meiotic cells or in testicular somatic cells (at protein level). Similarity: Belongs to the CTAG family. SWISS: P78358 Gene ID: 1485 Database links: Entrez Gene: 1485 Human Entrez Gene: 246100 Human Omim: 300156 Human SwissProt: P78358 Human Unigene: 534310 Human Unigene: 729551 Human Important Note: This product as supplied is intended for research use only, not for use in human, therapeutic or diagnostic applications. |
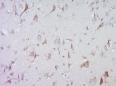
| 产品图片 | ![]() Paraformaldehyde-fixed, paraffin embedded (Human brain glioma); Antigen retrieval by boiling in sodium citrate buffer (pH6.0) for 15min; Block endogenous peroxidase by 3% hydrogen peroxide for 20 minutes; Blocking buffer (normal goat serum) at 37°C for 30min; Antibody incubation with (testis antigen 1B) Polyclonal Antibody, Unconjugated (bs-4501R) at 1:400 overnight at 4°C, followed by operating according to SP Kit(Rabbit) (sp-0023) instructionsand DAB staining. |
风险提示:丁香通仅作为第三方平台,为商家信息发布提供平台空间。用户咨询产品时请注意保护个人信息及财产安全,合理判断,谨慎选购商品,商家和用户对交易行为负责。对于医疗器械类产品,请先查证核实企业经营资质和医疗器械产品注册证情况。
文献和实验, YWHAZ. Cell Cycle Proteins Regulated by the Erk1/2 Pathway: CCNA1, CCNA2, CCNB1, CCNB2, CCND1, CCND2, CCND3, CCNE1, CCNE2, CDK2, CDK4, CDK6, CDKN1A, CDKN1B, CDKN1C, CDKN2A, CDKN2B, CDKN2C, CDKN2D, E2F1, RB1. 2。T细胞与B细胞活化基因芯片 T细胞与B细胞活化基因芯片列有适应性免疫
encoding enhanced GFP (pEGFP-C1; Clontech) together with 1 µg of either a control plasmid (pMEX), or a pCMV plasmid carrying either the pro-apoptotic adenovirus E1A or the anti-apoptotic adenovirus E1B-19K gene (20 ,21 ) using 10 µl LipofectAMINE Reagent
Immunohistochemistry: Fluorescence Protocol 2.0
activation of Ficoll separated PBMNC. Both monocytes and lymphocytes will be activated. The cells are co-cultivated with PMA (1 ng/mL), ionomycin (500 nM/mL) and harvested after 4 hours. After 4 hours, one can expect to see IL-1a, IL-1b, IL-1ra, IL-2, IL
技术资料暂无技术资料 索取技术资料











