相关产品推荐更多 >
万千商家帮你免费找货
0 人在求购买到急需产品
- 详细信息
- 文献和实验
- 技术资料
- 供应商:
上海联迈生物工程有限公司
- 库存:
大量
- 目录编号:
LM-9977R
- 克隆性:
多克隆
- 抗原来源:
Rabbit
- 保质期:
1年
- 抗体英文名:
C21orf2
- 抗体名:
21号染色体开放阅读框2抗体
- 宿主:
Rabbit
- 适应物种:
Human, Mouse, Rat,
- 免疫原:
KLH conjugated synthetic peptide derived from human C21orf2:1-100/256
- 亚型:
IgG
- 形态:
Lyophilized or Liquid
- 应用范围:
WB=1:500-2000 ELISA=1:500-1000 IHC-P=1:400-800 IHC-F=1:400-800 ICC=1:100-500 IF=1:100-500 (石蜡切片需做抗原修复)
- 浓度:
1mg/ml
- 保存条件:
Store at -20 °C
- 规格:
100ul 200ul
| 英文名称 | C21orf2 |
| 中文名称 | 21号染色体开放阅读框2抗体 |
| 别 名 | A2 antibody C21orf HUMF09G8.5; Chromosome 21 open reading frame 2; Hypothetical protein LOC755; Nuclear encoded mitochondrial protein cDNA A2 YF5; Uncharacterized protein C21orf2; YF 5; YF5; YF5/A2 antibody. |
| 规格价格 | 100ul/1380元 购买 200ul/2200元 购买 大包装/询价 |
| 说 明 书 | 100ul 200ul |
| 研究领域 | 细胞生物 免疫学 发育生物学 神经生物学 |
| 抗体来源 | Rabbit |
| 克隆类型 | Polyclonal |
| 交叉反应 | Human, Mouse, Rat, |
| 产品应用 | WB=1:500-2000 ELISA=1:500-1000 IHC-P=1:400-800 IHC-F=1:400-800 ICC=1:100-500 IF=1:100-500 (石蜡切片需做抗原修复) not yet tested in other applications. optimal dilutions/concentrations should be determined by the end user. |
| 分 子 量 | 28kDa |
| 性 状 | Lyophilized or Liquid |
| 浓 度 | 1mg/ml |
| 免 疫 原 | KLH conjugated synthetic peptide derived from human C21orf2:1-100/256 |
| 亚 型 | IgG |
| 纯化方法 | affinity purified by Protein A |
| 储 存 液 | 0.01M TBS(pH7.4) with 1% BSA, 0.03% Proclin300 and 50% Glycerol. |
| 保存条件 | Store at -20 °C for one year. Avoid repeated freeze/thaw cycles. The lyophilized antibody is stable at room temperature for at least one month and for greater than a year when kept at -20°C. When reconstituted in sterile pH 7.4 0.01M PBS or diluent of antibody the antibody is stable for at least two weeks at 2-4 °C. |
| PubMed | PubMed |
| 产品介绍 | background: The smallest of the human chromosomes, 21 makes up about 1.5% of the human genome. Chromosome 21 contains nearly 300 genes and 47 million base pairs. Down syndrome, also known as trisomy 21, is the disease most commonly associated with chromosome 21. Alzheimer's disease, Jervell and Lange-Nielsen syndrome and amyotrophic lateral sclerosis are also associated with chromosome 21. Translocations are found to occur between chromosome 21 and 8, and chromosome 21 and 12, in certain leukemias. The C21orf2 gene product has been provisionally designated C21orf2 pending further characterization. Function: May play roles in cilia formation and/or maintenance (By similarity). Plays a role in the regulation of cell morphology and cytoskeletal organization. Similarity: Contains 3 LRR (leucine-rich) repeats. Contains 1 LRRCT domain. To C.elegans F09G8.5. SWISS: O43822 Gene ID: 755 Database links: Entrez Gene: 755 Human Entrez Gene: 67884 Mouse Omim: 603191 Human SwissProt: O43822 Human SwissProt: Q8C6G1 Mouse Unigene: 517331 Human Important Note: This product as supplied is intended for research use only, not for use in human, therapeutic or diagnostic applications. |
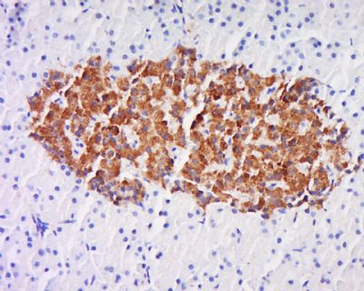
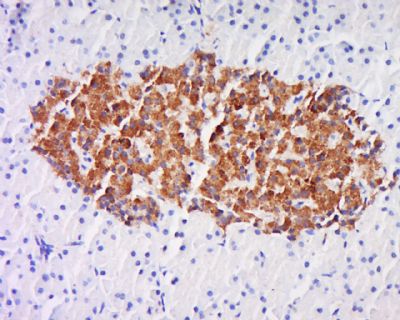
| 产品图片 | ![]() Sample: A549(Human) Cell Lysate at 30 ug Primary: Anti-C21orf2 (bs-9977R) at 1/1000 dilution Secondary: IRDye800CW Goat Anti-Rabbit IgG at 1/20000 dilution Predicted band size: 28 kD Observed band size: 27 kD ![]() Paraformaldehyde-fixed, paraffin embedded (Rat brain); Antigen retrieval by boiling in sodium citrate buffer (pH6.0) for 15min; Block endogenous peroxidase by 3% hydrogen peroxide for 20 minutes; Blocking buffer (normal goat serum) at 37°C for 30min; Antibody incubation with (C21orf2) Polyclonal Antibody, Unconjugated (bs-9977R) at 1:400 overnight at 4°C, followed by operating according to SP Kit(Rabbit) (sp-0023) instructionsand DAB staining. ![]() Tissue/cell: Rat pancreas tissue; 4% Paraformaldehyde-fixed and paraffin-embedded; Antigen retrieval: citrate buffer ( 0.01M, pH 6.0 ), Boiling bathing for 15min; Block endogenous peroxidase by 3% Hydrogen peroxide for 30min; Blocking buffer (normal goat serum,C-0005) at 37℃ for 20 min; Incubation: Anti-C21orf2 Polyclonal Antibody, Unconjugated(bs-9977R) 1:500, overnight at 4°C, followed by conjugation to the secondary antibody(SP-0023) and DAB(C-0010) staining |
风险提示:丁香通仅作为第三方平台,为商家信息发布提供平台空间。用户咨询产品时请注意保护个人信息及财产安全,合理判断,谨慎选购商品,商家和用户对交易行为负责。对于医疗器械类产品,请先查证核实企业经营资质和医疗器械产品注册证情况。
文献和实验长度为1450bp即483个密码子,最长的是位于XII号染色体上的一个功能未知的开放阅读框(4910个密码子),还有极少数的开放阅读框长度超过1500个密码子。在酵母基因组中,也有编码短蛋白的基因,例如,编码由40个氨基酸组成的细胞质 膜蛋白 脂质的PMP1基因。此外,酵母基因组中还包含:约140个编码RNA的基因,排列在XII号染色体的长末端;40个编码SnRNA的基因,散布于16条染色体;属于43个家族的275个tRNA基因也广泛分布于基因组中。 表1 酵母染色体
,即整个基因组有72%的核苷酸顺序由开放阅读框组成。这说明酿酒酵母基因要比其它高等真核生物基因排列紧密。如在人类基因组中,大约平均每隔30kb或更多的碱基才能发现一个编码蛋白质的基因。酵母基因组的紧密性是因为基因间隔区较短与基因中内含子稀少。酵母基因组的开放阅读框平均长度为483个密码子,最长的是位于XII号染色体上的一个功能未知的开放阅读框(4910个密码子)。此外,酿酒酵母基因组中还包含有大约140个编码rRNA的基因,排列在XII号染色体的长末端;40个编码snRNA(small nuclear
三句话读懂一篇 CNS:别熬夜了!熬夜让人长胖,还增加多种疾病风险;运动如何保护心脏?
for creating closure-stabilizing integrin inhibitors。 该研究发现整合素的金属依赖的黏附位点对于「闭合」到「开放」状态的转换非常重要,介绍了靶向整合素的小分子药物研发所面临的挑战,并提出了相应的解决策略,对未来整合素药物的开发有重大意义。 图 3:来源 Cell 4. Circulation:运动对糖尿病心肌病的保护机制 糖尿病性心肌病是指糖尿病诱发心肌的结构和功能损伤, 其致病因复杂。 2022 年 9 月 22 日,香港大学医学院生物医药技术国家
技术资料暂无技术资料 索取技术资料













