相关产品推荐更多 >
万千商家帮你免费找货
0 人在求购买到急需产品
- 详细信息
- 文献和实验
- 技术资料
- 供应商:
上海联迈生物工程有限公司
- 库存:
大量
- 目录编号:
LM-3700R
- 克隆性:
多克隆
- 抗原来源:
Rabbit
- 保质期:
1年
- 抗体英文名:
Phospho-p70 S6 Kinase Beta (Thr444 + Ser447)
- 抗体名:
磷酸化核糖体S6蛋白激酶β2抗体
- 宿主:
Rabbit
- 适应物种:
Human, Mouse, Rat, Chicken, Dog, Pig, Cow, Horse, Rabbit,
- 免疫原:
KLH conjugated Synthesised phosphopeptide derived from human p70 S6 Kinase Beta around the phosphorylation site of Thr444/Ser447:401-500/525
- 亚型:
IgG
- 形态:
Lyophilized or Liquid
- 应用范围:
WB=1:500-2000 ELISA=1:500-1000 IHC-P=1:400-800 IHC-F=1:400-800 IF=1:100-500 (石蜡切片需做抗原修复)
- 浓度:
1mg/ml
- 保存条件:
Store at -20 °C
- 规格:
100ul
| 英文名称 | Phospho-p70 S6 Kinase Beta (Thr444 + Ser447) |
| 中文名称 | 磷酸化核糖体S6蛋白激酶β2抗体 |
| 别 名 | p70 S6 Kinase(Phospho-Thr444 + Ser447); P70 S6 Kinase beta (phospho T444 + S447); 70 kDa ribosomal protein S6 kinase 2; EC 2.7.11.1; KS6B2_HUMAN; p70 beta; p70 ribosomal S6 kinase beta; p70 S6 kinase beta; p70 S6K-beta; p70 S6KB; p70 S6Kbeta; p70(S6K) beta; p70-beta; p70-S6K 2; P70S6K2; p70S6Kb; Ribosomal protein S6 kinase 70kDa, polypeptide 2; Ribosomal protein S6 kinase beta 2; Ribosomal protein S6 kinase beta-2; Rps6kb2; S6 kinase related kinase; S6 kinase-related kinase; S6K beta 2; S6K beta; S6K-beta; S6K-beta-2; S6K2; Serine/threonine protein kinase 14 beta; Serine/threonine-protein kinase 14B; SRK; STK14B. |
| 规格价格 | 100ul/1580元 购买 大包装/询价 |
| 说 明 书 | 100ul |
| 产品类型 | 磷酸化抗体 |
| 研究领域 | 肿瘤 免疫学 信号转导 细胞凋亡 转录调节因子 激酶和磷酸酶 |
| 抗体来源 | Rabbit |
| 克隆类型 | Polyclonal |
| 交叉反应 | Human, Mouse, Rat, Chicken, Dog, Pig, Cow, Horse, Rabbit, |
| 产品应用 | WB=1:500-2000 ELISA=1:500-1000 IHC-P=1:400-800 IHC-F=1:400-800 IF=1:100-500 (石蜡切片需做抗原修复) not yet tested in other applications. optimal dilutions/concentrations should be determined by the end user. |
| 分 子 量 | 60kDa |
| 细胞定位 | 细胞浆 细胞膜 |
| 性 状 | Lyophilized or Liquid |
| 浓 度 | 1mg/ml |
| 免 疫 原 | KLH conjugated Synthesised phosphopeptide derived from human p70 S6 Kinase Beta around the phosphorylation site of Thr444/Ser447:401-500/525 |
| 亚 型 | IgG |
| 纯化方法 | affinity purified by Protein A |
| 储 存 液 | 0.01M TBS(pH7.4) with 1% BSA, 0.03% Proclin300 and 50% Glycerol. |
| 保存条件 | Store at -20 °C for one year. Avoid repeated freeze/thaw cycles. The lyophilized antibody is stable at room temperature for at least one month and for greater than a year when kept at -20°C. When reconstituted in sterile pH 7.4 0.01M PBS or diluent of antibody the antibody is stable for at least two weeks at 2-4 °C. |
| PubMed | PubMed |
| 产品介绍 | background: This gene encodes a member of the ribosomal S6 kinase family of serine/threonine kinases. The encoded protein responds to mTOR (mammalian target of rapamycin) signaling to promote protein synthesis, cell growth, and cell proliferation. Activity of this gene has been associated with human cancer. Alternatively spliced transcript variants have been observed. The use of alternative translation start sites results in isoforms with longer or shorter N-termini which may differ in their subcellular localizations. There are two pseudogenes for this gene on chromosome 17. [provided by RefSeq, Jan 2013]. Function: Serine/threonine-protein kinase that acts downstream of mTOR signaling in response to growth factors and nutrients to promote cell proliferation, cell growth and cell cycle progression. Regulates protein synthesis through phosphorylation of EIF4B, RPS6 and EEF2K, and contributes to cell survival by repressing the pro-apoptotic function of BAD. Under conditions of nutrient depletion, the inactive form associates with the EIF3 translation initiation complex. Upon mitogenic stimulation, phosphorylation by the mammalian target of rapamycin complex 1 (mTORC1) leads to dissociation from the EIF3 complex and activation. The active form then phosphorylates and activates several substrates in the preinitiation complex, including the EIF2B complex and the cap-binding complex component EIF4B. Also controls translation initiation by phosphorylating a negative regulator of EIF4A, PDCD4, targeting it for ubiquitination and subsequent proteolysis. Promotes initiation of the pioneer round of protein synthesis by phosphorylating POLDIP3/SKAR. In response to IGF1, activates translation elongation by phosphorylating EEF2 kinase (EEF2K), which leads to its inhibition and thus activation of EEF2. Also plays a role in feedback regulation of mTORC2 by mTORC1 by phosphorylating RICTOR, resulting in the inhibition of mTORC2 and AKT1 signaling. Mediates cell survival by phosphorylating the pro-apoptotic protein BAD and suppressing its pro-apoptotic function. Phosphorylates mitochondrial URI1 leading to dissociation of a URI1-PPP1CC complex. The free mitochondrial PPP1CC can then dephosphorylate RPS6KB1 at 'Thr-412', which is proposed to be a negative feedback mechanism for the RPS6KB1 anti-apoptotic function. Mediates TNF-alpha-induced insulin resistance by phosphorylating IRS1 at multiple serine residues, resulting in accelerated degradation of IRS1. In cells lacking functional TSC1-2 complex, constitutively phosphorylates and inhibits GSK3B. May be involved in cytoskeletal rearrangement through binding to neurabin. Subunit: Interacts with PPP1R9A/neurabin-1. Interacts with RPTOR. Interacts with IRS1. Interacts with EIF3B and EIF3C. Interacts with POLDIP3 and TRAF4. Subcellular Location: Cell junction, synapse, synaptosome. Mitochondrion outer membrane. Mitochondrion.Note=Colocalizes with URI1 at mitochondrion. Isoform Alpha I: Nucleus. Cytoplasm. Isoform Alpha II: Cytoplasm. Tissue Specificity: Widely expressed. Post-translational modifications: Phosphorylation at Thr-412 is regulated by mTORC1. The phosphorylation at this site is maintained by an agonist-dependent autophosphorylation mechanism (By similarity). Activated by phosphorylation at Thr-252 by PDPK1. Dephosphorylation by PPP1CC at Thr-412 in mitochondrion. Similarity: Belongs to the protein kinase superfamily. AGC Ser/Thr protein kinase family. S6 kinase subfamily. Contains 1 AGC-kinase C-terminal domain. Contains 1 protein kinase domain. SWISS: Q9UBS0 Gene ID: 6199 Database links: Entrez Gene: 6199 Human Entrez Gene: 58988 Mouse Entrez Gene: 361696 Rat Omim: 608939 Human SwissProt: Q9UBS0 Human SwissProt: Q9Z1M4 Mouse Unigene: 534345 Human Unigene: 271937 Mouse Unigene: 162512 Rat
Important Note: This product as supplied is intended for research use only, not for use in human, therapeutic or diagnostic applications. |
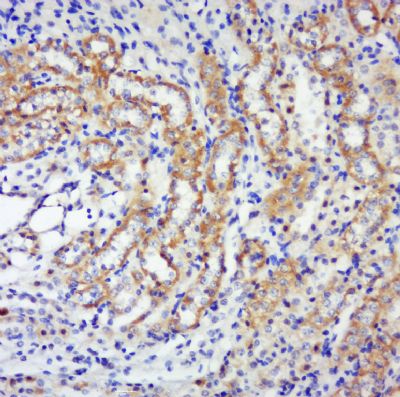
| 产品图片 | ![]() Tissue/cell: Rat kidney tissue; 4% Paraformaldehyde-fixed and paraffin-embedded; Antigen retrieval: citrate buffer ( 0.01M, pH 6.0 ), Boiling bathing for 15min; Block endogenous peroxidase by 3% Hydrogen peroxide for 30min; Blocking buffer (normal goat serum,C-0005) at 37℃ for 20 min; Incubation: Anti- Phospho-p70 S6 Kinase Beta (Thr444 + Ser447) Polyclonal Antibody, Unconjugated(bs-3700R) 1:400, overnight at 4°C, followed by conjugation to the secondary antibody(SP-0023) and DAB(C-0010) staining |
风险提示:丁香通仅作为第三方平台,为商家信息发布提供平台空间。用户咨询产品时请注意保护个人信息及财产安全,合理判断,谨慎选购商品,商家和用户对交易行为负责。对于医疗器械类产品,请先查证核实企业经营资质和医疗器械产品注册证情况。
文献和实验Using Phospho‐Motif Antibodies to Determine Kinase Substrates
, which may be used to specifically detect Ser, Thr, Ser/Thr, or Tyr residues phosphorylated by different protein kinase families. These antibodies are commonly used in immunoprecipitation and/or immunoblotting protocols to determine kinase?induced substrate
下调不能说明活性降低,因为决定GSK3-beta的活性的还与其磷酸化的比例和磷酸化的位点有关。所以你除了要做GSK3-beta总的蛋白表达之外,还要做磷酸化的GSK3-beta的蛋白表达。 (2)应该活性形式和非活性形式都做。一般来讲,GSK3-beta在Ser9位点磷酸化之后活性收到抑制,而在216位点磷酸化之后,其活性收到加强。因此建议将GSK3-beta的两个磷酸化位点都做了,另外还要同时检测GSK3-beta的总蛋白表达,这样才能全面的说明问题。
蛋白磷酸化是多种信号转导途径中的重要环节,细胞内大部分重要的生命过程都涉及蛋白磷酸化。蛋白激酶很多,根据其底物蛋白被磷酸化的氨基酸残基种类,可将它们分为 5 类,其中丝氨酸/苏氨酸 (Ser/Thr) 蛋白激酶又可分为以下几类。 (1)蛋白激酶 A(protein kinase A,PKA)即 cAMP 依赖性蛋白激酶。全酶存在胞浆,被 cAMP 激活后,催化亚基可:① 调节代谢;②调节离子通道;③调节其他信号转导途径的蛋白;④ 进入细胞核调节基因表达。 (2)蛋白激酶 C
技术资料暂无技术资料 索取技术资料











