相关产品推荐更多 >
万千商家帮你免费找货
0 人在求购买到急需产品
- 详细信息
- 文献和实验
- 技术资料
- 供应商:
上海联迈生物工程有限公司
- 库存:
大量
- 目录编号:
LM-8512R
- 克隆性:
多克隆
- 抗原来源:
Rabbit
- 保质期:
1年
- 抗体英文名:
MSX1
- 抗体名:
MSH同源蛋白1样蛋白抗体
- 宿主:
Rabbit
- 适应物种:
Human, Mouse, Rat, Dog, Cow,
- 免疫原:
KLH conjugated synthetic peptide derived from human MSX1:151-297/297
- 亚型:
IgG
- 形态:
Lyophilized or Liquid
- 应用范围:
WB=1:500-2000 ELISA=1:500-1000 IHC-P=1:400-800 IHC-F=1:400-800 Flow-Cyt=5μg /Test IF=1:50-200 (石蜡切片需做抗原修复)
- 浓度:
1mg/ml
- 保存条件:
Store at -20 °C
- 规格:
50ul 100ul 200ul
| 英文名称 | MSX1 |
| 中文名称 | MSH同源蛋白1样蛋白抗体 |
| 别 名 | Msh homeobox 1 like protein; Homeobox 7; Homeobox protein Hox-7; Homeobox protein MSX 1; Homeobox protein MSX-1; Homeobox protein MSX1; Homeobox, msh like 1; Homeobox, msh-like 1; HOX 7; Hox 7.1; Hox-7; HOX7; Hox7.1; HYD 1; HYD1; msh (Drosophila) homeo box homolog 1 (formerly homeo box 7); Msh; msh homeo box 1; msh homeo box homolog 1; Msh homeobox 1; Msh homeobox 1-like protein; msh homeobox homolog 1 (Drosophila); msh homeobox homolog 1; MSH, Drosophila, Homolog of, 1; MSX 1; MSX1; MSX1_HUMAN; Muscle segment homeobox; Muscle segment homeobox, Drosophila, Homolog of, 1; OFC5; STHAG1. |
![]() |
Specific References (1) | bs-8512R has been referenced in 1 publications. [IF=1.85] Mu, Hailong, et al. "The function of Msx1 gene in promoting meiosis of dairy goat male germline stem cells (mGSCs)." Cell Biochemistry and Function (2013). Goat. PubMed:24123057 |
| 规格价格 | 50ul/780元 购买 100ul/1380元 购买 200ul/2200元 购买 大包装/询价 |
| 说 明 书 | 50ul 100ul 200ul |
| 研究领域 | 细胞生物 免疫学 神经生物学 信号转导 干细胞 |
| 抗体来源 | Rabbit |
| 克隆类型 | Polyclonal |
| 交叉反应 | Human, Mouse, Rat, Dog, Cow, |
| 产品应用 | WB=1:500-2000 ELISA=1:500-1000 IHC-P=1:400-800 IHC-F=1:400-800 Flow-Cyt=5μg /Test IF=1:50-200 (石蜡切片需做抗原修复) not yet tested in other applications. optimal dilutions/concentrations should be determined by the end user. |
| 分 子 量 | 31kDa |
| 细胞定位 | 细胞核 |
| 性 状 | Lyophilized or Liquid |
| 浓 度 | 1mg/ml |
| 免 疫 原 | KLH conjugated synthetic peptide derived from human MSX1:151-297/297 |
| 亚 型 | IgG |
| 纯化方法 | affinity purified by Protein A |
| 储 存 液 | 0.01M TBS(pH7.4) with 1% BSA, 0.03% Proclin300 and 50% Glycerol. |
| 保存条件 | Store at -20 °C for one year. Avoid repeated freeze/thaw cycles. The lyophilized antibody is stable at room temperature for at least one month and for greater than a year when kept at -20°C. When reconstituted in sterile pH 7.4 0.01M PBS or diluent of antibody the antibody is stable for at least two weeks at 2-4 °C. |
| PubMed | PubMed |
| 产品介绍 | background: Acts as a transcriptional repressor. May play a role in limb-pattern formation. Acts in cranofacial development and specifically in odontogenesis. Expression in the developing nail bed mesenchyme is important for nail plate thickness and integrity. Function: Acts as a transcriptional repressor. May play a role in limb-pattern formation. Acts in cranofacial development and specifically in odontogenesis. Expression in the developing nail bed mesenchyme is important for nail plate thickness and integrity. Subcellular Location: Nucleus Tissue Specificity: Expressed in the developing nail bed mesenchyme. Post-translational modifications: Sumoylated by PIAS1, desumoylated by SENP1 (By similarity). DISEASE: Defects in MSX1 are the cause of tooth agenesis selective type 1 (STHAG1) [MIM:106600]. A form of selective tooth agenesis, a common anomaly characterized by the congenital absence of one or more teeth. Selective tooth agenesis without associated systemic disorders has sometimes been divided into 2 types: oligodontia, defined as agenesis of 6 or more permanent teeth, and hypodontia, defined as agenesis of less than 6 teeth. The number in both cases does not include absence of third molars (wisdom teeth). Tooth agenesis selective type 1 can be associated with orofacial cleft in some patients. Note=MSX1 is deleted in some patients with Wolf-Hirschhorn syndrome (WHS). WHS results from sub-telomeric deletions in the short arm of chromosome 4. Defects in MSX1 are the cause of Witkop syndrome (WITS) [MIM:189500]. WITS is a form of ectodermal dyslasia also called tooth-and-nail syndrome or dysplasia of nails with hypodontia. Ectodermal dysplasias (EDs) constitute a heterogeneous group of developmental disorders affecting tissues of ectodermal origin. EDs are characterized by abnormal development of two or more ectodermal structures such as hair, teeth, nails and sweat glands, with or without any additional clinical sign. Each combination of clinical features represents a different type of ectodermal dysplasia. Witkop syndrome is characterized by abnormalities largely limited largely to teeth (some of which are missing) and nails (which are poorly formed early in life, especially toenails). This condition is distinguished from anhidrotic ectodermal dysplasia by autosomal dominant inheritance and little involvement of hair and sweat glands. The teeth are not as severely affected. Defects in MSX1 are the cause of non-syndromic orofacial cleft type 5 (OFC5) [MIM:608874]; also called non-syndromic cleft lip with or without cleft palate 5. Non-syndromic orofacial cleft is a common birth defect consisting of cleft lips with or without cleft palate. Cleft lips are associated with cleft palate in two-third of cases. A cleft lip can occur on one or both sides and range in severity from a simple notch in the upper lip to a complete opening in the lip extending into the floor of the nostril and involving the upper gum. Similarity: Belongs to the Msh homeobox family. Contains 1 homeobox DNA-binding domain. SWISS: P28360 Gene ID: 4487 Database links: Entrez Gene: 4487 Human Entrez Gene: 17701 Mouse Entrez Gene: 81710 Rat Entrez Gene: 692067 Rhesus monkey Omim: 142983 Human SwissProt: Q2VL88 Chimpanzee SwissProt: O02786 Cow SwissProt: P28360 Human SwissProt: P13297 Mouse SwissProt: Q2VL87 Rhesus monkey Unigene: 424414 Human Unigene: 256509 Mouse Unigene: 18117 Rat Important Note: This product as supplied is intended for research use only, not for use in human, therapeutic or diagnostic applications. |
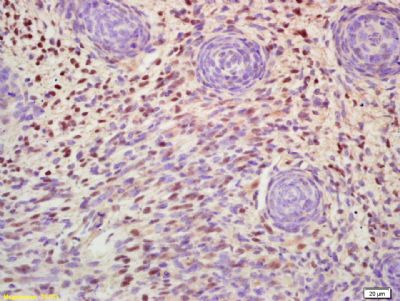
| 产品图片 | ![]() Sample: Utreus (Mouse) Lysate at 40 ug Hela Cell (Human) Lysate at 40 ug Siha Cell (Human) Lysate at 40 ug A673 Cell (Human) Lysate at 40 ug Primary: Anti- MSX1 (bs-8512R) at 1/300 dilution Secondary: IRDye800CW Goat Anti-Rabbit IgG at 1/20000 dilution Predicted band size: 31 kD Observed band size: 31 kD ![]() Tissue/cell: mouse embryo tissue; 4% Paraformaldehyde-fixed and paraffin-embedded; Antigen retrieval: citrate buffer ( 0.01M, pH 6.0 ), Boiling bathing for 15min; Block endogenous peroxidase by 3% Hydrogen peroxide for 30min; Blocking buffer (normal goat serum,C-0005) at 37鈩?? for 20 min; Incubation: Anti-MSX1 Polyclonal Antibody, Unconjugated(bs-8512R) 1:200, overnight at 4掳C, followed by conjugation to the secondary antibody(SP-0023) and DAB(C-0010) staining ![]() Positive control: Hela cells Concebtration: 5μg/10^6 cells Incubation conditions: Avoid light , 30 minutes on the ice. |
风险提示:丁香通仅作为第三方平台,为商家信息发布提供平台空间。用户咨询产品时请注意保护个人信息及财产安全,合理判断,谨慎选购商品,商家和用户对交易行为负责。对于医疗器械类产品,请先查证核实企业经营资质和医疗器械产品注册证情况。
文献和实验内分泌系统。垂体是神经内分泌系统的「指挥中心」,其一些下游激素或效应物在癌症患者中升高,提示神经内分泌系统和垂体单位可能参与调控肿瘤免疫,然而其中的机制仍不清楚。 2022 年 8 月 4 日,中国科学技术大学周荣斌教授作为第一通讯作者在《Science》(IF=63.714)上发表了题为《Pituitary hormone α-MSH promotes tumor-induced myelopoiesis and immunosuppression》的研究论文,深入探究了神经内分泌系统促进肿瘤相关的骨髓生成
自身抗体 autoantibody 自身的抗体形成细胞所形成的对抗自身组成成分的抗体。与此抗体起反应的抗原称为自身抗原(au- toantigen)。自身抗体有类风湿性关节炎的抗IgG抗体,桥本氏病(淋巴结样甲状腺炎)的抗甲状腺球蛋白抗体和全身性红斑性狼疮的抗DNA抗体等。
%,大部分红细胞为正常红细胞(或均一性红细胞)。 近来,区分肾性和非肾性血尿的新方法有: ①棘形红细胞百分率法:即红细胞具有1个或多个胞质突起的炸面圈样细胞≥5%为标准。 ②红细胞容积曲线法:肾性血尿,呈不对称曲线,尿红细胞整理平均容积(MCV)小于静脉血MCV;非肾源性血尿,红细胞容积曲线法呈对称曲线,尿红细胞的MCV大于静脉血红细胞的MCV. ③流式细胞术:测定抗血红蛋白抗体或抗Tamm-Horsfall蛋白抗体染色的红细胞,以鉴别血尿。 (3)混合性血尿
技术资料暂无技术资料 索取技术资料














