相关产品推荐更多 >
万千商家帮你免费找货
0 人在求购买到急需产品
- 详细信息
- 文献和实验
- 技术资料
- 供应商:
上海联迈生物工程有限公司
- 库存:
大量
- 目录编号:
LM-2130R
- 克隆性:
多克隆
- 抗原来源:
Rabbit
- 保质期:
1年
- 抗体英文名:
Ki-67
- 抗体名:
Ki67蛋白抗体
- 宿主:
Rabbit
- 适应物种:
Human, Mouse, Rat, Rabbit,
- 免疫原:
KLH conjugated synthetic peptide derived from human Ki67:1201-1300
- 亚型:
IgG
- 形态:
Lyophilized or Liquid
- 应用范围:
ELISA=1:500-1000 IHC-P=1:400-800 IHC-F=1:400-800 Flow-Cyt=1μg/Test (石蜡切片需做抗原修复)
- 浓度:
1mg/ml
- 保存条件:
Store at -20 °C
- 规格:
50ul 100ul 200ul
| 英文名称 | Ki-67 |
| 中文名称 | Ki67蛋白抗体 |
| 别 名 | Antigen identified by monoclonal antibody Ki 67; Antigen KI67; KIA; Ki-67; Ki67; MKI67; Proliferation related Ki 67 antigen; Antigen KI-67; KI67_HUMAN. |
![]() |
Specific References (20) | bs-2130R has been referenced in 20 publications. [IF=0.00] Sondag, Gregory R. OSTEOACTIVIN AND CD44: A NOVEL INTERACTION REGULATING BONE CELL DIFFERENTIATION AND FUNCTION. Diss. Kent State University, 2015. IF(ICC) ; Mouse. PubMed:000 [IF=0.66] Aslaner, Arif, et al. "Medical ozone treatment ameliorates the acute distal colitis in rat." Acta Cirurgica Brasileira 31.4 (2016): 256-263. IHC-P ; Rat. PubMed:27168538 [IF=5.04] Drel, Viktor R., et al. "Centrality of bone marrow in the severity of gadolinium-based contrast-induced systemic fibrosis." The FASEB Journal(2016): fj-201500188R. IHC-P ; Rat. PubMed:27221979 [IF=3.54] Thompson, Christopher, et al. "Loss of caveolin-1 alters extracellular matrix protein expression and ductal architecture in murine mammary glands." PLOS ONE 12.2 (2017): e0172067. IHC-P ; Mouse. PubMed:28187162 [IF=1.11] Kim, Ki Hyun, et al. "The oncoprotein, gankyrin, is up-regulated in middle ear cholesteatoma." Acta Oto-Laryngologica (2014): 1-6. IHC-P ; Human. PubMed:24460153 [IF=2.07] Ma, Ying-Yu, et al. "Involvement of c-KIT mutation in the development of gastrointestinal stromal tumors through proliferation promotion and apoptosis inhibition." OncoTargets and Therapy 7 (2014): 637-643. IHC-P ; Human. PubMed:24833907 [IF=3.73] Ye, Qiurong, et al. "Lactoferrin Deficiency Promotes Colitis-Associated Colorectal Dysplasia in Mice." PloS one 9.7 (2014): e103298. IHC-P ; Mouse. PubMed:25057912 [IF=8.31] Li, Ning, et al. "Amphiphilic peptide dendritic copolymer-doxorubicin nanoscale conjugate self-assembled to enzyme-responsive anti-cancer agent." Biomaterials (2014). IHC-P ; Mouse. PubMed:25145854 [IF=3.79] Luo, Xiaoming, et al. "Antimetastasis and antitumor efficacy promoted by sequential release of vascular disrupting and chemotherapeutic agents from electrospun fibers." International Journal of Pharmaceutics (2014). IHC-P ; Mouse. PubMed:25218185 [IF=8.31] Pan, Dayi, et al. "PEGylated dendritic diaminocyclohexyl-platinum (II) conjugates as pH-responsive drug delivery vehicles with enhanced tumor accumulation and antitumor efficacy." Biomaterials (2014). IHC-P ; Mouse. PubMed:25263685 [IF=4.75] Zhao, Yuechao, et al. "Estrogen-Induced CCN1 is Critical for Establishment of Endometriosis-like Lesions in Mice." Molecular Endocrinology (2014). IHC-P ; Mouse. PubMed:25321413 [IF=4.20] Yuan, Qing, et al. "Docetaxel-loaded solid lipid nanoparticles suppress breast cancer cells growth with reduced myelosuppression toxicity." International Journal of Nanomedicine 9 (2014): 4829. WB ; Mouse. PubMed:25378924 [IF=2.68] Yang, Fangfang, et al. "Hydroxysafflor yellow A inhibits angiogenesis of hepatocellular carcinoma via blocking ERK/MAPK and NF-κB signaling pathway in H22 tumor-bearing mice." European Journal of Pharmacology(2015). IHC-P ; Mouse. PubMed:25720342 [IF=2.43] Zhang, Jing-Yao, et al. "Hydrogen-rich water protects against acetaminophen-induced hepatotoxicity in mice." World Journal of Gastroenterology 21.14 (2015): 4195-4209. IHC-P ; Mouse. PubMed:25892869 [IF=4.65] Olianas, Maria C., Simona Dedoni, and Pierluigi Onali. "Antidepressants activate the lysophosphatidic acid receptor LPA 1 to induce insulin-like growth factor-I receptor transactivation, stimulation of ERK1/2 signaling and cell proliferation in CHO-K1 fibroblasts." Biochemical Pharmacology (2015). PubMed:25888927 [IF=3.85] Luo, Xiaoming, et al. "Pharmacokinetics and antitumor efficacy of micelles assembled from multiarmed amphiphilic copolymers with drug conjugates in comparison with drug-encapsulated micelles." European Journal of Pharmaceutics and Biopharmaceutics (2015). IHC-P ; Mouse. PubMed:26523356 [IF=4.46] Zhao, Yuechao, et al. "Multiple Beneficial Roles of Repressor of Estrogen Receptor Activity (REA) in Suppressing the Progression of Endometriosis."Endocrinology (2016): en-2015. IHC-P ; Human. [IF=1.27] Ma, Wei‑Yuan, Kun Jia, and Yan Zhang. "IL-17 promotes keratinocyte proliferation via the downregulation of C/EBPα." Experimental and Therapeutic Medicine. IHC-P ; Human. PubMed:not posted yet [IF=5.74] Antognelli, Cinzia, et al. "Glyoxalase I drives epithelial-to-mesenchymal transition via argpyrimidine-modified Hsp70, miR-21 and SMAD signalling in human bronchial cells BEAS-2B chronically exposed to crystalline silica Min-U-Sil 5: transformation into a neoplastic-like phenotype." Free Radical Biology and Medicine (2016). Human. PubMed:26784015 [IF=6.03] Li, Xin, Xiumei Zhu, and Liyan Qiu. "Constructing aptamer anchored nanovesicles for enhanced tumor penetration and cellular uptake of water soluble chemotherapeutics." Acta Biomaterialia (2016). IHC-P ; Mouse. PubMed:26873366 |
| 规格价格 | 50ul/780元 购买 100ul/1380元 购买 200ul/2200元 购买 大包装/询价 |
| 说 明 书 | 50ul 100ul 200ul |
| 研究领域 | 肿瘤 细胞生物 信号转导 转录调节因子 |
| 抗体来源 | Rabbit |
| 克隆类型 | Polyclonal |
| 交叉反应 | Human, Mouse, Rat, Rabbit, |
| 产品应用 | ELISA=1:500-1000 IHC-P=1:400-800 IHC-F=1:400-800 Flow-Cyt=1μg/Test (石蜡切片需做抗原修复) not yet tested in other applications. optimal dilutions/concentrations should be determined by the end user. |
| 分 子 量 | 358kDa |
| 细胞定位 | 细胞核 |
| 性 状 | Lyophilized or Liquid |
| 浓 度 | 1mg/ml |
| 免 疫 原 | KLH conjugated synthetic peptide derived from human Ki67:1201-1300 |
| 亚 型 | IgG |
| 纯化方法 | affinity purified by Protein A |
| 储 存 液 | 0.01M TBS(pH7.4) with 1% BSA, 0.03% Proclin300 and 50% Glycerol. |
| 保存条件 | Store at -20 °C for one year. Avoid repeated freeze/thaw cycles. The lyophilized antibody is stable at room temperature for at least one month and for greater than a year when kept at -20°C. When reconstituted in sterile pH 7.4 0.01M PBS or diluent of antibody the antibody is stable for at least two weeks at 2-4 °C. |
| PubMed | PubMed |
| 产品介绍 | background: Proliferation Marker Ki67 antigen is the prototypic cell cycle related nuclear protein, expressed by proliferating cells in all phases of the active cell cycle (G1, S, G2 and M phase). It is absent in resting (G0) cells. Ki67 antibodies are useful in establishing the cell growing fraction in neoplasms (immunohistochemically quantified by determining the number of Ki67 positive cells among the total number of resting cells = Ki67 index). In neoplastic tissues the prognostic value is comparable to the tritiated thymidine labelling index. The correlation between low Ki67 index and histologically low grade tumours is strong. Ki67 is routinely used as a neuronal marker of cell cycling and proliferation. Function: Thought to be required for maintaining cell proliferation. Subcellular Location: Nucleus. Chromosome. Predominantly localized in the G1 phase in the perinucleolar region, in the later phases it is also detected throughout the nuclear interior, being predominantly localized in the nuclear matrix. In mitosis, it is present on all chromosomes. Similarity: Contains 1 FHA domain. SWISS: P46013 Gene ID: 4288 Database links: Entrez Gene: 4288 Human Entrez Gene: 17345 Mouse Entrez Gene: 246042 Rat Omim: 176741 Human SwissProt: P46013 Human SwissProt: Q91VE6 Mouse SwissProt: Q5RJM0 Rat Unigene: 689823 Human Unigene: 80976 Human Unigene: 4078 Mouse Unigene: 233802 Rat Important Note: This product as supplied is intended for research use only, not for use in human, therapeutic or diagnostic applications. 细胞增殖标志物(Proliferation Marker) Ki67与PCNA一样,为细胞增殖的一种标记,在细胞凋亡中S、G2 、M期均有表达,G0期缺如。 Ki-67增殖指数高低与许多肿瘤的分化程度、浸润、转移以及预后密切相关,因此被广泛作为各种恶性肿瘤的必检项目之一。 |
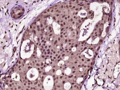
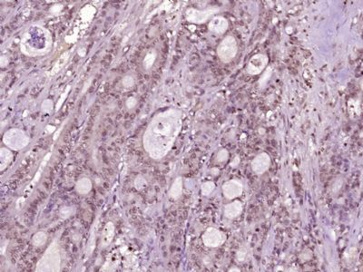
| 产品图片 | ![]() Generously provided by Markus Linder from Medical University Vienna as part of the Bioss Discovery Program. Formalin-fixed, paraffin embedded, and decalcified in EDTA embryonic mouse bone labeled with Anti-Ki-67 (Proliferation Marker) Polyclonal Antibody, Unconjugated (bs-2130R) at 1:100 followed by conjugation to the secondary antibody and DAB staining ![]() Paraformaldehyde-fixed, paraffin embedded (human breast carcinoma); Antigen retrieval by boiling in sodium citrate buffer (pH6.0) for 15min; Block endogenous peroxidase by 3% hydrogen peroxide for 20 minutes; Blocking buffer (normal goat serum) at 37°C for 30min; Antibody incubation with (Ki-67) Polyclonal Antibody, Unconjugated (bs-2130R) at 1:400 overnight at 4°C, followed by operating according to SP Kit(Rabbit) (sp-0023) instructionsand DAB staining. ![]() Paraformaldehyde-fixed, paraffin embedded (Human colon carcinoma); Antigen retrieval by boiling in sodium citrate buffer (pH6.0) for 15min; Block endogenous peroxidase by 3% hydrogen peroxide for 20 minutes; Blocking buffer (normal goat serum) at 37°C for 30min; Antibody incubation with (Ki-67) Polyclonal Antibody, Unconjugated (bs-2130R) at 1:400 overnight at 4°C, followed by operating according to SP Kit(Rabbit) (sp-0023) instructionsand DAB staining. ![]() Blank control (blue line): Mouse brain (fixed with 2% paraformaldehyde for 10 min at room temperature, and then stained with Primary Antibody for 30 min at room temperature). Primary Antibody (green line): Rabbit Anti-Ki-67 antibody (bs-2130R),Dilution: 1μg /10^6 cells. Isotype Control Antibody (orange line): Rabbit IgG . Secondary Antibody (white blue line): Goat anti-rabbit IgG-FITC, Dilution: 1μg /test. |
风险提示:丁香通仅作为第三方平台,为商家信息发布提供平台空间。用户咨询产品时请注意保护个人信息及财产安全,合理判断,谨慎选购商品,商家和用户对交易行为负责。对于医疗器械类产品,请先查证核实企业经营资质和医疗器械产品注册证情况。
文献和实验baibai17 今天开题,导师问了个问题:ki67为什么叫ki67?当场傻住······恳请各位老师指教!谢谢。 keavin521 The Ki-67 protein was originally defined by the prototype monoclonal antibody Ki-67 (Gerdes et al., 1983),which was generated by immunizing mice
Flow Cytometric Detection of Proliferation-Associated Antigens, PCNA and Ki-67
The rapid evolution of monoclonal antibody (MAb) technology has resulted in an ever-growing repertoire of proteins becoming accessible for study using immunohistochemical techniques. Nuclear antigens represent a class of proteins
Immunohistochemistry of p53, Bcl-2, and Ki-67 as Predictors of Chemosensitivity
Chemosensitivity is affected by molecular biological factors, including factors related to the induction of apoptosis and the activity of proliferation. We analyzed immunohistochemically the expression of p53, Bcl-2, and Ki-67 in various
技术资料暂无技术资料 索取技术资料















