相关产品推荐更多 >
万千商家帮你免费找货
0 人在求购买到急需产品
- 详细信息
- 文献和实验
- 技术资料
- 供应商:
上海联迈生物工程有限公司
- 库存:
大量
- 目录编号:
LM-20546R
- 克隆性:
多克隆
- 抗原来源:
Rabbit
- 保质期:
1年
- 抗体英文名:
LRCH1
- 抗体名:
富含亮氨酸重复家庭蛋白1抗体
- 宿主:
Rabbit
- 适应物种:
Human, Mouse, Rat,
- 免疫原:
KLH conjugated synthetic peptide derived from human LRCH1:501-600/728
- 亚型:
IgG
- 形态:
Lyophilized or Liquid
- 应用范围:
ELISA=1:500-1000 IHC-P=1:400-800 IHC-F=1:400-800 ICC=1:100-500 IF=1:100-500 (石蜡切片需做抗原修复)
- 浓度:
1mg/ml
- 保存条件:
Store at -20 °C
- 规格:
100ul 200ul
| 英文名称 | LRCH1 |
| 中文名称 | 富含亮氨酸重复家庭蛋白1抗体 |
| 别 名 | Calponin homology domain-containing protein 1; CHDC1; KIAA1016; Leucine-rich repeat and calponin homology domain-containing protein 1 antibody Lrch1; LRCH1_HUMAN; Neuronal protein 81; NP81. |
| 规格价格 | 100ul/1380元 购买 200ul/2200元 购买 大包装/询价 |
| 说 明 书 | 100ul 200ul |
| 研究领域 | 细胞生物 神经生物学 |
| 抗体来源 | Rabbit |
| 克隆类型 | Polyclonal |
| 交叉反应 | Human, Mouse, Rat, |
| 产品应用 | ELISA=1:500-1000 IHC-P=1:400-800 IHC-F=1:400-800 ICC=1:100-500 IF=1:100-500 (石蜡切片需做抗原修复) not yet tested in other applications. optimal dilutions/concentrations should be determined by the end user. |
| 分 子 量 | 81kDa |
| 细胞定位 | 细胞核 细胞膜 分泌型蛋白 |
| 性 状 | Lyophilized or Liquid |
| 浓 度 | 1mg/ml |
| 免 疫 原 | KLH conjugated synthetic peptide derived from human LRCH1:501-600/728 |
| 亚 型 | IgG |
| 纯化方法 | affinity purified by Protein A |
| 储 存 液 | Preservative: 15mM Sodium Azide, Constituents: 1% BSA, 0.01M PBS, pH 7.4 |
| 保存条件 | Store at -20 °C for one year. Avoid repeated freeze/thaw cycles. The lyophilized antibody is stable at room temperature for at least one month and for greater than a year when kept at -20°C. When reconstituted in sterile pH 7.4 0.01M PBS or diluent of antibody the antibody is stable for at least two weeks at 2-4 °C. |
| PubMed | PubMed |
| 产品介绍 | background: Members of the leucine-rich repeat family include LRCH1, LRCH2, LRCH3 and LRCH4. All family members contain one calponin-homology domain and nine leucine-rich repeats. The gene encoding LRCH1, also known as Neuronal protein 81 (NP81), has been suggested to be a possible gene locus for susceptibility to osetoarthritis, especially in women, though studies have shown conflicting results. LRCH1 is a 728 amino acid protein that is expressed at highest levels in cerebellum, with lower levels of expression in spinal cord, ovary, kidney and amygdala. In pigs, the gene encoding LRCH1 is one of 22 genes that is associated with leg and body conformation traits that affect productivity and health. There are two isoforms of LRCH1 that are expressed as a result of alternative splicing events. Similarity: Contains 1 CH (calponin-homology) domain. Contains 9 LRR (leucine-rich) repeats. SWISS: Q9Y2L9 Gene ID: 23143 Database links: Entrez Gene: 23143 Human Omim: 610368 Human SwissProt: Q9Y2L9 Human Unigene: 507971 Human
Important Note: This product as supplied is intended for research use only, not for use in human, therapeutic or diagnostic applications. |
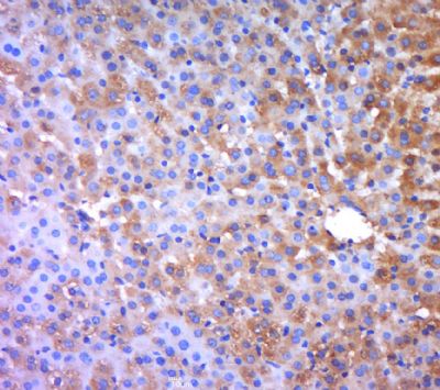
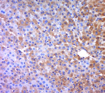
| 产品图片 | ![]() Paraformaldehyde-fixed, paraffin embedded (rat liver tissue); Antigen retrieval by boiling in sodium citrate buffer (pH6.0) for 15min; Block endogenous peroxidase by 3% hydrogen peroxide for 20 minutes; Blocking buffer (normal goat serum) at 37°C for 30min; Antibody incubation with (LRCH1) Polyclonal Antibody, Unconjugated (bs-20546R) at 1:400 overnight at 4°C, followed by a conjugated secondary (sp-0023) for 20 minutes and DAB staining. |
风险提示:丁香通仅作为第三方平台,为商家信息发布提供平台空间。用户咨询产品时请注意保护个人信息及财产安全,合理判断,谨慎选购商品,商家和用户对交易行为负责。对于医疗器械类产品,请先查证核实企业经营资质和医疗器械产品注册证情况。
文献和实验Nature:清华柴继杰 / 南农王源超团队首次揭示植物免疫受体蛋白的双功能抗病机制
在与病原菌的长期斗争中,植物进化出精细、复杂的多层免疫系统保护自身免受侵害。定位于细胞膜表面的植物模式识别受体(Pattern Recognition Receptors,PRRs)作为监控病原菌侵害的「前哨」,通过识别病原菌的病原相关分子模式,激活对多种病原菌的广谱抗性。 PRR 主要是由受体激酶(Receptor Kinases, RKs)和受体蛋白(Receptor-Like Proteins, RLPs)组成。其中重要的一类 PRR 胞外配体识别结构域由富含亮氨酸的重复基序(LRR
的微管结合能力受损。P301L (PL) 是另一种突变型,在 Tau 密码子 301 位置的脯氨酸突变成为亮氨酸,这种突变与额颞叶痴呆相关。下图是这几种蛋白随时间的变化情况,硫黄素 T 是一种荧光染料,和富含 Beta 折叠的结构结合,用来标记 Tau 聚集体的量变情况。硫黄素 T 是一种荧光染料,可以绑定富含 beta 折叠的结构,例如 tau 纤维原。绑定之后,硫黄素T光谱会发生红移,荧光强度会增强。硫黄素 T 荧光曲线显示活性 tau 单体(SPR-327)荧光强度增加(相关于 tau 聚集
Toll 样受体结构和分布特点: TLR为I型跨膜糖蛋白,胞外结构域由19―25个前后相连的片段所组成,各片段包括24~29个氨基酸残基,带有x-L-x-x-L-x-L-x-x基序(L为亮氨酸,x为任意氨基酸),称为富含亮氨酸的重复体(1eucine-richrepeat,LRR),简称亮氨酸重复序列。整个胞外结构域弯曲成马鞍状,其中的LRR部分构成配体结合区。TLR跨膜分子胞内段为TlR结构域(TIR:Toll/IL-1 receptor),为所有TLR及IL-1R分子胞内段
技术资料暂无技术资料 索取技术资料











