相关产品推荐更多 >
万千商家帮你免费找货
0 人在求购买到急需产品
- 详细信息
- 文献和实验
- 技术资料
- 供应商:
上海联迈生物工程有限公司
- 库存:
大量
- 目录编号:
LM-4511R
- 克隆性:
多克隆
- 抗原来源:
Rabbit
- 保质期:
1年
- 抗体英文名:
Beta tubulin
- 抗体名:
微管蛋白β tubulin/Tubulin β抗体
- 宿主:
Rabbit
- 适应物种:
Human, Mouse, Rat, Rabbit,
- 免疫原:
KLH conjugated synthetic peptide derived from human tubulin Beta:61-160/444
- 亚型:
IgG
- 形态:
Lyophilized or Liquid
- 应用范围:
WB=1:2000-10000 ELISA=1:500-1000 IHC-P=1:400-800 IHC-F=1:400-800 IF=1:100-500 (石蜡切片需做抗原修复)
- 浓度:
1mg/ml
- 保存条件:
Store at -20 °C
- 规格:
50ul 100ul 200ul
| 英文名称 | Beta tubulin |
| 中文名称 | 微管蛋白β tubulin/Tubulin β抗体 |
| 别 名 | Beta 4 tubulin; Tubulin-beta; Tubulin beta; Beta 5 tubulin; BetaTubulin; Beta-Tubulin; dJ40E16.7; TUBB; TUBB2; TUBB2A; TUBB5; tubulin beta 2A; Tubulin beta chain; Tubulin beta-5 chain; TUBB4A; TUBB4; Tubulin 5 beta; Tubulin beta-4 chain; TBB4A_HUMAN; Tubulin beta-4A chain. |
![]() |
Specific References (4) | bs-4511R has been referenced in 4 publications. [IF=2.11] Yan, Lijie, et al. "Regulator of calcineurin 1-1L protects cardiomyocytes against hypoxia-induced apoptosis via mitophagy." Journal of cardiovascular pharmacology 64.4 (2014): 310-317. WB ; Human. PubMed:24887685 [IF=2.70] Peng, Wang, et al. "Attenuation of specific CTL responses by highly efficient transduction of the recombinant adenovirus expressing His-tag-ICP47 fusion gene." Life Science Journal 10.1 (2013). WB ; Human. PubMed:N/A [IF=0.00] 朱镕鑫, et al. "Ghrelin 信号通路在有氧运动对高胆固醇血症小鼠心肌损伤保护中的作用." WB ; Mouse. PubMed:0 [IF=1.72] Li, Xinxin, et al. "Follistatin could promote the proliferation of duck primary myoblasts by activating PI3K/Akt/mTOR signaling." Bioscience Reports (2014). WB ; PubMed:25200144 |
| 规格价格 | 50ul/580元 购买 100ul/920元 购买 200ul/1600元 购买 大包装/询价 |
| 说 明 书 | 50ul 100ul 200ul |
| 产品类型 | 内参抗体 |
| 研究领域 | 免疫学 神经生物学 细胞骨架 |
| 抗体来源 | Rabbit |
| 克隆类型 | Polyclonal |
| 交叉反应 | Human, Mouse, Rat, Rabbit, |
| 产品应用 | WB=1:2000-10000 ELISA=1:500-1000 IHC-P=1:400-800 IHC-F=1:400-800 IF=1:100-500 (石蜡切片需做抗原修复) not yet tested in other applications. optimal dilutions/concentrations should be determined by the end user. |
| 分 子 量 | 55kDa |
| 细胞定位 | 细胞浆 |
| 性 状 | Lyophilized or Liquid |
| 浓 度 | 1mg/ml |
| 免 疫 原 | KLH conjugated synthetic peptide derived from human tubulin Beta:61-160/444 |
| 亚 型 | IgG |
| 纯化方法 | affinity purified by Protein A |
| 储 存 液 | 0.01M TBS(pH7.4) with 1% BSA, 0.03% Proclin300 and 50% Glycerol. |
| 保存条件 | Store at -20 °C for one year. Avoid repeated freeze/thaw cycles. The lyophilized antibody is stable at room temperature for at least one month and for greater than a year when kept at -20°C. When reconstituted in sterile pH 7.4 0.01M PBS or diluent of antibody the antibody is stable for at least two weeks at 2-4 °C. |
| PubMed | PubMed |
| 产品介绍 | background: Microtubules are constituent parts of the mitotic apparatus, cilia, flagella, and elements of the cytoskeleton. They consist principally of 2 soluble proteins, alpha- and beta-tubulin, each of about 55,000 kDa. Antibodies against beta Tubulin are useful as loading controls for Western Blotting. However it should be noted that levels of beta Tubulin may not be stable in certain cells. For example, expression of tubulin in adipose tissue is very low (Spiegelman and Farmer, Cell, 1982, 29(1):53-60) and therefore beta Tubulin should not be used as loading control for these tissues. Function: Tubulin is the major constituent of microtubules. It binds two moles of GTP, one at an exchangeable site on the beta chain and one at a non-exchangeable site on the alpha chain. Subunit: Dimer of alpha and beta chains. May interact with RNABP10 (By similarity). Interacts with PIFO. Interacts with MX1 (By similarity). Subcellular Location: Cytoplasm, cytoskeleton. Tissue Specificity: Ubiquitously expressed with highest levels in spleen, thymus and immature brain. Post-translational modifications: Some glutamate residues at the C-terminus are polyglutamylated. This modification occurs exclusively on glutamate residues and results in polyglutamate chains on the gamma-carboxyl group. Also monoglycylated but not polyglycylated due to the absence of functional TTLL10 in human. Monoglycylation is mainly limited to tubulin incorporated into axonemes (cilia and flagella) whereas glutamylation is prevalent in neuronal cells, centrioles, axonemes, and the mitotic spindle. Both modifications can coexist on the same protein on adjacent residues, and lowering glycylation levels increases polyglutamylation, and reciprocally. The precise function of such modifications is still unclear but they regulate the assembly and dynamics of axonemal microtubules (Probable). Similarity: Belongs to the tubulin family. SWISS: P07437 Gene ID: 203068 Database links: Entrez Gene: 203068 Human Omim: 191130 Human SwissProt: P07437 Human SwissProt: P99024 Mouse SwissProt: P69897 Rat
Important Note: This product as supplied is intended for research use only, not for use in human, therapeutic or diagnostic applications. 结构蛋白(Structural Proteins) tubulin是一种大量存在于哺乳动物脑组织中的微管亚基蛋白,在结构上是由两个极为相近的α和β亚基组成的二聚体、多聚体形成微管细丝,是微管的主要成分。 微管蛋白是球形分子, 有两种类型:α微管蛋白(α-tubulin)货号:bs-0195R和β微管蛋白(β-tubulin), 这两种微管蛋白具有相似的三维结构, 能够紧密地结合成二聚体, 作为微管组装的亚基。 α亚基由450个氨基酸组成, β亚基是由455个氨基酸组成, 这两种亚基有35~40%的氨基酸序列同源, 表明编码它们的基因可能是由同一原始祖先演变而来. |
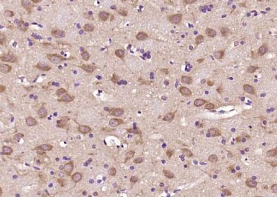
| 产品图片 | ![]() Sample: Cerebrum (Rat) Lysate at 40 ug Cerebrum (Mouse) Lysate at 40 ug Primary: Anti- Beta tubulin (bs-4511R) at 1/300 dilution Secondary: IRDye800CW Goat Anti-Rabbit IgG at 1/20000 dilution Predicted band size: 55 kD Observed band size: 55 kD ![]() Sample: Brain (mouse) Lysate at 40 ug Heart (mouse) Lysate at 40 ug Primary: Anti- beta tubulin(bs-4511R)at 1/300 dilution Secondary: IRDye800CW Goat Anti-Rabbit IgG at 1/20000 dilution Predicted band size: 55 kD Observed band size: 55 kD ![]() Sample: Cerebrum (Mouse)Cell Lysate at 40 ug Primary: Anti-Beta tubulin (bs-4511R) at 1/300 dilution Secondary: IRDye800CW Goat Anti-Rabbit IgG at 1/20000 dilution Predicted band size: 55 kD Observed band size: 55kD ![]() Sample: Spleen (Mouse) Lysate at 40 ug Primary: Anti- Beta tubulin (bs-4511R) at 1/300 dilution Secondary: IRDye800CW Goat Anti-Rabbit IgG at 1/20000 dilution Predicted band size: 55 kD Observed band size: 55 kD ![]() Sample: Heart (Mouse) Lysate at 40 ug MCF-7 Cell (Human) Lysate at 40 ug Primary: Anti-Beta tubulin (bs-4511R) at 1/300 dilution Secondary: HRP conjugated Goat-Anti-rabbit IgG (bs-0295G-HRP) at 1/5000 dilution Predicted band size: 55 kD Observed band size: 55 kD ![]() Sample: Brain (Rat) Lysate at 40 ug Heart (Rat) Lysate at 40 ug Primary: Anti-Beta tubulin (bs-4511R) at 1/300 dilution Secondary: HRP conjugated Goat-Anti-rabbit IgG (bs-0295G-HRP) at 1/5000 dilution Predicted band size: 55 kD Observed band size: 50 kD ![]() Paraformaldehyde-fixed, paraffin embedded (Mouse brain); Antigen retrieval by boiling in sodium citrate buffer (pH6.0) for 15min; Block endogenous peroxidase by 3% hydrogen peroxide for 20 minutes; Blocking buffer (normal goat serum) at 37°C for 30min; Antibody incubation with (Beta tubulin ) Polyclonal Antibody, Unconjugated (bs-4511R) at 1:400 overnight at 4°C, followed by operating according to SP Kit(Rabbit) (sp-0023) instructionsand DAB staining. ![]() Tissue/cell: rat brain tissue; 4% Paraformaldehyde-fixed and paraffin-embedded; Antigen retrieval: citrate buffer ( 0.01M, pH 6.0 ), Boiling bathing for 15min; Block endogenous peroxidase by 3% Hydrogen peroxide for 30min; Blocking buffer (normal goat serum,C-0005) at 37℃ for 20 min; Incubation: Anti-Tubulin beta Polyclonal Antibody, Unconjugated(bs-4511R) 1:200, overnight at 4°C, followed by conjugation to the secondary antibody(SP-0023) and DAB(C-0010) staining |
风险提示:丁香通仅作为第三方平台,为商家信息发布提供平台空间。用户咨询产品时请注意保护个人信息及财产安全,合理判断,谨慎选购商品,商家和用户对交易行为负责。对于医疗器械类产品,请先查证核实企业经营资质和医疗器械产品注册证情况。
文献和实验细胞内构成微管的蛋白质,分子量约为 5.5万,通常按二聚体( 6S)分离出来。是每一个微管蛋白分子与一个鸟嘌呤核苷酸分子结合在一起。微管蛋白能与秋水仙碱或长春花碱结合。在无钙状态下,加入中性盐和 GTP或 ATP,微管蛋白就会聚合形成微管。微管蛋白最初是从原生动物的纤毛中分离出来的,但后来也从海胆精子鞭毛、脑组织和鸡胚细胞等分离出来。微管蛋白由 L. R. Gibbons于 1963年最先提取出来的,由毛利秀雄于 1968年命名的。
组成微管的蛋白质称为微管蛋白。微管蛋白是球形分子, 有两种类型:α微管蛋白(α-tubulin)和β微管蛋白(β-tubulin), 这两种微管蛋白具有相似的三维结构, 能够紧密地结合成二聚体, 作为微管组装的亚基。α亚基由450个氨基酸组成, β亚基是由455个氨基酸组成, 它们的分子量约55kDa。这两种亚基有35~40%的氨基酸序列同源, 表明编码它们的基因可能是由同一原始祖先演变而来。另外, 这两种微管蛋白与细菌中一种叫作FysZ的GTPase(分子量为40kDa)同源, 这种酶
γ微管蛋白是存于中心体的另一种微管蛋白, γ微管蛋白对微管的形成具有重要作用。通过遗传学的研究,发现γ-微管蛋白通过与β-微管蛋白的相互作用帮助微管的成核反应(nucleation)。即在微管的组装中γ微管蛋白先形成一个圆或形成钩环结构, γ微管蛋白的这种结构可指导微管蛋白二聚体结合上去并进行微管的组装。 细胞中的γ微管蛋白大约有80%是一种25S复合体的一部分, 这种复合体被称为γ微管蛋白环状复合体(γ-tubulin ring complex, γ-TuRC), 因为在电子
技术资料暂无技术资料 索取技术资料



















