相关产品推荐更多 >
万千商家帮你免费找货
0 人在求购买到急需产品
- 详细信息
- 文献和实验
- 技术资料
- 供应商:
上海联迈生物工程有限公司
- 库存:
大量
- 目录编号:
LM-19791R
- 克隆性:
多克隆
- 抗原来源:
Rabbit
- 保质期:
1年
- 抗体英文名:
Histone binding protein/SLBP
- 抗体名:
组蛋白结合蛋白SLBP抗体
- 宿主:
Rabbit
- 适应物种:
Human, Mouse, Rat, Chicken, Dog, Pig, Cow, Horse, Zebrafish, Firefly,
- 免疫原:
KLH conjugated synthetic peptide derived from human Histone binding protein/SLBP:121-220/270
- 亚型:
IgG
- 形态:
Lyophilized or Liquid
- 应用范围:
ELISA=1:500-1000 IHC-P=1:400-800 IHC-F=1:400-800 ICC=1:100-500 IF=1:100-500 (石蜡切片需做抗原修复)
- 浓度:
1mg/ml
- 保存条件:
Store at -20 °C
- 规格:
100ul 200ul
| 英文名称 | Histone binding protein/SLBP |
| 中文名称 | 组蛋白结合蛋白SLBP抗体 |
| 别 名 | Hairpin binding protein histone; HBP; Histone binding protein; Histone RNA hairpin binding protein; Histone RNA hairpin-binding protein; Histone stem-loop-binding protein; SLBP; SLBP_HUMAN; Stem loop (histone) binding protein; stem loop binding protein. |
| 规格价格 | 100ul/1380元 购买 200ul/2200元 购买 大包装/询价 |
| 说 明 书 | 100ul 200ul |
| 研究领域 | 细胞生物 细胞周期蛋白 结合蛋白 表观遗传学 |
| 抗体来源 | Rabbit |
| 克隆类型 | Polyclonal |
| 交叉反应 | Human, Mouse, Rat, Chicken, Dog, Pig, Cow, Horse, Zebrafish, Firefly, |
| 产品应用 | ELISA=1:500-1000 IHC-P=1:400-800 IHC-F=1:400-800 ICC=1:100-500 IF=1:100-500 (石蜡切片需做抗原修复) not yet tested in other applications. optimal dilutions/concentrations should be determined by the end user. |
| 分 子 量 | 30kDa |
| 细胞定位 | 细胞核 细胞浆 |
| 性 状 | Lyophilized or Liquid |
| 浓 度 | 1mg/ml |
| 免 疫 原 | KLH conjugated synthetic peptide derived from human Histone binding protein/SLBP:121-220/270 |
| 亚 型 | IgG |
| 纯化方法 | affinity purified by Protein A |
| 储 存 液 | 0.01M TBS(pH7.4) with 1% BSA, 0.03% Proclin300 and 50% Glycerol. |
| 保存条件 | Store at -20 °C for one year. Avoid repeated freeze/thaw cycles. The lyophilized antibody is stable at room temperature for at least one month and for greater than a year when kept at -20°C. When reconstituted in sterile pH 7.4 0.01M PBS or diluent of antibody the antibody is stable for at least two weeks at 2-4 °C. |
| PubMed | PubMed |
| 产品介绍 | background: This gene encodes a protein that binds to the stem-loop structure in replication-dependent histone mRNAs. Histone mRNAs do not contain introns or polyadenylation signals, and are processed by endonucleolytic cleavage. The stem-loop structure is essential for efficient processing but this structure also controls the transport, translation and stability of histone mRNAs. Expression of the protein is regulated during the cell cycle, increasing more than 10-fold during the latter part of G1. [provided by RefSeq, Jul 2008] Function: RNA-binding protein involved in the histone pre-mRNA processing. Binds the stem-loop structure of replication-dependent histone pre-mRNAs and contributes to efficient 3'-end processing by stabilizing the complex between histone pre-mRNA and U7 small nuclear ribonucleoprotein (snRNP), via the histone downstream element (HDE). Plays an important role in targeting mature histone mRNA from the nucleus to the cytoplasm and to the translation machinery. Stabilizes mature histone mRNA and could be involved in cell-cycle regulation of histone gene expression. Involved in the mechanism by which growing oocytes accumulate histone proteins that support early embryogenesis. Binds to the 5' side of the stem-loop structure of histone pre-mRNAs. Subcellular Location: Cytoplasm. Nucleus. Polyribosome-associated. Localizes predominantly in the nucleus at the G1/G2 phases and the beginning of S phase. Through the S phase, partially redistributes to the cytoplasm. Binding to histone mRNA is necessary for cytoplasmic localization. Shuttles between the nucleus and the cytoplasm. Imported in the nucleus by the Importin alpha/Importin beta receptor. Tissue Specificity: Widely expressed. Post-translational modifications: Phosphorylated on Thr-61 and Thr-62 in the S-phase. Phosphorylation of Thr-62 by CDK1 primes phosphorylation of Thr-61 by CK2. Phosphorylation of Thr-62 is required for its degradation by the proteasome at the end of the S phase. Its degradation is not required for histone mRNA degradation at the end of the S phase. All the phosphorylated forms detected are present in the cytoplasm. Both unphosphorylated and phosphorylated forms bind the stem-loop structure of histone mRNAs. DISEASE: Regulated during the cell cycle: protein levels increase 10 to 20 fold in the late G1 and decrease at the S/G2 border. Similarity: Belongs to the SLBP family. SWISS: Q14493 Gene ID: 7884 Database links: Entrez Gene: 422902 Chicken Entrez Gene: 444868 Cow Entrez Gene: 43448 Fruit fly (Drosophila melanogaster) Entrez Gene: 7884 Human Entrez Gene: 20492 Mouse Entrez Gene: 681062 Rat Entrez Gene: 407727 Zebrafish Omim: 602422 Human SwissProt: Q9VAN6 Fruit fly (Drosophila melanogaster) SwissProt: Q14493 Human SwissProt: P97440 Mouse Unigene: 4801 Fruit fly (Drosophila melanogaster) Unigene: 298345 Human Unigene: 4172 Mouse Unigene: 198386 Rat Important Note: This product as supplied is intended for research use only, not for use in human, therapeutic or diagnostic applications. |
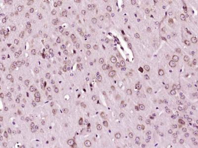
| 产品图片 | ![]() Paraformaldehyde-fixed, paraffin embedded (Mouse brain); Antigen retrieval by boiling in sodium citrate buffer (pH6.0) for 15min; Block endogenous peroxidase by 3% hydrogen peroxide for 20 minutes; Blocking buffer (normal goat serum) at 37°C for 30min; Antibody incubation with (SLBP) Polyclonal Antibody, Unconjugated (bs-19791R) at 1:400 overnight at 4°C, followed by operating according to SP Kit(Rabbit) (sp-0023) instructionsand DAB staining. |
风险提示:丁香通仅作为第三方平台,为商家信息发布提供平台空间。用户咨询产品时请注意保护个人信息及财产安全,合理判断,谨慎选购商品,商家和用户对交易行为负责。对于医疗器械类产品,请先查证核实企业经营资质和医疗器械产品注册证情况。
文献和实验Analysis of Linker Histone Binding to Mono- and Dinucleosomes
The assembly of DNA into the eukaryotic nucleus via an ascending hierarchy of intermediate chromatin structures has two major functional consequences: 1. The intermediate chromatin
Easy detection of chromatin binding proteins by the histone association assay
The Histone Association Assay provides an easy approach for detecting proteins that bind chromatin in vivo. This technique is based on a chromatin immunoprecipitation protocol using histone H3-specific antibodies to precipitate bulk chromatin
of an increasing number of epigenetically regulated processes was greatly advanced by genome-wide histone modification and chromatin-protein interaction surveys. However, genome-wide approaches are too global to access in detail a large number of histone
技术资料暂无技术资料 索取技术资料











