相关产品推荐更多 >
万千商家帮你免费找货
0 人在求购买到急需产品
- 详细信息
- 询价记录
- 文献和实验
- 技术资料
- 供应商:
上海联迈生物工程有限公司
- 库存:
大量
- 目录编号:
LM-3665R
- 克隆性:
多克隆
- 抗原来源:
Rabbit
- 保质期:
1年
- 抗体英文名:
Caspase-7 p20
- 抗体名:
半胱胺酸蛋白酶蛋白-7抗体
- 宿主:
Rabbit
- 适应物种:
Human, Mouse, Rat, Pig, Cow, Rabbit,
- 免疫原:
KLH conjugated synthetic peptide derived from human caspase-7 isoform alpha subunit p20:101-200/303
- 亚型:
IgG
- 形态:
Lyophilized or Liquid
- 应用范围:
WB=1:500-2000 ELISA=1:500-1000 IHC-P=1:400-800 IHC-F=1:400-800 IF=1:100-500 (石蜡切片需做抗原修复)
- 浓度:
1mg/ml
- 保存条件:
Store at -20 °C
- 规格:
100ul 200ul
| 英文名称 | Caspase-7 p20 |
| 中文名称 | 半胱胺酸蛋白酶蛋白-7抗体 |
| 别 名 | caspase-7 isoform alpha subunit p20; Apoptosis related cysteine peptidase; Apoptosis Related Cysteine Protease; Apoptotic Protease MCH3; CASP 7; CASP7; Caspase7; Caspase 7; CMH 1; CMH1; ICE LAP3; ICE like Apoptotic Protease 3; MCH3; CASP7_HUMAN. |
| 规格价格 | 100ul/1380元 购买 200ul/2200元 购买 大包装/询价 |
| 说 明 书 | 100ul 200ul |
| 研究领域 | 肿瘤 免疫学 信号转导 细胞凋亡 转录调节因子 |
| 抗体来源 | Rabbit |
| 克隆类型 | Polyclonal |
| 交叉反应 | Human, Mouse, Rat, Pig, Cow, Rabbit, |
| 产品应用 | WB=1:500-2000 ELISA=1:500-1000 IHC-P=1:400-800 IHC-F=1:400-800 IF=1:100-500 (石蜡切片需做抗原修复) not yet tested in other applications. optimal dilutions/concentrations should be determined by the end user. |
| 分 子 量 | 20/33kDa |
| 细胞定位 | 细胞核 细胞浆 |
| 性 状 | Lyophilized or Liquid |
| 浓 度 | 1mg/ml |
| 免 疫 原 | KLH conjugated synthetic peptide derived from human caspase-7 isoform alpha subunit p20:101-200/303 |
| 亚 型 | IgG |
| 纯化方法 | affinity purified by Protein A |
| 储 存 液 | 0.01M TBS(pH7.4) with 1% BSA, 0.03% Proclin300 and 50% Glycerol. |
| 保存条件 | Store at -20 °C for one year. Avoid repeated freeze/thaw cycles. The lyophilized antibody is stable at room temperature for at least one month and for greater than a year when kept at -20°C. When reconstituted in sterile pH 7.4 0.01M PBS or diluent of antibody the antibody is stable for at least two weeks at 2-4 °C. |
| PubMed | PubMed |
| 产品介绍 | background: This gene encodes a protein which is a member of the cysteine-aspartic acid protease (caspase) family. Sequential activation of caspases plays a central role in the execution-phase of cell apoptosis. Caspases exist as inactive proenzymes which undergo proteolytic processing at conserved aspartic residues to produce two subunits, large and small, that dimerize to form the active enzyme. The precursor of this caspase is cleaved by caspase3 and 10. It is activated upon cell death stimuli and induces apoptosis. Alternative splicing results in four transcript variants, encoding three distinct isoforms. [provided by RefSeq]. Function: Involved in the activation cascade of caspases responsible for apoptosis execution. Cleaves and activates sterol regulatory element binding proteins (SREBPs). Proteolytically cleaves poly(ADP-ribose) polymerase (PARP) at a '216-Asp-|-Gly-217' bond. Overexpression promotes programmed cell death. Subunit: Heterotetramer that consists of two anti-parallel arranged heterodimers, each one formed by a 20 kDa (p20) and a 11 kDa (p11) subunit. Interacts with BIRC6/bruce. Subcellular Location: Cytoplasm. Tissue Specificity: Highly expressed in lung, skeletal muscle, liver, kidney, spleen and heart, and moderately in testis. No expression in the brain. Post-translational modifications: Propeptide domains can also be cleaved efficiently by caspase-3. Active heterodimers between the small subunit of caspase-7 and the large subunit of caspase-3, and vice versa, also occur. Similarity: Belongs to the peptidase C14A family. SWISS: P55210 Gene ID: 840 Database links: Entrez Gene: 486896 Dog Entrez Gene: 840 Human Entrez Gene: 697633 Monkey Entrez Gene: 12369 Mouse Entrez Gene: 100156777 Pig Entrez Gene: 64026 Rat Omim: 601761 Human SwissProt: P55214 Hamster SwissProt: P55210 Human SwissProt: P97864 Mouse Unigene: 9216 Human Unigene: 35687 Mouse Unigene: 53995 Rat Important Note: This product as supplied is intended for research use only, not for use in human, therapeutic or diagnostic applications. |
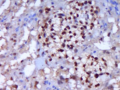
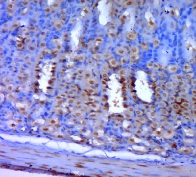
| 产品图片 | ![]() Sample: A549 Cell (Human) Lysate at 30 ug Primary: Anti- Caspase-7 (bs-3665R) at 1/300 dilution Secondary: IRDye800CW Goat Anti-Rabbit IgG at 1/20000 dilution Predicted band size: 30 kD Observed band size: 40 kD ![]() Paraformaldehyde-fixed, paraffin embedded (Mouse placenta); Antigen retrieval by boiling in sodium citrate buffer (pH6.0) for 15min; Block endogenous peroxidase by 3% hydrogen peroxide for 20 minutes; Blocking buffer (normal goat serum) at 37°C for 30min; Antibody incubation with (Caspase-7) Polyclonal Antibody, Unconjugated (bs-3665R) at 1:400 overnight at 4°C, followed by operating according to SP Kit(Rabbit) (sp-0023) instructionsand DAB staining. ![]() Paraformaldehyde-fixed, paraffin embedded (mouse stomach tissue); Antigen retrieval by boiling in sodium citrate buffer (pH6.0) for 15min; Block endogenous peroxidase by 3% hydrogen peroxide for 20 minutes; Blocking buffer (normal goat serum) at 37°C for 30min; Antibody incubation with (Caspase-7) Polyclonal Antibody, Unconjugated (bs-3665R) at 1:400 overnight at 4°C, followed by a conjugated secondary (sp-0023) for 20 minutes and DAB staining. |
风险提示:丁香通仅作为第三方平台,为商家信息发布提供平台空间。用户咨询产品时请注意保护个人信息及财产安全,合理判断,谨慎选购商品,商家和用户对交易行为负责。对于医疗器械类产品,请先查证核实企业经营资质和医疗器械产品注册证情况。
- 作者
- 内容
- 询问日期
文献和实验天冬氨酸特异性半胱氨酸蛋白酶(cysteine-containing aspartate-specific proteases,c
caspase是一类蛋白 酶家族,成员较多,在人类,已经鉴定了10种不同的caspase。各种caspase都富含半胱氨酸,它们被激活后,能够在靶蛋白 的特异天冬氨酸残基部位进行切割。在正常的细胞内,每一种caspase都是以非活性状态存在的,这种非活性的caspase称作酶原(zymogen),它是酶的非活性前体,其肽链比有活性时长一些,将多出的部分切除,就转变成有活性的caspase。有两类caspase,一类是起始者(initiators),另一类是执行
天冬氨酸特异性半胱氨酸蛋白酶(cysteine-containing aspartate-specific proteases,caspase)
caspase是一类蛋白酶家族,成员较多,在人类,已经鉴定了10种不同的caspase。各种caspase都富含半胱氨酸,它们被激活后,能够在靶蛋白的特异天冬氨酸残基部位进行切割。在正常的细胞内,每一种caspase都是以非活性状态存在的,这种非活性的caspase称作酶原(zymogen),它是酶的非活性前体,其肽链比有活性时长一些,将多出的部分切除,就转变成有活性的caspase。有两类caspase,一类是起始者(initiators),另一类是执行者(executioners
enzyme),是单核细胞合成的一种蛋白酶,可以将34kD的IL-1b 前体(pro-IL-1b )剪切为17kD的成熟IL-1b ,这种剪切对于IL-1b 活性的发挥是必须的。不表达ICE的细胞系转化IL-1b 基因后可以产生pro-IL-1b ,但不能分泌有活性的成熟IL-1b ;ICE特异性抑制剂可以阻断金黄色葡萄球菌刺激引起的IL-1b 的分泌。ICE属于半胱氨酸蛋白酶,活性中心有高活性的巯基,对氧化剂很敏感,但对丝氨酸蛋白酶、金属蛋白酶或天冬氨酸蛋白酶的抑制剂不敏感。
技术资料暂无技术资料 索取技术资料












