相关产品推荐更多 >
万千商家帮你免费找货
0 人在求购买到急需产品
- 详细信息
- 文献和实验
- 技术资料
- 供应商:
上海联迈生物工程有限公司
- 库存:
大量
- 目录编号:
LM-6441R
- 克隆性:
多克隆
- 抗原来源:
Rabbit
- 保质期:
1年
- 抗体英文名:
NPD014
- 抗体名:
1号染色体开放阅读框63抗体
- 宿主:
Rabbit
- 适应物种:
Human, Mouse, Rat,
- 免疫原:
KLH conjugated synthetic peptide derived from human NPD014:4-100/290
- 亚型:
IgG
- 形态:
Lyophilized or Liquid
- 应用范围:
ELISA=1:500-1000 IHC-P=1:400-800 IHC-F=1:400-800 IF=1:50-200 (石蜡切片需做抗原修复)
- 浓度:
1mg/ml
- 保存条件:
Store at -20 °C
- 规格:
100ul 200ul
| 英文名称 | NPD014 |
| 中文名称 | 1号染色体开放阅读框63抗体 |
| 别 名 | C1orf63; Chromosome 1 open reading frame 63; DJ465N24.2.1; Hypothetical protein LOC57035; RP3 465N24.4; UPF0471 protein C1orf63; CA063_HUMAN. |
![]() |
Specific References (1) | bs-6441R has been referenced in 1 publications. [IF=3.36] Hong, Chao-Qun, et al. "Elevated C1orf63 expression is correlated with CDK10 and predicts better outcome for advanced breast cancers: a retrospective study." BMC Cancer 15.1 (2015): 548. IHC-P ; Human. PubMed:26209438 |
| 规格价格 | 100ul/1380元 购买 200ul/2200元 购买 大包装/询价 |
| 说 明 书 | 100ul 200ul |
| 研究领域 | 肿瘤 细胞生物 免疫学 神经生物学 |
| 抗体来源 | Rabbit |
| 克隆类型 | Polyclonal |
| 交叉反应 | Human, Mouse, Rat, |
| 产品应用 | ELISA=1:500-1000 IHC-P=1:400-800 IHC-F=1:400-800 IF=1:50-200 (石蜡切片需做抗原修复) not yet tested in other applications. optimal dilutions/concentrations should be determined by the end user. |
| 分 子 量 | 34kDa |
| 细胞定位 | 细胞核 细胞浆 |
| 性 状 | Lyophilized or Liquid |
| 浓 度 | 1mg/ml |
| 免 疫 原 | KLH conjugated synthetic peptide derived from human NPD014:4-100/290 |
| 亚 型 | IgG |
| 纯化方法 | affinity purified by Protein A |
| 储 存 液 | 0.01M TBS(pH7.4) with 1% BSA, 0.03% Proclin300 and 50% Glycerol. |
| 保存条件 | Store at -20 °C for one year. Avoid repeated freeze/thaw cycles. The lyophilized antibody is stable at room temperature for at least one month and for greater than a year when kept at -20°C. When reconstituted in sterile pH 7.4 0.01M PBS or diluent of antibody the antibody is stable for at least two weeks at 2-4 °C. |
| PubMed | PubMed |
| 产品介绍 | background: Chromosome 1 is the largest human chromosome spanning about 260 million base pairs and making up 8% of the human genome. There are about 3,000 genes on chromosome 1, and considering the great number of genes there are also a large number of diseases associated with chromosome 1. Notably, the rare aging disease Hutchinson-Gilford progeria is associated with the LMNA gene which encodes lamin A. When defective, the LMNA gene product can build up in the nucleus and cause characteristic nuclear blebs. The mechanism of rapidly enhanced aging is unclear and is a topic of continuing exploration. The MUTYH gene is located on chromosome 1 and is partially responsible for familial adenomatous polyposis. Stickler syndrome, Parkinsons, Gaucher disease and Usher syndrome are also associated with chromosome 1. A breakpoint has been identified in 1q which disrupts the DISC1 gene and is linked to schizophrenia. Aberrations in chromosome 1 are found in a variety of cancers including head and neck cancer, malignant melanoma and multiple myeloma. The C1orf63 gene product has been provisionally designated C1orf63 pending further characterization. Similarity: Belongs to the UPF0471 family. SWISS: Q9BUV0 Gene ID: 57035 Database links: Entrez Gene: 57035 Human SwissProt: Q9BUV0 Human Important Note: This product as supplied is intended for research use only, not for use in human, therapeutic or diagnostic applications. |
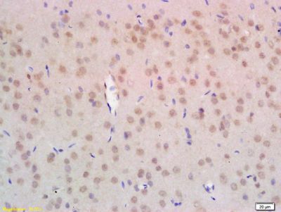
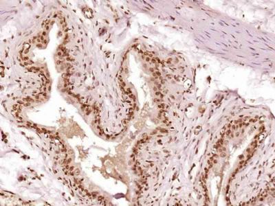
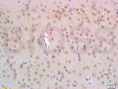
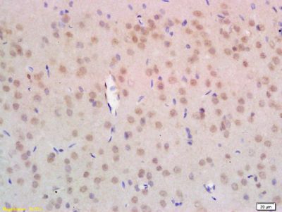
| 产品图片 | ![]() Paraformaldehyde-fixed, paraffin embedded (Rat stomach); Antigen retrieval by boiling in sodium citrate buffer (pH6.0) for 15min; Block endogenous peroxidase by 3% hydrogen peroxide for 20 minutes; Blocking buffer (normal goat serum) at 37°C for 30min; Antibody incubation with (NPD014) Polyclonal Antibody, Unconjugated (bs-6441R) at 1:400 overnight at 4°C, followed by operating according to SP Kit(Rabbit) (sp-0023) instructionsand DAB staining. ![]() Paraformaldehyde-fixed, paraffin embedded (Rat bladder); Antigen retrieval by boiling in sodium citrate buffer (pH6.0) for 15min; Block endogenous peroxidase by 3% hydrogen peroxide for 20 minutes; Blocking buffer (normal goat serum) at 37°C for 30min; Antibody incubation with (NPD014) Polyclonal Antibody, Unconjugated (bs-6441R) at 1:400 overnight at 4°C, followed by operating according to SP Kit(Rabbit) (sp-0023) instructionsand DAB staining. ![]() Tissue/cell: rat brain tissue; 4% Paraformaldehyde-fixed and paraffin-embedded; Antigen retrieval: citrate buffer ( 0.01M, pH 6.0 ), Boiling bathing for 15min; Block endogenous peroxidase by 3% Hydrogen peroxide for 30min; Blocking buffer (normal goat serum,C-0005) at 37℃ for 20 min; Incubation: Anti-NPD014 Polyclonal Antibody, Unconjugated(bs-6441R) 1:200, overnight at 4°C, followed by conjugation to the secondary antibody(SP-0023) and DAB(C-0010) staining ![]() Tissue/cell: rat brain tissue; 4% Paraformaldehyde-fixed and paraffin-embedded; Antigen retrieval: citrate buffer ( 0.01M, pH 6.0 ), Boiling bathing for 15min; Block endogenous peroxidase by 3% Hydrogen peroxide for 30min; Blocking buffer (normal goat serum,C-0005) at 37℃ for 20 min; Incubation: Anti-NPD014 Polyclonal Antibody, Unconjugated(bs-6441R) 1:200, overnight at 4°C, followed by conjugation to the secondary antibody(SP-0023) and DAB(C-0010) staining |
风险提示:丁香通仅作为第三方平台,为商家信息发布提供平台空间。用户咨询产品时请注意保护个人信息及财产安全,合理判断,谨慎选购商品,商家和用户对交易行为负责。对于医疗器械类产品,请先查证核实企业经营资质和医疗器械产品注册证情况。
文献和实验腺相关病毒载体介导的基因转移 腺相关病毒(adeno―associated virus,AAV)是一种单链DNA病毒,属微小病毒科依赖性病毒属。通常情况下,AAV感染细胞后可以原病毒的形式整合到宿主细胞染色体上,随细胞染色体一起复制;当有辅助病毒(如腺病毒、单纯疱疹病毒等)存在时,AAV基因组可被拯救出来,即产生有感染活性的AAV。20世纪80年代,AAV全基因组的克隆为AAV分子生物学研究以及AAV载体构建奠定了基础。迄今腺病毒相关病毒已发现9个血清型,根据其抗体交叉
1. 假设下列是小鼠基因组DNA的一个片段,其中含有开放阅读框(ORF)吗?若有请标出起始和终止密码子位置。一般来说,该ORF是基因 编码序列的可能性大吗? tctcaagaagatgtcgattccattctccaaccatcttagactcttcatgaggaaaaagaggaaaacaagttgaggacacggttttacctccaggac 2. 你设计了一对PCR引物,其中上游引物为22个碱基。公司代为合成后提供的产品是总量为2 OD的冻干物。请回答如何用TE缓冲
DNA 复制 有丝分裂染色体 通过 ChIP 研究组蛋白修饰 ChIP 使用抗体来分离蛋白质或目标修饰,以及它所结合的 DNA(图 5)。然后对 DNA 进行测序,并 将其定位到基因组,以确定蛋白质或修饰的位置和丰度。 图 2:组蛋白修饰 ChIP。抗体直接结合到修饰的组蛋白尾部。免疫沉淀和 DNA 纯化可以分离和鉴定修饰所占据的基 因组区域。 在 ChIP 实验中利用靶向特定组蛋白
技术资料暂无技术资料 索取技术资料















