相关产品推荐更多 >
万千商家帮你免费找货
0 人在求购买到急需产品
- 详细信息
- 文献和实验
- 技术资料
- 供应商:
上海联迈生物工程有限公司
- 库存:
大量
- 目录编号:
LM-19547R
- 克隆性:
多克隆
- 抗原来源:
Rabbit
- 保质期:
1年
- 抗体英文名:
PPP2R2C
- 抗体名:
蛋白磷酸酶2调节亚基2C抗体
- 宿主:
Rabbit
- 适应物种:
Human, Mouse, Rat, Dog, Cow, Rabbit, Sheep,
- 免疫原:
KLH conjugated synthetic peptide derived from human PPP2R2C:1-100/447
- 亚型:
IgG
- 形态:
Lyophilized or Liquid
- 应用范围:
WB=1:500-2000 ELISA=1:500-1000 IHC-P=1:400-800 IHC-F=1:400-800 ICC=1:100-500 IF=1:100-500 (石蜡切片需做抗原修复)
- 浓度:
1mg/ml
- 保存条件:
Store at -20 °C
- 规格:
100ul 200ul
| 英文名称 | PPP2R2C |
| 中文名称 | 蛋白磷酸酶2调节亚基2C抗体 |
| 别 名 | 2ABG_HUMAN; B55 gamma; Gamma isoform of regulatory subunit B55 protein phosphatase 2; IMYPNO 1; IMYPNO; IMYPNO1; MGC33570; OTTHUMP00000115505; Phosphoprotein phosphatase 2A BR gamma regulatory chain; PP2A subunit B B gamma isoform; PP2A subunit B B55 gamma isoform; PP2A subunit B isoform B55-gamma; PP2A subunit B isoform gamma; PP2A subunit B isoform PR55-gamma; PP2A subunit B isoform R2-gamma; PP2A subunit B PR55 gamma isoform; PP2A subunit B R2 gamma isoform; PPP2R2C; PPP2R2C protein; PR 52; PR 55G; PR52; PR55G; Protein phosphatase 2 (formerly 2A) regulatory subunit B gamma isoform; Protein phosphatase 2 regulatory subunit B gamma; Protein phosphatase 2 regulatory subunit B gamma isoform; Protein phosphatase 2A1 B gamma subunit; Serine/threonine protein phosphatase 2A 55 kDa regulatory subunit B gamma isoform; Serine/threonine-protein phosphatase 2A 55 kDa regulatory subunit B gamma isoform. |
| 规格价格 | 100ul/1380元 购买 200ul/2200元 购买 大包装/询价 |
| 说 明 书 | 100ul 200ul |
| 研究领域 | 细胞生物 信号转导 激酶和磷酸酶 |
| 抗体来源 | Rabbit |
| 克隆类型 | Polyclonal |
| 交叉反应 | Human, Mouse, Rat, Dog, Cow, Rabbit, Sheep, |
| 产品应用 | WB=1:500-2000 ELISA=1:500-1000 IHC-P=1:400-800 IHC-F=1:400-800 ICC=1:100-500 IF=1:100-500 (石蜡切片需做抗原修复) not yet tested in other applications. optimal dilutions/concentrations should be determined by the end user. |
| 分 子 量 | 51kDa |
| 细胞定位 | 细胞浆 |
| 性 状 | Lyophilized or Liquid |
| 浓 度 | 1mg/ml |
| 免 疫 原 | KLH conjugated synthetic peptide derived from human PPP2R2C:1-100/447 |
| 亚 型 | IgG |
| 纯化方法 | affinity purified by Protein A |
| 储 存 液 | 0.01M TBS(pH7.4) with 1% BSA, 0.03% Proclin300 and 50% Glycerol. |
| 保存条件 | Store at -20 °C for one year. Avoid repeated freeze/thaw cycles. The lyophilized antibody is stable at room temperature for at least one month and for greater than a year when kept at -20°C. When reconstituted in sterile pH 7.4 0.01M PBS or diluent of antibody the antibody is stable for at least two weeks at 2-4 °C. |
| PubMed | PubMed |
| 产品介绍 | background: The product of this gene belongs to the phosphatase 2 regulatory subunit B family. Protein phosphatase 2 is one of the four major Ser/Thr phosphatases, and it is implicated in the negative control of cell growth and division. It consists of a common heteromeric core enzyme, which is composed of a catalytic subunit and a constant regulatory subunit, that associates with a variety of regulatory subunits. The B regulatory subunit might modulate substrate selectivity and catalytic activity. This gene encodes a gamma isoform of the regulatory subunit B55 subfamily. Alternatively spliced transcript variants encoding different isoforms have been identified. [provided by RefSeq, Jul 2008] Function: The B regulatory subunit might modulate substrate selectivity and catalytic activity, and also might direct the localization of the catalytic enzyme to a particular subcellular compartment. Similarity: Belongs to the phosphatase 2A regulatory subunit B family. Contains 7 WD repeats. SWISS: Q9Y2T4 Gene ID: 5522 Database links: Entrez Gene: 422858 Chicken Entrez Gene: 782110 Cow Entrez Gene: 5522 Human Entrez Gene: 269643 Mouse Entrez Gene: 100521101 Pig Entrez Gene: 117256 Rat Omim: 605997 Human SwissProt: Q9Y2T4 Human SwissProt: Q8BG02 Mouse SwissProt: P50410 Rabbit SwissProt: P97888 Rat Unigene: 479069 Human Unigene: 41694 Mouse Unigene: 54550 Rat Important Note: This product as supplied is intended for research use only, not for use in human, therapeutic or diagnostic applications. |
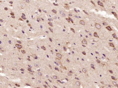
| 产品图片 | ![]() Sample: Cerebrum (Rat) Lysate at 40 ug Cerebrum (Mouse) Lysate at 40 ug Primary: Anti-PPP2R2C (bs-19547R) at 1/300 dilution Secondary: IRDye800CW Goat Anti-Rabbit IgG at 1/20000 dilution Predicted band size: 51 kD Observed band size: 51 kD ![]() Paraformaldehyde-fixed, paraffin embedded (mouse brain tissue); Antigen retrieval by boiling in sodium citrate buffer (pH6.0) for 15min; Block endogenous peroxidase by 3% hydrogen peroxide for 20 minutes; Blocking buffer (normal goat serum) at 37°C for 30min; Antibody incubation with (PPP2R2C) Polyclonal Antibody, Unconjugated (bs-19547R) at 1:400 overnight at 4°C, followed by operating according to SP Kit(Rabbit) (sp-0023) instructionsand DAB staining. ![]() Paraformaldehyde-fixed, paraffin embedded (rat brain tissue); Antigen retrieval by boiling in sodium citrate buffer (pH6.0) for 15min; Block endogenous peroxidase by 3% hydrogen peroxide for 20 minutes; Blocking buffer (normal goat serum) at 37°C for 30min; Antibody incubation with (PPP2R2C) Polyclonal Antibody, Unconjugated (bs-19547R) at 1:400 overnight at 4°C, followed by operating according to SP Kit(Rabbit) (sp-0023) instructionsand DAB staining. |
风险提示:丁香通仅作为第三方平台,为商家信息发布提供平台空间。用户咨询产品时请注意保护个人信息及财产安全,合理判断,谨慎选购商品,商家和用户对交易行为负责。对于医疗器械类产品,请先查证核实企业经营资质和医疗器械产品注册证情况。
文献和实验质组是动态的,随着大量刺激的变化而变化,翻译后修饰常用于调节细胞活性。PTM 发生在不同的氨基酸侧链或肽键上,它们通常由酶活性介导。事实上,据估计,5% 的蛋白质组包含 200 多种类型翻译后修饰的酶。这些酶包括激酶、磷酸酶、转移酶和连接酶,它们在氨基酸侧链上添加或移除功能组、蛋白质、脂质或糖;以及蛋白酶,它们切割肽键以移除特定序列或调节亚基。许多蛋白质也可以利用自催化结构域,如自激酶和自蛋白分解结构域进行自我修饰。翻译后修饰可以发生在蛋白质生命周期的任何阶段。例如,许多蛋白质在翻译完成后不久就被修饰
酶、糜蛋白酶的高活性。不抑制凝血酶或因子XPepstatin 胃蛋白酶抑制剂抑制天冬氨酸(酸)蛋白酶如胃蛋白酶、肾素、组织蛋白酶D、凝乳 酶、许多微生物酸性蛋白酶EDTA-Na2金属蛋白酶抑制剂NaF氟化钠丝氨酸、苏氨酸磷酸酶Na3VO4原矾酸钠酪氨酸磷酸酶电泳凝胶的制备蛋白分子量 (kDa)凝胶浓度 (%)4-402012-451510-7012.515-1001025-2008内参对照内参名称分子量大小适用范围Beta-actin43kDa胞浆和全细胞GAPDH30-40kDa胞浆和全细胞
TUNEL法 细胞凋亡中,染色体DNA双链断裂或单链断裂而产生大量的粘性3'-OH末端,可在脱氧核糖核苷酸末端转移酶(TdT)的作用下,将脱氧核糖核苷酸和荧光 素、过氧化物酶、碱性磷酸酶或生物素形成的衍生物标记到DNA的3'-末端,从而可进行凋亡细胞的检测,这类方法称为脱氧核糖核苷酸末端转移酶介导的缺口末端标记法...查看原文 凋亡相关蛋白TFAR19蛋白的表达和细胞定位分析 TFAR19(PDCD5)是由本研究室在国际上首先报导的一个拥有
技术资料暂无技术资料 索取技术资料










