相关产品推荐更多 >
万千商家帮你免费找货
0 人在求购买到急需产品
- 详细信息
- 技术资料
- 供应商:
上海康朗生物科技有限公司
- 库存:
大量
- 目录编号:
kl-6674R
- 克隆性:
多克隆
- 抗原来源:
Rabbit
- 保质期:
12个月
- 抗体英文名:
KCNK3 antibody
- 抗体名:
酸敏感钾离子通道蛋白3抗体
- 宿主:
Rabbit
- 适应物种:
Human, Mouse, Rat, Chicken, Dog, Cow, Rabbit, Sheep,
- 免疫原:
KLH conjugated synthetic peptide derived from human KCNK3:51-150/394 <Extracellular>
- 亚型:
IgG
- 形态:
冻干粉或液体
- 应用范围:
WB=1:500-2000 ELISA=1:500-1000 IHC-P=1:400-800 IHC-F=1:400-800 IF=1:100-500
- 浓度:
1mg/ml
- 保存条件:
-20 °C
- 规格:
100ul 200ul
KCNK3 antibody
| 中文名称 | 酸敏感钾离子通道蛋白3抗体 |
| 别 名 | cTBAK 1; Acid sensitive potassium channel protein TASK 1; Cardiac two pore background K(+) channel; K2p3.1; OAT1; potassium channel, subfamily K, member 3; rTASK; TASK 1; TBAK1; TWIK related acid sensitive K+ channel; Two pore potassium channel KT3.1; KCNK3; TASK; TASK1; PPH4; TASK; TASK-1; TBAK1; KCNK3_HUMAN. |
| 规格价格 | 100ul/1380元 购买 200ul/2200元 购买 大包装/询价 |
| 说 明 书 | 100ul 200ul |
| 研究领域 | 神经生物学 通道蛋白 细胞膜受体 |
| 抗体来源 | Rabbit |
| 克隆类型 | Polyclonal |
| 交叉反应 | Human, Mouse, Rat, Chicken, Dog, Cow, Rabbit, Sheep, |
| 产品应用 | WB=1:500-2000 ELISA=1:500-1000 IHC-P=1:400-800 IHC-F=1:400-800 IF=1:100-500 (石蜡切片需做抗原修复) not yet tested in other applications. optimal dilutions/concentrations should be determined by the end user. |
| 分 子 量 | 43kDa |
| 细胞定位 | 细胞膜 |
| 性 状 | Lyophilized or Liquid |
| 浓 度 | 1mg/ml |
| 免 疫 原 | KLH conjugated synthetic peptide derived from human KCNK3:51-150/394 <Extracellular> |
| 亚 型 | IgG |
| 纯化方法 | affinity purified by Protein A |
| 储 存 液 | 0.01M TBS(pH7.4) with 1% BSA, 0.03% Proclin300 and 50% Glycerol. |
| 保存条件 | Store at -20 °C for one year. Avoid repeated freeze/thaw cycles. The lyophilized antibody is stable at room temperature for at least one month and for greater than a year when kept at -20°C. When reconstituted in sterile pH 7.4 0.01M PBS or diluent of antibody the antibody is stable for at least two weeks at 2-4 °C. |
| PubMed | PubMed |
| 产品介绍 | background: This gene encodes a member of the superfamily of potassium channel proteins that contain two pore-forming P domains. The encoded protein is an outwardly rectifying channel that is sensitive to changes in extracellular pH and is inhibited by extracellular acidification. Also referred to as an acid-sensitive potassium channel, it is activated by the anesthetics halothane and isoflurane. Although three transcripts are detected in northern blots, there is currently no sequence available to confirm transcript variants for this gene. [provided by RefSeq, Aug 2008]. Function: pH-dependent, voltage-insensitive, background potassium channel protein. Rectification direction results from potassium ion concentration on either side of the membrane. Acts as an outward rectifier when external potassium concentration is low. When external potassium concentration is high, current is inward. Subcellular Location: Membrane; Multi-pass membrane protein (Potential). Tissue Specificity: Widespread expression in adult. Strongest expression in pancreas and placenta. Lower expression in brain, lung, prostate, heart, kidney, uterus, small intestine and colon. Similarity: Belongs to the two pore domain potassium channel (TC 1.A.1.8) family. SWISS: O14649 Gene ID: 3777 Database links: Entrez Gene: 3777 Human Entrez Gene: 16527 Mouse Entrez Gene: 29553 Rat Omim: 603220 Human SwissProt: O14649 Human SwissProt: Q53SU2 Human SwissProt: O35111 Mouse SwissProt: O54912 Rat Unigene: 645288 Human Unigene: 439936 Mouse Unigene: 15536 Rat Important Note: This product as supplied is intended for research use only, not for use in human, therapeutic or diagnostic applications. |
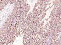
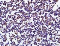
| 产品图片 | ![]() Sample: Pancreas (Mouse) Lysate at 40 ug Primary: Anti-KCNK3 (bs-6674R) at 1/300 dilution Secondary: IRDye800CW Goat Anti-Rabbit IgG at 1/20000 dilution Predicted band size: 43 kD Observed band size: 43 kD ![]() Sample: Placenta (Mouse) Lysate at 40 ug Primary: Anti-KCNK3 (bs-6674R) at 1/300 dilution Secondary: IRDye800CW Goat Anti-Rabbit IgG at 1/20000 dilution Predicted band size: 43 kD Observed band size: 43 kD ![]() Blank control(blue): H9C2 (fixed with 2% paraformaldehyde (10 min)) . Primary Antibody:Rabbit Anti- KCNK3 antibody(bs-6674R), Dilution: 6ug in 100 uL 1X PBS containing 0.5% BSA; Isotype Control Antibody: Rabbit IgG(orange) ,used under the same conditions ); Secondary Antibody: Goat anti-rabbit IgG-FITC(white blue), Dilution: 1:200 in 1 X PBS containing 0.5% BSA. |
风险提示:丁香通仅作为第三方平台,为商家信息发布提供平台空间。用户咨询产品时请注意保护个人信息及财产安全,合理判断,谨慎选购商品,商家和用户对交易行为负责。对于医疗器械类产品,请先查证核实企业经营资质和医疗器械产品注册证情况。
技术资料暂无技术资料 索取技术资料
KCNK3 antibody
¥1380 - 2200











