相关产品推荐更多 >
万千商家帮你免费找货
0 人在求购买到急需产品
- 详细信息
- 文献和实验
- 技术资料
- 供应商:
上海康朗生物科技有限公司
- 库存:
大量
- 目录编号:
kl-8664R
- 克隆性:
多克隆
- 抗原来源:
Rabbit
- 保质期:
12个月
- 抗体英文名:
phospho-ZIP Kinase (Thr265) antibody
- 抗体名:
磷酸化死亡相关蛋白激酶3抗体
- 宿主:
Rabbit
- 适应物种:
Human, Mouse, Rat, Dog, Pig, Cow, Horse,
- 免疫原:
KKLH conjugated synthesised phosphopeptide derived from human ZIP Kinase around the phosphorylation site of Thr265:RM(p-T)IA
- 亚型:
IgG
- 形态:
冻干粉或液体
- 应用范围:
WB=1:500-2000 ELISA=1:500-1000 IHC-P=1:400-800 IHC-F=1:400-800 ICC=1:100-500 IF=1:100-500
- 浓度:
1mg/ml
- 保存条件:
-20 °C
- 规格:
100ul
| 中文名称 | 磷酸化死亡相关蛋白激酶3抗体 |
| 别 名 | ZIP Kinase (phospho T265); p-ZIP Kinase (phospho T265) DAP kinase 3; DAP like kinase; DAP-like kinase; Dapk 3; DAPK3; DAPK3_HUMAN; Death associated kinase 3; Death associated protein kinase 3; Death-associated protein kinase 3; Dlk; EC 2.7.11.1; FLJ36473; MYPT1 kinase; ZIP; ZIP kinase; ZIP kinase isoform; ZIP-kinase; ZIPK; zipper-interacting protein kinase. |
| 规格价格 | 100ul/1580元 购买 大包装/询价 |
| 说 明 书 | 100ul |
| 产品类型 | 磷酸化抗体 |
| 研究领域 | 肿瘤 细胞生物 细胞凋亡 |
| 抗体来源 | Rabbit |
| 克隆类型 | Polyclonal |
| 交叉反应 | Human, Mouse, Rat, Dog, Pig, Cow, Horse, |
| 产品应用 | WB=1:500-2000 ELISA=1:500-1000 IHC-P=1:400-800 IHC-F=1:400-800 ICC=1:100-500 IF=1:100-500 (石蜡切片需做抗原修复) not yet tested in other applications. optimal dilutions/concentrations should be determined by the end user. |
| 分 子 量 | 53kDa |
| 细胞定位 | 细胞核 细胞浆 |
| 性 状 | Lyophilized or Liquid |
| 浓 度 | 1mg/ml |
| 免 疫 原 | KKLH conjugated synthesised phosphopeptide derived from human ZIP Kinase around the phosphorylation site of Thr265:RM(p-T)IA |
| 亚 型 | IgG |
| 纯化方法 | affinity purified by Protein A |
| 储 存 液 | Preservative: 15mM Sodium Azide, Constituents: 1% BSA, 0.01M PBS, pH 7.4 |
| 保存条件 | Store at -20 °C for one year. Avoid repeated freeze/thaw cycles. The lyophilized antibody is stable at room temperature for at least one month and for greater than a year when kept at -20°C. When reconstituted in sterile pH 7.4 0.01M PBS or diluent of antibody the antibody is stable for at least two weeks at 2-4 °C. |
| PubMed | PubMed |
| 产品介绍 | background: Death-associated protein kinase 3 (DAPK3) induces morphological changes in apoptosis when overexpressed in mammalian cells. These results suggest that DAPK3 may play a role in the induction of apoptosis. [provided by RefSeq, Jul 2008] Function: Serine/threonine kinase which acts as a positive regulator of apoptosis. Phosphorylates histone H3 on 'Thr-11' at centromeres during mitosis. Regulates myosin light chain phosphatase through phosphorylation of MYPT1 thereby regulating the assembly of the actin cytoskeleton, cell migration, invasiveness of tumor cells, smooth muscle contraction and neurite outgrowth. Involved in the formation of promyelocytic leukemia protein nuclear body (PML-NB), one of many subnuclear domains in the eukaryotic cell nucleus, and which is involved in oncogenesis and viral infection. Subcellular Location: Nucleus. Cytoplasm. Nucleus > PML body. Relocates to the cytoplasm on binding PAWR where the complex appears to interact with actin filaments (By similarity). Localizes to promyelocytic leukemia protein nuclear bodies (PML-NBs). Associates to centromeres from prophase to anaphase. Post-translational modifications: Ubiquitinated. Ubiquitination mediated by the UBE2D3 E3 ligase does not lead to proteasomal degradation, but influences promyelocytic leukemia protein nuclear bodies (PML-NBs) formation in the nucleus. Autophosphorylated. Phosphorylated by ROCK1. Similarity: Belongs to the protein kinase superfamily. CAMK Ser/Thr protein kinase family. DAP kinase subfamily. Contains 1 protein kinase domain. SWISS: O43293 Gene ID: 1613 Database links: Entrez Gene: 1613 Human Entrez Gene: 13144 Mouse Omim: 603289 Human SwissProt: O43293 Human SwissProt: O54784 Mouse Unigene: 631844 Human Unigene: 10294 Mouse Important Note: This product as supplied is intended for research use only, not for use in human, therapeutic or diagnostic applications. |
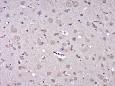
| 产品图片 | ![]() Sample: Lung (Mouse) Lysate at 40 ug Primary: Anti- phospho-ZIP Kinase (Thr265) (bs-8664R) at 1/300 dilution Secondary: IRDye800CW Goat Anti-Rabbit IgG at 1/20000 dilution Predicted band size: 53 kD Observed band size: 53 kD ![]() Sample: Muscle (Mouse) Lysate at 40 ug Primary: Anti- phospho-ZIP Kinase (Thr265) (bs-8664R) at 1/300 dilution Secondary: IRDye800CW Goat Anti-Rabbit IgG at 1/20000 dilution Predicted band size: 53 kD Observed band size: 53 kD ![]() Paraformaldehyde-fixed, paraffin embedded (Rat brain); Antigen retrieval by boiling in sodium citrate buffer (pH6.0) for 15min; Block endogenous peroxidase by 3% hydrogen peroxide for 20 minutes; Blocking buffer (normal goat serum) at 37°C for 30min; Antibody incubation with (p-ZIP Kinase (Thr265)) Polyclonal Antibody, Unconjugated (bs-8664R) at 1:400 overnight at 4°C, followed by operating according to SP Kit(Rabbit) (sp-0023) instructions and DAB staining. |
风险提示:丁香通仅作为第三方平台,为商家信息发布提供平台空间。用户咨询产品时请注意保护个人信息及财产安全,合理判断,谨慎选购商品,商家和用户对交易行为负责。对于医疗器械类产品,请先查证核实企业经营资质和医疗器械产品注册证情况。
文献和实验Using Phospho‐Motif Antibodies to Determine Kinase Substrates
comprising both the phosphorylated residue and the surrounding residues that determine kinase specificity, with degenerate residues taking up the remaining positions. Currently, several categories of phospho?motif antibody are commercially available
Phospho-specific flow cytometry, or phospho flow, measures the phosphorylation state of intracellular proteins at the single cell level. Many phosphorylation events can be analyzed simultaneously in each cell, along with cell surface markers
Antibody Techniques Used in the Study of Anaplastic Lymphoma Kinase-Positive ALCL
of leukemia and lymphoma pathology. The use of antibodies specific for anaplastic lymphoma kinase (ALK) protein has permitted the identification of the tumor entity ALK-positive from the poorly defined morphological category of anaplastic large cell lymphoma
技术资料暂无技术资料 索取技术资料













