相关产品推荐更多 >
万千商家帮你免费找货
0 人在求购买到急需产品
- 详细信息
- 技术资料
- 供应商:
上海康朗生物科技有限公司
- 库存:
大量
- 目录编号:
kl-5112R
- 克隆性:
多克隆
- 抗原来源:
Rabbit
- 保质期:
12个月
- 抗体英文名:
CLIC1 antibody
- 抗体名:
氯离子通道蛋白27抗体
- 宿主:
Rabbit
- 适应物种:
Human, Mouse, Rat, Dog, Cow, Horse, Rabbit,
- 免疫原:
KLH conjugated synthetic peptide derived from human NCC27:101-200/241
- 亚型:
IgG
- 形态:
冻干粉或液体
- 应用范围:
WB=1:500-2000 ELISA=1:500-1000 IHC-P=1:400-800 IHC-F=1:400-800 ICC=1:100-500 IF=1:100-500
- 浓度:
1mg/ml
- 保存条件:
-20 °C
- 规格:
100ul 200ul
CLIC1 antibody
| 中文名称 | 氯离子通道蛋白27抗体 |
| 别 名 | hRNCC; Nuclear chloride ion channel 27; p64CLCP; Chloride channel ABP; Chloride intracellular channel 1; Chloride intracellular channel protein 1; CLIC 1; CLIC1; CLIC1_HUMAN; G6 antibody hRNCC; NCC 27; NCC27; Nuclear chloride ion channel 27; Nuclear chloride ion channel protein; p64CLCP; Regulatory nuclear chloride ion channel protein; RNCC protein; G6 antibody. |
| 规格价格 | 100ul/1380元 购买 200ul/2200元 购买 大包装/询价 |
| 说 明 书 | 100ul 200ul |
| 研究领域 | 肿瘤 细胞生物 免疫学 转录调节因子 通道蛋白 |
| 抗体来源 | Rabbit |
| 克隆类型 | Polyclonal |
| 交叉反应 | Human, Mouse, Rat, Dog, Cow, Horse, Rabbit, |
| 产品应用 | WB=1:500-2000 ELISA=1:500-1000 IHC-P=1:400-800 IHC-F=1:400-800 ICC=1:100-500 IF=1:100-500 (石蜡切片需做抗原修复) not yet tested in other applications. optimal dilutions/concentrations should be determined by the end user. |
| 分 子 量 | 26kDa |
| 细胞定位 | 细胞核 细胞浆 细胞膜 |
| 性 状 | Lyophilized or Liquid |
| 浓 度 | 1mg/ml |
| 免 疫 原 | KLH conjugated synthetic peptide derived from human NCC27:101-200/241 |
| 亚 型 | IgG |
| 纯化方法 | affinity purified by Protein A |
| 储 存 液 | 0.01M TBS(pH7.4) with 1% BSA, 0.03% Proclin300 and 50% Glycerol. |
| 保存条件 | Store at -20 °C for one year. Avoid repeated freeze/thaw cycles. The lyophilized antibody is stable at room temperature for at least one month and for greater than a year when kept at -20°C. When reconstituted in sterile pH 7.4 0.01M PBS or diluent of antibody the antibody is stable for at least two weeks at 2-4 °C. |
| PubMed | PubMed |
| 产品介绍 | background: Chloride channels are a diverse group of proteins that regulate fundamental cellular processes including stabilization of cell membrane potential, transepithelial transport, maintenance of intracellular pH, and regulation of cell volume. Chloride intracellular channel 1 is a member of the p64 family; the protein localizes principally to the cell nucleus and exhibits both nuclear and plasma membrane chloride ion channel activity. [provided by RefSeq, Jul 2008] Function: Can insert into membranes and form chloride ion channels. Channel activity depends on the pH. Membrane insertion seems to be redox-regulated and may occur only under oxydizing conditions. Involved in regulation of the cell cycle. Subunit: Monomer. Homodimer (in vitro). Interacts with TRAPPC2. Dimerization requires a conformation change that leads to the exposure of a large hydrophobic surface. In vivo, this may lead to membrane insertion. Interacts with AKAP9. Subcellular Location: Nucleus. Nucleus membrane; Single-pass membrane protein (Probable). Cytoplasm. Cell membrane; Single-pass membrane protein (Probable). Tissue Specificity: Expression is prominent in heart, placenta, liver, kidney and pancreas. Post-translational modifications: Hydrogen peroxide treatment causes a conformation change, leading to dimerization and formation of an intramolecular disulfide bond between Cys-24 and Cys-59. Similarity: Belongs to the chloride channel CLIC family. Contains 1 GST C-terminal domain. SWISS: O00299 Gene ID: 1192 Database links: Entrez Gene: 1192 Human Entrez Gene: 515646 Cow Entrez Gene: 114584 Mouse Entrez Gene: 594847 Pig Entrez Gene: 406864 Rat Omim: 602872 Human SwissProt: Q5E9B7 Cow SwissProt: O00299 Human SwissProt: Q9Z1Q5 Mouse SwissProt: Q6MG61 Rat Unigene: 414565 Human Unigene: 29524 Mouse Unigene: 203139 Rat Important Note: This product as supplied is intended for research use only, not for use in human, therapeutic or diagnostic applications. |
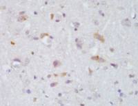
| 产品图片 | ![]() Paraformaldehyde-fixed, paraffin embedded (Rat heart); Antigen retrieval by boiling in sodium citrate buffer (pH6.0) for 15min; Block endogenous peroxidase by 3% hydrogen peroxide for 20 minutes; Blocking buffer (normal goat serum) at 37°C for 30min; Antibody incubation with (CLIC1) Polyclonal Antibody, Unconjugated (bs-5112R) at 1:400 overnight at 4°C, followed by operating according to SP Kit(Rabbit) (sp-0023) instructionsand DAB staining. ![]() Paraformaldehyde-fixed, paraffin embedded (Rat skeletal muscle); Antigen retrieval by boiling in sodium citrate buffer (pH6.0) for 15min; Block endogenous peroxidase by 3% hydrogen peroxide for 20 minutes; Blocking buffer (normal goat serum) at 37°C for 30min; Antibody incubation with (CLIC1) Polyclonal Antibody, Unconjugated (bs-5112R) at 1:400 overnight at 4°C, followed by operating according to SP Kit(Rabbit) (sp-0023) instructionsand DAB staining. |
风险提示:丁香通仅作为第三方平台,为商家信息发布提供平台空间。用户咨询产品时请注意保护个人信息及财产安全,合理判断,谨慎选购商品,商家和用户对交易行为负责。对于医疗器械类产品,请先查证核实企业经营资质和医疗器械产品注册证情况。
技术资料暂无技术资料 索取技术资料
CLIC1 antibody
¥1380 - 2200










