相关产品推荐更多 >
万千商家帮你免费找货
0 人在求购买到急需产品
- 详细信息
- 文献和实验
- 技术资料
- 供应商:
上海康朗生物科技有限公司
- 库存:
大量
- 目录编号:
kl-23176R
- 克隆性:
多克隆
- 抗原来源:
Rabbit
- 保质期:
12个月
- 抗体英文名:
SOX2 antibody
- 抗体名:
胚胎干细胞关键蛋白抗体
- 宿主:
Rabbit
- 适应物种:
Human, Mouse, Rat, Chicken, Dog, Cow, Horse, Sheep,
- 免疫原:
KLH conjugated synthetic peptide derived from human SOX2:1-100/317
- 亚型:
IgG
- 形态:
冻干粉或液体
- 应用范围:
WB=1:500-2000 ELISA=1:500-1000 IHC-P=1:400-800 IHC-F=1:400-800 ICC=1:100-500 IF=1:100-500
- 浓度:
1mg/ml
- 保存条件:
-20 °C
- 规格:
100ul 200ul
| 中文名称 | 胚胎干细胞关键蛋白抗体 |
| 别 名 | transcriptional factor SOX2; ANOP3; cb236; Delta EF2a; lcc; MCOPS3; MGC148683; MGC2413; RGD1565646; Sex determining region Y box 2; Sex determining region Y-box 2; SOX 2; SRY (sex determining region Y) box 2; SRY box containing gene 2; SRY related HMG box 2; SRY related HMG box gene 2; SRY-box 2; ysb; SOX2_HUMAN; Transcription factor SOX-2; SOX2_HUMAN. |
| 规格价格 | 100ul/1380元 购买 200ul/2200元 购买 大包装/询价 |
| 说 明 书 | 100ul 200ul |
| 研究领域 | 肿瘤 细胞生物 神经生物学 干细胞 |
| 抗体来源 | Rabbit |
| 克隆类型 | Polyclonal |
| 交叉反应 | Human, Mouse, Rat, Chicken, Dog, Cow, Horse, Sheep, |
| 产品应用 | WB=1:500-2000 ELISA=1:500-1000 IHC-P=1:400-800 IHC-F=1:400-800 ICC=1:100-500 IF=1:100-500 (石蜡切片需做抗原修复) not yet tested in other applications. optimal dilutions/concentrations should be determined by the end user. |
| 分 子 量 | 32kDa |
| 细胞定位 | 细胞核 |
| 性 状 | Lyophilized or Liquid |
| 浓 度 | 1mg/ml |
| 免 疫 原 | KLH conjugated synthetic peptide derived from human SOX2:1-100/317 |
| 亚 型 | IgG |
| 纯化方法 | affinity purified by Protein A |
| 储 存 液 | 0.01M TBS(pH7.4) with 1% BSA, 0.03% Proclin300 and 50% Glycerol. |
| 保存条件 | Store at -20 °C for one year. Avoid repeated freeze/thaw cycles. The lyophilized antibody is stable at room temperature for at least one month and for greater than a year when kept at -20°C. When reconstituted in sterile pH 7.4 0.01M PBS or diluent of antibody the antibody is stable for at least two weeks at 2-4 °C. |
| PubMed | PubMed |
| 产品介绍 | background: This intronless gene encodes a member of the SRY-related HMG-box (SOX) family of transcription factors involved in the regulation of embryonic development and in the determination of cell fate. The product of this gene is required for stem-cell maintenance in the central nervous system, and also regulates gene expression in the stomach. Mutations in this gene have been associated with optic nerve hypoplasia and with syndromic microphthalmia, a severe form of structural eye malformation. This gene lies within an intron of another gene called SOX2 overlapping transcript (SOX2OT). [provided by RefSeq, Jul 2008]. Function: Transcription factor that forms a trimeric complex with OCT4 on DNA and controls the expression of a number of genes involved in embryonic development such as YES1, FGF4, UTF1 and ZFP206 (By similarity). Critical for early embryogenesis and for embryonic stem cell pluripotency. May function as a switch in neuronal development. Downstream SRRT target that mediates the promotion of neural stem cell self-renewal (By similarity). Keeps neural cells undifferentiated by counteracting the activity of proneural proteins and suppresses neuronal differentiation. Subunit: Interacts with ZSCAN10. Interacts with SOX3 and FGFR1. Subcellular Location: Nucleus. Post-translational modifications: Sumoylation inhibits binding on DNA and negatively regulates the FGF4 transactivation. DISEASE: Defects in SOX2 are the cause of microphthalmia syndromic type 3 (MCOPS3) [MIM:206900]. Microphthalmia is a clinically heterogeneous disorder of eye formation, ranging from small size of a single eye to complete bilateral absence of ocular tissues (anophthalmia). In many cases, microphthalmia/anophthalmia occurs in association with syndromes that include non-ocular abnormalities. MCOPS3 is characterized by the rare association of malformations including uni- or bilateral anophthalmia or microphthalmia, and esophageal atresia with trachoesophageal fistula. Similarity: Contains 1 HMG box DNA-binding domain. SWISS: P48431 Gene ID: 6657 Database links: Entrez Gene: 6657 Human Entrez Gene: 20674 Mouse Omim: 184429 Human SwissProt: P48431 Human SwissProt: P48432 Mouse Unigene: 518438 Human Unigene: 65396 Mouse Important Note: This product as supplied is intended for research use only, not for use in human, therapeutic or diagnostic applications. Embryonic Stem Cell Marker (胚胎干细胞标志物) 转录因子:胚胎干细胞相关蛋白Sox2是sox基因家族的一个成员,Sox2与Oct4、Nanog一样是胚胎干细胞重要的转录因子,是维持干细胞特性中起到重要的作用因子;由于它在早期胚胎发生、神经分化和晶状体发育等多种重要的发育事件中都起着关键的作用,从而引起了越来越广泛的关注。 |
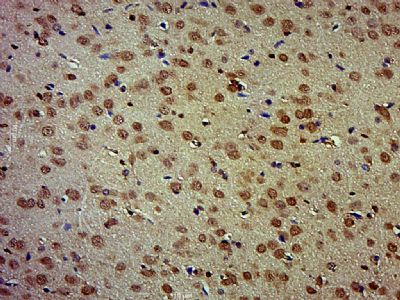
| 产品图片 | ![]() Sample: Eye(Rat) Lysate at 40 ug Primary: Anti-SOX2 (bs-23176R) at 1/300 dilution Secondary: IRDye800CW Goat Anti-Rabbit IgG at 1/20000 dilution Predicted band size: 32 kD Observed band size: 32 kD ![]() Sample: Eye (Mouse) Lysate at 40 ug Primary: Anti-SOX2 (bs-23176R) at 1/300 dilution Secondary: IRDye800CW Goat Anti-Rabbit IgG at 1/20000 dilution Predicted band size: 32 kD Observed band size: 32 kD ![]() Sample: Cerebrum (Mouse) Lysate at 40 ug Primary: Anti-SOX2 (bs-23176R) at 1/300 dilution Secondary: IRDye800CW Goat Anti-Rabbit IgG at 1/20000 dilution Predicted band size: 32 kD Observed band size: 32 kD ![]() Paraformaldehyde-fixed, paraffin embedded (Rat brain); Antigen retrieval by boiling in sodium citrate buffer (pH6.0) for 15min; Block endogenous peroxidase by 3% hydrogen peroxide for 20 minutes; Blocking buffer (normal goat serum) at 37°C for 30min; Antibody incubation with (SOX2) Polyclonal Antibody, Unconjugated (bs-23176R) at 1:500 overnight at 4°C, followed by a conjugated secondary (sp-0023) for 20 minutes and DAB staining. |
风险提示:丁香通仅作为第三方平台,为商家信息发布提供平台空间。用户咨询产品时请注意保护个人信息及财产安全,合理判断,谨慎选购商品,商家和用户对交易行为负责。对于医疗器械类产品,请先查证核实企业经营资质和医疗器械产品注册证情况。
文献和实验Generation of Antibody Molecules Through Antibody Engineering
been overcome to a large extent using genetic-engineering techniques to produce chimeric mouse/human and completely human antibodies. Such an approach is particularly suitable because of the domain structure of the antibody molecule ( 2 ), where functional
Induced Pluripotent Stem Cells (iPSC) from Cord Blood CD133+ Cells Using Oct4 and Sox2
only two transcription factors OCT4 and SOX2. The methods for establishment and maintenance of CB-derived iPS (CB-iPS) cells are similar, with some modifications, to those for human iPSCs derived from fibroblasts. In particular, this protocol includes a detailed
The importance of antibody molecules was first recognized in the 1890s, when it was shown that immunity to tetanus and diphtheria was caused by antibodies against the bacterial exotoxins (1 ). Around the same time, it was shown that antisera
技术资料暂无技术资料 索取技术资料














