相关产品推荐更多 >
万千商家帮你免费找货
0 人在求购买到急需产品
- 详细信息
- 文献和实验
- 技术资料
- 供应商:
上海康朗生物科技有限公司
- 库存:
大量
- 目录编号:
kl-4946R
- 克隆性:
多克隆
- 抗原来源:
Rabbit
- 保质期:
12个月
- 抗体英文名:
IL-1 Alpha antibody
- 抗体名:
白介素1α/IL-1α抗体
- 宿主:
Rabbit
- 适应物种:
Human
- 免疫原:
KLH conjugated synthetic peptide derived from human IL-1 Alpha:151-220/271
- 亚型:
IgG
- 形态:
冻干粉或液体
- 应用范围:
ELISA=1:500-1000 IHC-P=1:400-800 IHC-F=1:400-800 ICC=1:100-500 IF=1:100-500
- 浓度:
1mg/ml
- 保存条件:
-20 °C
- 规格:
50ul 100ul 200ul
| 中文名称 | 白介素1α/IL-1α抗体 |
| 别 名 | interleukin-1 alpha; Hematopoietin 1; IL 1 alpha; IL 1; IL 1A; Il-1a; IL1; IL1A; IL1F1; ilia; Interleukin 1 alpha; Interleukin 1 alpha precursor; Interleukin1 alpha; Preinterleukin 1 alpha; Pro interleukin 1 alpha; Prointerleukin 1 alpha. |
| 规格价格 | 50ul/780元 购买 100ul/1380元 购买 200ul/2200元 购买 大包装/询价 |
| 说 明 书 | 50ul 100ul 200ul |
| 研究领域 | 心血管 细胞生物 免疫学 |
| 抗体来源 | Rabbit |
| 克隆类型 | Polyclonal |
| 交叉反应 | Human, |
| 产品应用 | ELISA=1:500-1000 IHC-P=1:400-800 IHC-F=1:400-800 ICC=1:100-500 IF=1:100-500 (石蜡切片需做抗原修复) not yet tested in other applications. optimal dilutions/concentrations should be determined by the end user. |
| 分 子 量 | 17, 31kDa |
| 细胞定位 | 分泌型蛋白 |
| 性 状 | Lyophilized or Liquid |
| 浓 度 | 1mg/ml |
| 免 疫 原 | KLH conjugated synthetic peptide derived from human IL-1 Alpha:151-220/271 |
| 亚 型 | IgG |
| 纯化方法 | affinity purified by Protein A |
| 储 存 液 | 0.01M TBS(pH7.4) with 1% BSA, 0.03% Proclin300 and 50% Glycerol. |
| 保存条件 | Store at -20 °C for one year. Avoid repeated freeze/thaw cycles. The lyophilized antibody is stable at room temperature for at least one month and for greater than a year when kept at -20°C. When reconstituted in sterile pH 7.4 0.01M PBS or diluent of antibody the antibody is stable for at least two weeks at 2-4 °C. |
| PubMed | PubMed |
| 产品介绍 | background: Interleukins (ILs) are a large group of cytokines that are produced mainly by leukocytes, although some are produced by certain phagocytes and auxiliary cells. Each IL acts on a specific, limited group of cells through a receptor specific for that IL. Interleukin 1 (IL1), originally known as lymphocyte activating factor (LAF), activates T cells and lymphocytes, which then proliferate and secrete interleukin 2. IL1 is primarily released from stimulated macrophages and monocytes, but also is released from several other cell types and is thought to play a key role in inflammatory and immune responses. The two closely related agents, interleukin 1 alpha (IL1 alpha) and interleukin 1 beta (IL1 beta) bind to the same cell surface receptor, elicit nearly identical biological responses and share 25% homology in their amino acid sequence. Function: Produced by activated macrophages, IL-1 stimulates thymocyte proliferation by inducing IL-2 release, B-cell maturation and proliferation, and fibroblast growth factor activity. IL-1 proteins are involved in the inflammatory response, being identified as endogenous pyrogens, and are reported to stimulate the release of prostaglandin and collagenase from synovial cells. Subunit: Monomer. Subcellular Location: Secreted. Note=The lack of a specific hydrophobic segment in the precursor sequence suggests that IL-1 is released by damaged cells or is secreted by a mechanism differing from that used for other secretory proteins. Similarity: Belongs to the IL-1 family. SWISS: P01583 Gene ID: 3552 Database links: Entrez Gene: 3552 Human Entrez Gene: 16175 Mouse Entrez Gene: 24493 Rat Omim: 147760 Human SwissProt: P01583 Human SwissProt: P01582 Mouse SwissProt: P16598 Rat Unigene: 1722 Human Unigene: 15534 Mouse Unigene: 12300 Rat Important Note: This product as supplied is intended for research use only, not for use in human, therapeutic or diagnostic applications. |
| 产品图片 |
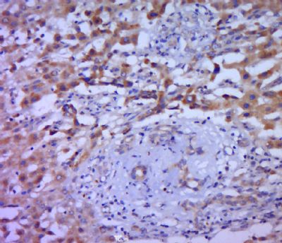
Paraformaldehyde-fixed, paraffin embedded (human liver carcinoma); Antigen retrieval by boiling in sodium citrate buffer (pH6.0) for 15min; Block endogenous peroxidase by 3% hydrogen peroxide for 20 minutes; Blocking buffer (normal goat serum) at 37°C for 30min; Antibody incubation with (IL-1 Alpha) Polyclonal Antibody, Unconjugated (bs-4946R) at 1:400 overnight at 4°C, followed by a conjugated secondary (sp-0023) for 20 minutes and DAB staining.
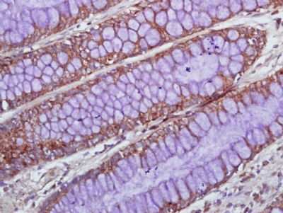
Paraformaldehyde-fixed, paraffin embedded (human colon carcinoma); Antigen retrieval by boiling in sodium citrate buffer (pH6.0) for 15min; Block endogenous peroxidase by 3% hydrogen peroxide for 20 minutes; Blocking buffer (normal goat serum) at 37°C for 30min; Antibody incubation with (IL1A) Polyclonal Antibody, Unconjugated (bs-4946R) at 1:400 overnight at 4°C, followed by a conjugated secondary (sp-0023) for 20 minutes and DAB staining.
|
风险提示:丁香通仅作为第三方平台,为商家信息发布提供平台空间。用户咨询产品时请注意保护个人信息及财产安全,合理判断,谨慎选购商品,商家和用户对交易行为负责。对于医疗器械类产品,请先查证核实企业经营资质和医疗器械产品注册证情况。
文献和实验In situ hybridisation to alpha satellite sequences (chromosome specific)
Alpha satellite sequences, whilst highly repetitive, are specific to each individual chromosome. These sequences flank the centromeres and can present a target measured in megabases. In this protocol a biotin or digoxigenin labelled DNA
加入不同稀释度的IL-1α或IL-1β,100μl/孔, 同时设1%FCS RPMI 1640对照 ↓ 5%CO,37℃培养18~24小时 ↓ 按终稀释度为1∶10~20转入另一块96孔板中
上海西唐生物科技有限公司 021-55229872, 65333639 www.westang.com 大鼠白介素 -1(IL-1)ELISA 试剂盒 ( 用于血清、血浆、细胞培养上清液和其它生物体液内 ) 原理 本实验采用双抗体夹心 ABC-ELISA 法。用抗大鼠 IL-1 单抗包被于酶标板上,标准品和样品中的 IL-1 与单抗结合,加入生物素化的抗大鼠 IL-1 ,形成免疫复合物连接在板上,辣根
技术资料暂无技术资料 索取技术资料












