相关产品推荐更多 >
万千商家帮你免费找货
0 人在求购买到急需产品
- 详细信息
- 文献和实验
- 技术资料
- 供应商:
上海康朗生物科技有限公司
- 库存:
大量
- 目录编号:
kl-8732R
- 克隆性:
多克隆
- 抗原来源:
Rabbit
- 保质期:
12个月
- 抗体英文名:
PIAS1 antibody
- 抗体名:
激活STAT蛋白抑制因子1抗体
- 宿主:
Rabbit
- 适应物种:
Human, Mouse, Rat, Chicken, Dog, Pig, Cow, Horse, Rabbit, Sheep,
- 免疫原:
KLH conjugated synthetic peptide derived from human PIAS1:501-600/651
- 亚型:
IgG
- 形态:
冻干粉或液体
- 应用范围:
WB=1:500-2000 ELISA=1:500-1000 IHC-P=1:400-800 IHC-F=1:400-800 ICC=1:100-500 IF=1:100-500
- 浓度:
1mg/ml
- 保存条件:
-20 °C
- 规格:
100ul 200ul
| 中文名称 | 激活STAT蛋白抑制因子1抗体 |
| 别 名 | AR interacting protein; DDXBP1; DEAD/H (Asp-Glu-Ala-Asp/His) box binding protein 1; DEAD/H box binding protein 1; DEAD/H box-binding protein 1; E3 SUMO-protein ligase PIAS1; GBP; Gu binding protein; Gu-binding protein; GU/RH-II; Pias1; PIAS1_HUMAN; Protein inhibitor of activated STAT protein 1; Protein inhibitor of activated STAT, 1; RNA helicase II binding protein; RNA helicase II-binding protein; Zinc finger, MIZ-type containing 3; ZMIZ3. |
| 规格价格 | 100ul/1380元 购买 200ul/2200元 购买 大包装/询价 |
| 说 明 书 | 100ul 200ul |
| 研究领域 | 转录调节因子 表观遗传学 泛素 |
| 抗体来源 | Rabbit |
| 克隆类型 | Polyclonal |
| 交叉反应 | Human, Mouse, Rat, Chicken, Dog, Pig, Cow, Horse, Rabbit, Sheep, |
| 产品应用 | WB=1:500-2000 ELISA=1:500-1000 IHC-P=1:400-800 IHC-F=1:400-800 ICC=1:100-500 IF=1:100-500 (石蜡切片需做抗原修复) not yet tested in other applications. optimal dilutions/concentrations should be determined by the end user. |
| 分 子 量 | 81kDa |
| 细胞定位 | 细胞核 细胞浆 |
| 性 状 | Lyophilized or Liquid |
| 浓 度 | 1mg/ml |
| 免 疫 原 | KLH conjugated synthetic peptide derived from human PIAS1:501-600/651 |
| 亚 型 | IgG |
| 纯化方法 | affinity purified by Protein A |
| 储 存 液 | Preservative: 15mM Sodium Azide, Constituents: 1% BSA, 0.01M PBS, pH 7.4 |
| 保存条件 | Store at -20 °C for one year. Avoid repeated freeze/thaw cycles. The lyophilized antibody is stable at room temperature for at least one month and for greater than a year when kept at -20°C. When reconstituted in sterile pH 7.4 0.01M PBS or diluent of antibody the antibody is stable for at least two weeks at 2-4 °C. |
| PubMed | PubMed |
| 产品介绍 | Function: Functions as an E3-type small ubiquitin-like modifier (SUMO) ligase, stabilizing the interaction between UBE2I and the substrate, and as a SUMO-tethering factor. Plays a crucial role as a transcriptional coregulation in various cellular pathways, including the STAT pathway, the p53 pathway and the steroid hormone signaling pathway. In vitro, binds A/T-rich DNA. The effects of this transcriptional coregulation, transactivation or silencing, may vary depending upon the biological context. Together with PRMT1, may repress STAT1 transcriptional activity, in the late phase of interferon gamma (IFN-gamma) signaling. Subcellular Location: Nucleus speckle. Interaction with CSRP2 may induce a partial redistribution along the cytoskeleton. Tissue Specificity: Expressed in numerous tissues with highest level in testis. Post-translational modifications: Sumoylated. Dimethylated by PRMT1 at Arg-303 in the late phase of interferon gamma (IFN-gamma) signaling, leading to preferential interaction with STAT1 and thus resulting in release of STAT1 from its target gene. Similarity: Belongs to the PIAS family. Contains 1 PINIT domain. Contains 1 SAP domain. Contains 1 SP-RING-type zinc finger. SWISS: O75925 Gene ID: 8554 Database links: Entrez Gene: 427514 Chicken Entrez Gene: 8554 Human Entrez Gene: 56469 Mouse Entrez Gene: 300772 Rat Omim: 603566 Human SwissProt: O75925 Human SwissProt: O88907 Mouse Unigene: 162458 Human Unigene: 431253 Mouse Unigene: 479179 Mouse Important Note: This product as supplied is intended for research use only, not for use in human, therapeutic or diagnostic applications. |
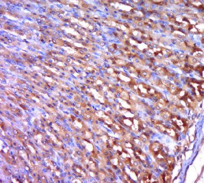
| 产品图片 | ![]() Sample: 293T(Human) Cell Lysate at 30 ug Primary: Anti-PIAS1 (bs-8732R) at 1/300 dilution Secondary: IRDye800CW Goat Anti-Rabbit IgG at 1/20000 dilution Predicted band size: 81 kD Observed band size: 81 kD ![]() Paraformaldehyde-fixed, paraffin embedded (rat stomach tissue); Antigen retrieval by boiling in sodium citrate buffer (pH6.0) for 15min; Block endogenous peroxidase by 3% hydrogen peroxide for 20 minutes; Blocking buffer (normal goat serum) at 37°C for 30min; Antibody incubation with (PIAS1) Polyclonal Antibody, Unconjugated (bs-8732R) at 1:400 overnight at 4°C, followed by a conjugated secondary (sp-0023) for 20 minutes and DAB staining. |
风险提示:丁香通仅作为第三方平台,为商家信息发布提供平台空间。用户咨询产品时请注意保护个人信息及财产安全,合理判断,谨慎选购商品,商家和用户对交易行为负责。对于医疗器械类产品,请先查证核实企业经营资质和医疗器械产品注册证情况。
文献和实验Generation of Antibody Molecules Through Antibody Engineering
been overcome to a large extent using genetic-engineering techniques to produce chimeric mouse/human and completely human antibodies. Such an approach is particularly suitable because of the domain structure of the antibody molecule ( 2 ), where functional
The importance of antibody molecules was first recognized in the 1890s, when it was shown that immunity to tetanus and diphtheria was caused by antibodies against the bacterial exotoxins (1 ). Around the same time, it was shown that antisera
General comments: Antibodies, like most proteins, do not like to be freeze-thawed. Avoid repetitive freezing of your solution. The best way to store your antibody is to keep a high protein concentration (>1 mg/ml), add some protease
技术资料暂无技术资料 索取技术资料












