相关产品推荐更多 >
万千商家帮你免费找货
0 人在求购买到急需产品
- 详细信息
- 技术资料
- 供应商:
上海康朗生物科技有限公司
- 库存:
大量
- 目录编号:
kl-4937R
- 克隆性:
多克隆
- 抗原来源:
Rabbit
- 保质期:
12个月
- 抗体英文名:
Cystatin A antibody
- 抗体名:
胱抑素A/半胱氨酸蛋白酶抑制剂A抗体
- 宿主:
Rabbit
- 适应物种:
Mouse, Rat, Rabbit,
- 免疫原:
KLH conjugated synthetic peptide derived from rat Cystatin A:1-80/103
- 亚型:
IgG
- 形态:
冻干粉或液体
- 应用范围:
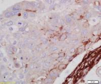
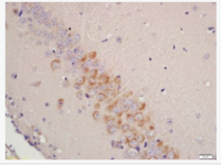
WB=1:500-2000 ELISA=1:500-1000 IHC-P=1:400-800 IHC-F=1:400-800 ICC=1:100-500 IF=1:100-500
- 浓度:
1mg/ml
- 保存条件:
-20 °C
- 规格:
100ul 200ul
Cystatin A antibody
| 中文名称 | 胱抑素A/半胱氨酸蛋白酶抑制剂A抗体 |
| 别 名 | AREI; CSTA; CSTA protein; Cystatin A; Cystatin AS; Cystatin-A; Cystatin-AS; CystatinA; CYTA_RAT; Stefin A; Stefin A1; Stefin-A; StefinA; STF 1; STF1; STFA. |
| 规格价格 | 100ul/1380元 购买 200ul/2200元 购买 大包装/询价 |
| 说 明 书 | 100ul 200ul |
| 研究领域 | 肿瘤 细胞生物 免疫学 信号转导 细胞凋亡 细胞类型标志物 细胞骨架 肿瘤细胞生物标志物 细胞外基质 |
| 抗体来源 | Rabbit |
| 克隆类型 | Polyclonal |
| 交叉反应 | Mouse, Rat, Rabbit, |
| 产品应用 | WB=1:500-2000 ELISA=1:500-1000 IHC-P=1:400-800 IHC-F=1:400-800 ICC=1:100-500 IF=1:100-500 (石蜡切片需做抗原修复) not yet tested in other applications. optimal dilutions/concentrations should be determined by the end user. |
| 分 子 量 | 12kDa |
| 细胞定位 | 细胞浆 |
| 性 状 | Lyophilized or Liquid |
| 浓 度 | 1mg/ml |
| 免 疫 原 | KLH conjugated synthetic peptide derived from rat Cystatin A:1-80/103 |
| 亚 型 | IgG |
| 纯化方法 | affinity purified by Protein A |
| 储 存 液 | 0.01M TBS(pH7.4) with 1% BSA, 0.03% Proclin300 and 50% Glycerol. |
| 保存条件 | Store at -20 °C for one year. Avoid repeated freeze/thaw cycles. The lyophilized antibody is stable at room temperature for at least one month and for greater than a year when kept at -20°C. When reconstituted in sterile pH 7.4 0.01M PBS or diluent of antibody the antibody is stable for at least two weeks at 2-4 °C. |
| PubMed | PubMed |
| 产品介绍 | background: Cystatin A and cystatin B (also designated PME, CST6, STFB, CPI-B, stefin B and liver thiol proteinase inhibitor) are thiol protease inhibitors that form complexes with papain and the cathepsins B, H, and L. Cystatin A, a cytoplasmic protein, is one of the precursor proteins of the cornified cell envelope in keratinocytes and plays a role in epidermal development and maintenance. Cystatin B protects against intracellular proteases leaking out of lysosomes and is primarily expressed in heart, liver and kidney. Function: This is an intracellular thiol proteinase inhibitor. Subcellular Location: Cytoplasm. Tissue Specificity: Expressed in the skin throughout the epidermis. Similarity: Belongs to the cystatin family. SWISS: P01040 Gene ID: 1475 Database links: Entrez Gene: 1475 Human Entrez Gene: 209294 Mouse Omim: 184600 Human SwissProt: P01040 Human SwissProt: P56567 Mouse Unigene: 518198 Human Unigene: 300592 Mouse Important Note: This product as supplied is intended for research use only, not for use in human, therapeutic or diagnostic applications. |
风险提示:丁香通仅作为第三方平台,为商家信息发布提供平台空间。用户咨询产品时请注意保护个人信息及财产安全,合理判断,谨慎选购商品,商家和用户对交易行为负责。对于医疗器械类产品,请先查证核实企业经营资质和医疗器械产品注册证情况。
技术资料暂无技术资料 索取技术资料
Cystatin A antibody
¥1380 - 2200









