相关产品推荐更多 >
万千商家帮你免费找货
0 人在求购买到急需产品
- 详细信息
- 询价记录
- 文献和实验
- 技术资料
- 供应商:
上海康朗生物科技有限公司
- 库存:
大量
- 目录编号:
kl-0990R
- 克隆性:
多克隆
- 抗原来源:
Rabbit
- 保质期:
12个月
- 抗体英文名:
HPV16 E6 protein antibody
- 抗体名:
人类乳头状瘤病毒16抗体
- 宿主:
Rabbit
- 适应物种:
Human, HPV16
- 免疫原:
Synthetic peptide from the HPV16-E6 conjugated to KLH:85-158/158
- 亚型:
IgG
- 形态:
冻干粉或液体
- 应用范围:
ELISA=1:500-1000 IHC-P=1:400-800 IHC-F=1:400-800 IF=1:100-500
- 浓度:
1mg/ml
- 保存条件:
-20 °C
- 规格:
50ul 100ul 200ul
| 中文名称 | 人类乳头状瘤病毒16抗体 |
| 别 名 | E6; HPV16 E6 protein; Human Papilloma Virus; Human papillomavirus type 16 E6; Human papillomavirus type 16; Protein E6; E6 protein; HPV16 E6; HPV16-E6; VE6_HPV16. |
| 规格价格 | 50ul/780元 购买 100ul/1380元 购买 200ul/2200元 购买 大包装/询价 |
| 说 明 书 | 50ul 100ul 200ul |
| 研究领域 | 肿瘤 细菌及病毒 |
| 抗体来源 | Rabbit |
| 克隆类型 | Polyclonal |
| 交叉反应 | Human, HPV16 |
| 产品应用 | ELISA=1:500-1000 IHC-P=1:400-800 IHC-F=1:400-800 IF=1:100-500 (石蜡切片需做抗原修复) not yet tested in other applications. optimal dilutions/concentrations should be determined by the end user. |
| 分 子 量 | 11kDa |
| 性 状 | Lyophilized or Liquid |
| 浓 度 | 1mg/ml |
| 免 疫 原 | Synthetic peptide from the HPV16-E6 conjugated to KLH:85-158/158 |
| 亚 型 | IgG |
| 纯化方法 | affinity purified by Protein A |
| 储 存 液 | 0.01M TBS(pH7.4) with 1% BSA, 0.03% Proclin300 and 50% Glycerol. |
| 保存条件 | Store at -20 °C for one year. Avoid repeated freeze/thaw cycles. The lyophilized antibody is stable at room temperature for at least one month and for greater than a year when kept at -20°C. When reconstituted in sterile pH 7.4 0.01M PBS or diluent of antibody the antibody is stable for at least two weeks at 2-4 °C. |
| PubMed | PubMed |
| 产品介绍 | background: Human papilloma viruses (HPVs) can be classified as either high risk or low risk according to their association with cancer. HPV16 and HPV18 are the most common of the high risk group while HPV6 and HPV11 are among the low risk types. Approximately 90% of cervical cancers contain HPV DNA of the high risk types. Mutational analysis have shown that the E6 and E7 genes of the high risk HPVs are necessary and sufficient for HPV transforming function. The specific interactions of the E6 and E7 proteins with p53 and pRB, respectively, correlate with HPV high and low risk classifications. The high risk HPV E7 proteins bind to pRB with a higher affinity than do the low risk HPV proteins, and only the high risk HPV E6 proteins form detectable complexes with p53 in vitro. Function: Plays a major role in the induction and maintenance of cellular transformation. Acts mainly as an oncoprotein by stimulating the destruction of many host cell key regulatory proteins. E6 associates with host E6-AP ubiquitin-protein ligase, and inactivates tumor suppressors TP53 and TP73 by targeting them to the 26S proteasome for degradation. In turn, DNA damage and chromosomal instabilities increase and lead to cell proliferation and cancer development. The complex E6/E6P targets several other substrates to degradation via the proteasome including host NFX1-91, a repressor of human telomerase reverse transcriptase (hTERT). The resulting increased expression of hTERT prevents the shortening of telomere length leading to cell immortalization. Other cellular targets including Bak, Fas-associated death domain-containing protein (FADD) and procaspase 8, are degraded by E6/E6AP causing inhibition of apoptosis. E6 also inhibits immune response by interacting with host IRF3 and TYK2. These interactions prevent IRF3 transcriptional activities and inhibit TYK2-mediated JAK-STAT activation by interferon alpha resulting in inhibition of the interferon signaling pathway. Subunit: Forms a complex E6-AP ubiquitin-protein ligase which interacts with human TP53. Binds to human FBLN1 and MPDZ (By similarity). Interacts with human NFX1 and MAGI3. Interacts with human IRF3; this interaction inhibits the establishment of antiviral state. Interacts with human TYK2; this interaction inhibits JAK-STAT activation by interferon alpha. Subcellular Location: Host nucleus matrix. Similarity: Belongs to the papillomaviridae E6 protein family. SWISS: P03126 Gene ID: 1489078 Database links: Entrez Gene: 1489078 HPV16 E6 Important Note: This product as supplied is intended for research use only, not for use in human, therapeutic or diagnostic applications. |
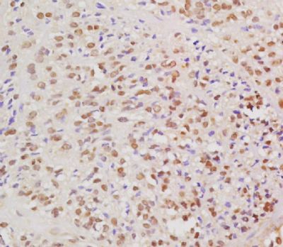
| 产品图片 | ![]() Tissue/cell: human cervical carcinoma; 4% Paraformaldehyde-fixed and paraffin-embedded; Antigen retrieval: citrate buffer ( 0.01M, pH 6.0 ), Boiling bathing for 15min; Block endogenous peroxidase by 3% Hydrogen peroxide for 30min; Blocking buffer (normal goat serum,C-0005) at 37℃ for 20 min; Incubation: Anti-HPV16-E6 Polyclonal Antibody, Unconjugated(bs-0990R) 1:200, overnight at 4°C, followed by conjugation to the secondary antibody(SP-0023) and DAB(C-0010) staining |
风险提示:丁香通仅作为第三方平台,为商家信息发布提供平台空间。用户咨询产品时请注意保护个人信息及财产安全,合理判断,谨慎选购商品,商家和用户对交易行为负责。对于医疗器械类产品,请先查证核实企业经营资质和医疗器械产品注册证情况。
- 作者
- 内容
- 询问日期
文献和实验Protein A Purification of Antibody
1. Reagents(1) Affi-gel Protein-A Agarose (BioRad #153-6153)(2) MAPS II Binding Buffer (BioRad # 153-6161)(3) 0.314 g/ml diH2O(4) MAPS II Elution Buffer (BioRad #153-6162)(5) 0.023 g/ml diH2O(6) MAPS II Regeneration Buffer (BioRad #153-6166(7) 1M
ANTIBODY BINDING TO PROTEIN A AND PROTEIN G
Protein A, derived from the cell wall of Staphylococcus aureus , and protein G, derived from the cell wall of certain strains of b -hemolytic Streptococcci , binds the Fc region
Antibody Purification: Affinity Chromatography Protein A and Protein G Sepharose
Affinity chromatography relies on the reversible interaction between a protein and a specific ligand immobilized in a chromatographic matrix. The sample is applied under conditions that favor specific binding to the ligand as the result
技术资料暂无技术资料 索取技术资料











