相关产品推荐更多 >
万千商家帮你免费找货
0 人在求购买到急需产品
- 详细信息
- 文献和实验
- 技术资料
- 供应商:
上海康朗生物科技有限公司
- 库存:
大量
- 目录编号:
kl-6057R
- 克隆性:
多克隆
- 抗原来源:
Rabbit
- 保质期:
12个月
- 抗体英文名:
METTL11A antibody
- 抗体名:
甲基化样蛋白11抗体(N端)
- 宿主:
Rabbit
- 适应物种:
Human, Mouse, Rat, Chicken, Dog, Pig, Cow, Horse,
- 免疫原:
KLH conjugated synthetic peptide derived from human METTL11A:25-130/223
- 亚型:
IgG
- 形态:
冻干粉或液体
- 应用范围:
WB=1:500-2000 ELISA=1:500-1000 IHC-P=1:400-800 IHC-F=1:400-800 IF=1:100-500
- 浓度:
1mg/ml
- 保存条件:
-20 °C
- 规格:
100ul 200ul
| 中文名称 | 甲基化样蛋白11抗体(N端) |
| 别 名 | Methyltransferase like 11A; Methyltransferase-like protein 11A; Mettl11a; N-terminal RCC1 methyltransferase; NRMT; NTM1A; NTM1A_HUMAN; NTMT1; X-Pro-Lys N-terminal protein methyltransferase 1A; AD 003; Alpha N-terminal protein methyltransferase 1A; C9orf32; Chromosome 9 open reading frame 32. |
| 规格价格 | 100ul/1380元 购买 200ul/2200元 购买 大包装/询价 |
| 说 明 书 | 100ul 200ul |
| 研究领域 | 细胞生物 免疫学 细胞周期蛋白 细胞分化 |
| 抗体来源 | Rabbit |
| 克隆类型 | Polyclonal |
| 交叉反应 | Human, Mouse, Rat, Chicken, Dog, Pig, Cow, Horse, |
| 产品应用 | WB=1:500-2000 ELISA=1:500-1000 IHC-P=1:400-800 IHC-F=1:400-800 IF=1:100-500 (石蜡切片需做抗原修复) not yet tested in other applications. optimal dilutions/concentrations should be determined by the end user. |
| 分 子 量 | 25kDa |
| 细胞定位 | 细胞核 |
| 性 状 | Lyophilized or Liquid |
| 浓 度 | 1mg/ml |
| 免 疫 原 | KLH conjugated synthetic peptide derived from human METTL11A:25-130/223 |
| 亚 型 | IgG |
| 纯化方法 | affinity purified by Protein A |
| 储 存 液 | 0.01M TBS(pH7.4) with 1% BSA, 0.03% Proclin300 and 50% Glycerol. |
| 保存条件 | Store at -20 °C for one year. Avoid repeated freeze/thaw cycles. The lyophilized antibody is stable at room temperature for at least one month and for greater than a year when kept at -20°C. When reconstituted in sterile pH 7.4 0.01M PBS or diluent of antibody the antibody is stable for at least two weeks at 2-4 °C. |
| PubMed | PubMed |
| 产品介绍 | background: Alpha-N-methyltransferase that methylates the N-terminus of target proteins containing the N-terminal motif [Ala/Pro/Ser]-Pro-Lys when the initiator Met is cleaved. Specifically catalyzes mono-, di- or tri-methylation of exposed alpha-amino group of Ala, Pro or Ser residue in the [Ala/Pro/Ser]-Pro-Lys motif. Mediates the N-terminal methylation of KLHL31, MYL2, MYL3, RB1, RCC1, RPL23A and SET. Required during mitosis for normal bipolar spindle formation and chromosome segregation. Function: Alpha-N-methyltransferase that methylates the N-terminus of target proteins containing the N-terminal motif [Ala/Pro/Ser]-Pro-Lys when the initiator Met is cleaved. Specifically catalyzes mono-, di- or tri-methylation of exposed alpha-amino group of Ala or Ser residue in the [Ala/Ser]-Pro-Lys motif and mono- or di-methylation of Pro in the Pro-Pro-Lys motif. Responsible for the N-terminal methylation of KLHL31, MYL2, MYL3, RB1, RCC1, RPL23A and SET. Required during mitosis for normal bipolar spindle formation and chromosome segregation via its action on RCC1. Subcellular Location: Nucleus. Note=Predominantly nuclear. Similarity: Belongs to the methyltransferase superfamily. NTM1 family. SWISS: Q9BV86 Gene ID: 28989 Database links: Entrez Gene: 28989 Human Entrez Gene: 66617 Mouse Entrez Gene: 362103 Rat Omim: 613560 Human SwissProt: Q9BV86 Human SwissProt: Q8R2U4 Mouse SwissProt: Q5BJX0 Rat Unigene: 522433 Human Unigene: 33167 Mouse Unigene: 12306 Rat Important Note: This product as supplied is intended for research use only, not for use in human, therapeutic or diagnostic applications. |
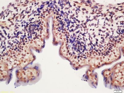
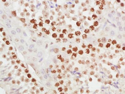
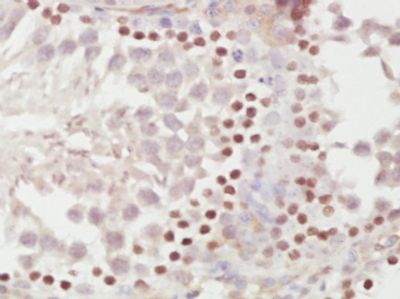
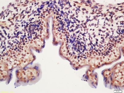
| 产品图片 | ![]() Paraformaldehyde-fixed, paraffin embedded (Mouse testis); Antigen retrieval by boiling in sodium citrate buffer (pH6.0) for 15min; Block endogenous peroxidase by 3% hydrogen peroxide for 20 minutes; Blocking buffer (normal goat serum) at 37°C for 30min; Antibody incubation with (METTL11A) Polyclonal Antibody, Unconjugated (bs-6057R) at 1:400 overnight at 4°C, followed by operating according to SP Kit(Rabbit) (sp-0023) instructionsand DAB staining. ![]() Paraformaldehyde-fixed, paraffin embedded (Rat testis); Antigen retrieval by boiling in sodium citrate buffer (pH6.0) for 15min; Block endogenous peroxidase by 3% hydrogen peroxide for 20 minutes; Blocking buffer (normal goat serum) at 37°C for 30min; Antibody incubation with (METTL11A) Polyclonal Antibody, Unconjugated (bs-6057R) at 1:400 overnight at 4°C, followed by operating according to SP Kit(Rabbit) (sp-0023) instructionsand DAB staining. ![]() Tissue/cell: mouse embryo tissue; 4% Paraformaldehyde-fixed and paraffin-embedded; Antigen retrieval: citrate buffer ( 0.01M, pH 6.0 ), Boiling bathing for 15min; Block endogenous peroxidase by 3% Hydrogen peroxide for 30min; Blocking buffer (normal goat serum,C-0005) at 37℃ for 20 min; Incubation: Anti-METTL11A Polyclonal Antibody, Unconjugated(bs-6057R) 1:200, overnight at 4°C, followed by conjugation to the secondary antibody(SP-0023) and DAB(C-0010) staining |
风险提示:丁香通仅作为第三方平台,为商家信息发布提供平台空间。用户咨询产品时请注意保护个人信息及财产安全,合理判断,谨慎选购商品,商家和用户对交易行为负责。对于医疗器械类产品,请先查证核实企业经营资质和医疗器械产品注册证情况。
文献和实验Generation of Antibody Molecules Through Antibody Engineering
been overcome to a large extent using genetic-engineering techniques to produce chimeric mouse/human and completely human antibodies. Such an approach is particularly suitable because of the domain structure of the antibody molecule ( 2 ), where functional
The importance of antibody molecules was first recognized in the 1890s, when it was shown that immunity to tetanus and diphtheria was caused by antibodies against the bacterial exotoxins (1 ). Around the same time, it was shown that antisera
General comments: Antibodies, like most proteins, do not like to be freeze-thawed. Avoid repetitive freezing of your solution. The best way to store your antibody is to keep a high protein concentration (>1 mg/ml), add some protease
技术资料暂无技术资料 索取技术资料













