相关产品推荐更多 >
万千商家帮你免费找货
0 人在求购买到急需产品
- 详细信息
- 文献和实验
- 技术资料
- 供应商:
上海康朗生物科技有限公司
- 库存:
大量
- 目录编号:
kl-6105R
- 克隆性:
多克隆
- 抗原来源:
Rabbit
- 保质期:
12个月
- 抗体英文名:
SIRT3 antibody
- 抗体名:
线粒体乙酰化酶3抗体
- 宿主:
Rabbit
- 适应物种:
Human, Mouse, Rat, Dog, Pig, Rabbit,
- 免疫原:
KLH conjugated synthetic peptide derived from human SIRT3:201-300/399
- 亚型:
IgG
- 形态:
冻干粉或液体
- 应用范围:
WB=1:500-2000 ELISA=1:500-1000 IHC-P=1:400-800 IHC-F=1:400-800 IF=1:100-500
- 浓度:
1mg/ml
- 保存条件:
-20 °C
- 规格:
50ul 100ul 200ul
| 中文名称 | 线粒体乙酰化酶3抗体 |
| 别 名 | hSIRT3; hSIRT 3; hSIRT3; Mitochondrial nicotinamide adenine dinucleotide dependent deacetylase; NAD dependent deacetylase sirtuin 3 mitochondrial; NAD-dependent deacetylase sirtuin-3, mitochondrial; Silent mating type information regulation 2 S.cerevisiae homolog 3; Sir 2 like 3; SIR 2 like protein 3; SIR 3; SIR2 L3; Sir2 like 3; SIR2 like protein 3; SIR2-like protein 3; SIR2L3; SIRT 3; SIRT3; SIRT3_HUMAN; Sirtuin 3; Sirtuin silent mating type information regulation 2 homolog 3 (S. cerevisiae); Sirtuin type 3; Sirtuin3. |
| 规格价格 | 50ul/780元 购买 100ul/1380元 购买 200ul/2200元 购买 大包装/询价 |
| 说 明 书 | 50ul 100ul 200ul |
| 研究领域 | 肿瘤 心血管 细胞生物 细胞周期蛋白 线粒体 |
| 抗体来源 | Rabbit |
| 克隆类型 | Polyclonal |
| 交叉反应 | Human, Mouse, Rat, Dog, Pig, Rabbit, |
| 产品应用 | WB=1:500-2000 ELISA=1:500-1000 IHC-P=1:400-800 IHC-F=1:400-800 IF=1:100-500 (石蜡切片需做抗原修复) not yet tested in other applications. optimal dilutions/concentrations should be determined by the end user. |
| 分 子 量 | 43kDa |
| 细胞定位 | 细胞浆 线粒体 |
| 性 状 | Lyophilized or Liquid |
| 浓 度 | 1mg/ml |
| 免 疫 原 | KLH conjugated synthetic peptide derived from human SIRT3:201-300/399 |
| 亚 型 | IgG |
| 纯化方法 | affinity purified by Protein A |
| 储 存 液 | 0.01M TBS(pH7.4) with 1% BSA, 0.03% Proclin300 and 50% Glycerol. |
| 保存条件 | Store at -20 °C for one year. Avoid repeated freeze/thaw cycles. The lyophilized antibody is stable at room temperature for at least one month and for greater than a year when kept at -20°C. When reconstituted in sterile pH 7.4 0.01M PBS or diluent of antibody the antibody is stable for at least two weeks at 2-4 °C. |
| PubMed | PubMed |
| 产品介绍 | background: NAD-dependent protein deacetylase. Activates mitochondrial target proteins, including ACSS1, IDH2 and GDH by deacetylating key lysine residues. Contributes to the regulation of the cellular energy metabolism. Important for regulating tissue-specific ATP levels. Function: NAD-dependent protein deacetylase. Activates mitochondrial target proteins, including ACSS1, IDH2 and GDH by deacetylating key lysine residues. Contributes to the regulation of the cellular energy metabolism. Important for regulating tissue-specific ATP levels. Subunit: Interacts with NDUFA9, ACSS1, IDH2 and GDH. Subcellular Location: Mitochondrion matrix. Tissue Specificity: Widely expressed. Post-translational modifications: Processed by mitochondrial processing peptidase (MPP) to give a 28 kDa product. Such processing is probably essential for its enzymatic activity. Similarity: Belongs to the sirtuin family. Contains 1 deacetylase sirtuin-type domain. SWISS: Q9NTG7 Gene ID: 23410 Database links: Entrez Gene: 23410 Human Entrez Gene: 64384 Mouse Omim: 604481 Human SwissProt: Q9NTG7 Human SwissProt: Q8R104 Mouse Unigene: 716456 Human Unigene: 244216 Mouse Important Note: This product as supplied is intended for research use only, not for use in human, therapeutic or diagnostic applications. |
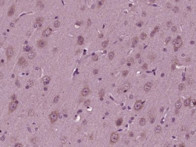
| 产品图片 | ![]() Sample: Liver (Mouse) Lysate at 40 ug Heart (Mouse) Lysate at 40 ug Primary: Anti-SIRT3 (bs-6105R) at 1/300 dilution Secondary: IRDye800CW Goat Anti-Rabbit IgG at 1/20000 dilution Predicted band size: 43 kD Observed band size: 50 kD ![]() Paraformaldehyde-fixed, paraffin embedded (rat brain tissue); Antigen retrieval by boiling in sodium citrate buffer (pH6.0) for 15min; Block endogenous peroxidase by 3% hydrogen peroxide for 20 minutes; Blocking buffer (normal goat serum) at 37°C for 30min; Antibody incubation with (SIRT3) Polyclonal Antibody, Unconjugated (bs-6105R) at 1:400 overnight at 4°C, followed by operating according to SP Kit(Rabbit) (sp-0023) instructionsand DAB staining. |
风险提示:丁香通仅作为第三方平台,为商家信息发布提供平台空间。用户咨询产品时请注意保护个人信息及财产安全,合理判断,谨慎选购商品,商家和用户对交易行为负责。对于医疗器械类产品,请先查证核实企业经营资质和医疗器械产品注册证情况。
文献和实验Generation of Antibody Molecules Through Antibody Engineering
been overcome to a large extent using genetic-engineering techniques to produce chimeric mouse/human and completely human antibodies. Such an approach is particularly suitable because of the domain structure of the antibody molecule ( 2 ), where functional
The importance of antibody molecules was first recognized in the 1890s, when it was shown that immunity to tetanus and diphtheria was caused by antibodies against the bacterial exotoxins (1 ). Around the same time, it was shown that antisera
General comments: Antibodies, like most proteins, do not like to be freeze-thawed. Avoid repetitive freezing of your solution. The best way to store your antibody is to keep a high protein concentration (>1 mg/ml), add some protease
技术资料暂无技术资料 索取技术资料










