相关产品推荐更多 >
万千商家帮你免费找货
0 人在求购买到急需产品
- 详细信息
- 文献和实验
- 技术资料
- 供应商:
上海联迈生物工程有限公司
- 库存:
大量
- 目录编号:
LM-1091R
- 克隆性:
多克隆
- 抗原来源:
Rabbit
- 保质期:
1年
- 抗体英文名:
NADPH oxidase 4
- 抗体名:
NADPH氧化酶4抗体
- 宿主:
Rabbit
- 适应物种:
Human, Mouse, Rat, Dog, Cow, Horse,
- 免疫原:
KLH conjugated synthetic peptide derived from human Nox-4:81-180/578 <Cytoplasmic>
- 亚型:
IgG
- 形态:
Lyophilized or Liquid
- 应用范围:
WB=1:500-2000 ELISA=1:500-1000 IHC-P=1:400-800 IHC-F=1:400-800 Flow-Cyt=1μg/Test ICC=1:100-500 IF=1:100-500 (石蜡切片需做抗原修复)
- 浓度:
1mg/ml
- 保存条件:
Store at -20 °C
- 规格:
50ul 100ul 200ul
| 英文名称 | NADPH oxidase 4 |
| 中文名称 | NADPH氧化酶4抗体 |
| 别 名 | KOX 1; KOX; Nox 4; Nox-4; NADPH oxidase 4; RENOX; Kidney oxidase-1; Kidney superoxide-producing NADPH oxidase; Kox-1; NADPH; Nox4; NOX4_HUMAN; Renal NAD(P)H-oxidase; RENOX. |
![]() |
Specific References (1) | bs-1091R has been referenced in 1 publications. [IF=2.13] Khan, Aslam, Karen Byer, and Saeed R. Khan. "Exposure of Madin-Darby Canine Kidney (MDCK) Cells to Oxalate and Calcium Oxalate Crystals Activates Nicotinamide Adenine Dinucleotide Phosphate (NADPH)-Oxidase." Urology 83.2 (2014): 510-e1. WB ; Dog. PubMed:24360063 |
| 规格价格 | 50ul/780元 购买 100ul/1380元 购买 200ul/2200元 购买 大包装/询价 |
| 说 明 书 | 50ul 100ul 200ul |
| 研究领域 | 细胞生物 免疫学 信号转导 |
| 抗体来源 | Rabbit |
| 克隆类型 | Polyclonal |
| 交叉反应 | Human, Mouse, Rat, Dog, Cow, Horse, |
| 产品应用 | WB=1:500-2000 ELISA=1:500-1000 IHC-P=1:400-800 IHC-F=1:400-800 Flow-Cyt=1μg/Test ICC=1:100-500 IF=1:100-500 (石蜡切片需做抗原修复) not yet tested in other applications. optimal dilutions/concentrations should be determined by the end user. |
| 分 子 量 | 64kDa |
| 细胞定位 | 细胞浆 细胞膜 |
| 性 状 | Lyophilized or Liquid |
| 浓 度 | 1mg/ml |
| 免 疫 原 | KLH conjugated synthetic peptide derived from human Nox-4:81-180/578 <Cytoplasmic> |
| 亚 型 | IgG |
| 纯化方法 | affinity purified by Protein A |
| 储 存 液 | 0.01M TBS(pH7.4) with 1% BSA, 0.03% Proclin300 and 50% Glycerol. |
| 保存条件 | Store at -20 °C for one year. Avoid repeated freeze/thaw cycles. The lyophilized antibody is stable at room temperature for at least one month and for greater than a year when kept at -20°C. When reconstituted in sterile pH 7.4 0.01M PBS or diluent of antibody the antibody is stable for at least two weeks at 2-4 °C. |
| PubMed | PubMed |
| 产品介绍 | background: Nox4 is a renal gp91-phox homolog highly expressed at the site of erythropoietin production in the proximal convoluted tubule epithelial cells of the renal cortex. Nox4 is also expressed in fetal tissues, placenta, glioblastoma and vascular cells. Like gp91-phox, the enzymatic activity of Nox4 produces superoxide anions. In vascular cells, the addition of angiotensin II increases Nox4 expression, which suggests a role for Nox-4 in vascular oxidative stress response. Function: Constitutive NADPH oxidase which generates superoxide intracellularly upon formation of a complex with CYBA/p22phox. Regulates signaling cascades probably through phosphatases inhibition. May function as an oxygen sensor regulating the KCNK3/TASK-1 potassium channel and HIF1A activity. May regulate insulin signaling cascade. May play a role in apoptosis, bone resorption and lipolysaccharide-mediated activation of NFKB. Subunit: Interacts with, relocalizes and stabilizes CYBA/p22phox. Interacts with TLR4. Interacts with protein disulfide isomerase. Subcellular Location: Endoplasmic reticulum membrane; Multi-pass membrane protein. Cell junction, focal adhesion. Cell membrane. Note=May localize to plasma membrane and focal adhesions. Tissue Specificity: EXpressed in brain, in all layers of the cerebellum, in pyramidal cells of the Ammon horn and in Purkinje cells (at protein level). Expressed in osteoclasts, leukocytes, kidney, liver and lung. Similarity: Contains 1 FAD-binding FR-type domain. Contains 1 ferric oxidoreductase domain. SWISS: Q9JHI8 Gene ID: 50507 Database links: Entrez Gene: 50507 Human Entrez Gene: 50490 Mouse Entrez Gene: 85431 Rat Omim: 605261 Human SwissProt: Q9NPH5 Human SwissProt: Q9JHI8 Mouse SwissProt: Q924V1 Rat Unigene: 371036 Human Unigene: 31748 Mouse Unigene: 14744 Rat Important Note: This product as supplied is intended for research use only, not for use in human, therapeutic or diagnostic applications. 还原型辅酶烟酰胺腺嘌呤二核苷酸磷酸(NADPH)oxidase 4:还原型辅酶烟胺腺嘌呤二核苷酸(Nicotinamide adenine dinucleotide reduced, NADH)位于线粒体膜内,是细胞能量代谢所必需的辅酶,主要功能是经电子传递链产生ATP。NADH在维持细胞生长、分化和能量代谢中起重要的作用。 |
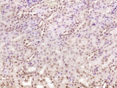
| 产品图片 | ![]() Sample: Cerebellum (Mouse) Lysate at 40 ug Primary: Anti-NADPH oxidase 4 (bs-1091R) at 1/1000 dilution Secondary: IRDye800CW Goat Anti-Rabbit IgG at 1/20000 dilution Predicted band size: 64 kD Observed band size: 64 kD ![]() Sample: Lung (Mouse) Lysate at 40 ug Primary: Anti- NADPH oxidase4 (bs-1091R) at 1/300 dilution Secondary: IRDye800CW Goat Anti-Rabbit IgG at 1/20000 dilution Predicted band size: 64 kD Observed band size: 64 kD ![]() Sample: HepG2 Cell Lysate at 40 ug Primary: Anti- NADPH oxidase 4(bs-1091R) at 1/300 dilution Secondary: IRDye800CW Goat Anti-Rabbit IgG at 1/20000 dilution Predicted band size: 64 kD Observed band size: 64 kD ![]() Sample: Hela Cell Lysate at 40 ug Primary: Anti- NADPH oxidase 4 (bs-1091R) at 1/300 dilution Secondary: IRDye800CW Goat Anti-Rabbit IgG at 1/20000 dilution Predicted band size: 64 kD Observed band size: 64 kD ![]() Sample: heart (Mouse) Lysate at 40 ug Primary: Anti-NADPH oxidase 4 (bs-1091R) at 1/300 dilution Secondary: IRDye800CW Goat Anti-Rabbit IgG at 1/20000 dilution Predicted band size: 64 kD Observed band size: 64 kD ![]() Sample: muscle (Mouse) Lysate at 40 ug Primary: Anti-NADPH oxidase 4 (bs-1091R) at 1/300 dilution Secondary: IRDye800CW Goat Anti-Rabbit IgG at 1/20000 dilution Predicted band size: 64 kD Observed band size: 64 kD ![]() Paraformaldehyde-fixed, paraffin embedded (Mouse kidney); Antigen retrieval by boiling in sodium citrate buffer (pH6.0) for 15min; Block endogenous peroxidase by 3% hydrogen peroxide for 20 minutes; Blocking buffer (normal goat serum) at 37°C for 30min; Antibody incubation with (NADPH oxidase 4) Polyclonal Antibody, Unconjugated (bs-1091R) at 1:400 overnight at 4°C, followed by operating according to SP Kit(Rabbit) (sp-0023) instructions and DAB staining. ![]() Paraformaldehyde-fixed, paraffin embedded (Mouse brain); Antigen retrieval by boiling in sodium citrate buffer (pH6.0) for 15min; Block endogenous peroxidase by 3% hydrogen peroxide for 20 minutes; Blocking buffer (normal goat serum) at 37°C for 30min; Antibody incubation with (NADPH oxidase 4) Polyclonal Antibody, Unconjugated (bs-1091R) at 1:400 overnight at 4°C, followed by operating according to SP Kit(Rabbit) (sp-0023) instructions and DAB staining. ![]() Tissue/cell: rat brain tissue; 4% Paraformaldehyde-fixed and paraffin-embedded; Antigen retrieval: citrate buffer ( 0.01M, pH 6.0 ), Boiling bathing for 15min; Block endogenous peroxidase by 3% Hydrogen peroxide for 30min; Blocking buffer (normal goat serum,C-0005) at 37℃ for 20 min; Incubation: Anti-Nox4 Polyclonal Antibody, Unconjugated(bs-1091R) 1:200, overnight at 4°C, followed by conjugation to the secondary antibody(SP-0023) and DAB(C-0010) staining ![]() Blank control: Raji. Primary Antibody (green line): Rabbit Anti-NADPH oxidase 4 antibody (bs-1091R) Dilution: 1μg /10^6 cells; Isotype Control Antibody (orange line): Rabbit IgG . Secondary Antibody : Goat anti-rabbit IgG-PE Dilution: 1μg /test. Protocol The cells were fixed with 4% PFA (10min at room temperature)and then permeabilized with PBST for 20 min at room temperature. The cells were then incubated in 5%BSA to block non-specific protein-protein interactions for 30 min at at room temperature .Cells stained with Primary Antibody for 30 min at room temperature. The secondary antibody used for 40 min at room temperature. Acquisition of 20,000 events was performed. |
风险提示:丁香通仅作为第三方平台,为商家信息发布提供平台空间。用户咨询产品时请注意保护个人信息及财产安全,合理判断,谨慎选购商品,商家和用户对交易行为负责。对于医疗器械类产品,请先查证核实企业经营资质和医疗器械产品注册证情况。
文献和实验人NADPH氧化酶(NADPH-OX)酶联免疫分析(ELISA)
人 NADPH氧化酶( NADPH -OX) 酶联免疫 分析(ELISA) 试剂 盒使用说明书 本试剂仅供研究使用 目的:本试剂盒用于测定人血清,血浆,组织及相关液体样本中 NADPH 氧化酶 的活性。 实验原理 : 本试剂盒应用双抗体夹心法测定 标本 中 人 NADPH氧化酶 水平。用纯化的 人 NADPH氧化酶 抗体包被微孔板,制成固相抗体,往包被单抗的微孔中依次加入 NADPH氧化酶 ,再与HRP 标记
/bitstream/2239/35034/1/NaCl%E5%AF%B9%E5%B0%8F%E9%BA%A6%E6%A0%B9%E8%B4%A8%E8%86%9CNADPH%E6%B0%A7%E5%8C%96%E9%85%B6%E6%B4%BB%E6%80%A7%E7%9A%84%E5%BD%B1%E5%93%8 D .pdf2.http://www.pubmedcentral.nih.gov/picrender.fcgi?artid=158513&blobtype=pdf国外文献中使用较多的NADPH氧化酶
- 抑制。和抗坏血酸氧化酶一起,借助氧使酚类氧化,所产生的苯醌类在醌还原酶的作用下可被谷胱甘肽和 NADPH等还原,构成一种电子传递系统。如果发生象马铃薯块茎切口那样的细胞损伤,由于绿原酸和酪氨酸的氧化产生的醌不能还原,而聚合生成黑素变成褐色。
技术资料暂无技术资料 索取技术资料





















