相关产品推荐更多 >
万千商家帮你免费找货
0 人在求购买到急需产品
- 详细信息
- 文献和实验
- 技术资料
- 供应商:
上海联迈生物工程有限公司
- 库存:
大量
- 目录编号:
LM-6051R
- 克隆性:
多克隆
- 抗原来源:
Rabbit
- 保质期:
1年
- 抗体英文名:
Prostaglandin dehydrogenase 1
- 抗体名:
前列腺素脱氢酶1抗体
- 宿主:
Rabbit
- 适应物种:
Human, Mouse, Rat, Pig, Cow, Horse, Rabbit,
- 免疫原:
KLH conjugated synthetic peptide derived from human Prostaglandin dehydrogenase 1:55-160/266
- 亚型:
IgG
- 形态:
Lyophilized or Liquid
- 应用范围:
WB=1:500-2000 ELISA=1:500-1000 IHC-P=1:400-800 IHC-F=1:400-800 IF=1:100-500 (石蜡切片需做抗原修复)
- 浓度:
1mg/ml
- 保存条件:
Store at -20 °C
- 规格:
100ul 200ul
| 英文名称 | Prostaglandin dehydrogenase 1 |
| 中文名称 | 前列腺素脱氢酶1抗体 |
| 别 名 | HPGD; Hydroxyprostaglandin dehydrogenase 15 (NAD); NAD+ dependent 15 hydroxyprostaglandin dehydrogenase; PGDH; PGDH_HUMAN; PGDH1; Prostaglandin dehydrogenase 1; SDR36C1; Short chain dehydrogenase/reductase family 36C,member 1; 15 hydroxyprostaglandin dehydrogenase [NAD+]; 15 PGDH; 15-hydroxyprostaglandin dehydrogenase [NAD+]; 15-PGDH; 15PGDH. |
![]() |
Specific References (1) | bs-6051R has been referenced in 1 publications. [IF=1.89] Hu, Min, et al. "15-PGDH expression as a predictive factor response to neoadjuvant chemotherapy in advanced gastric cancer." Int J Clin Exp Pathol8.6 (2015): 6910-6918. IHC-P ; Human. PubMed:26261578 |
| 规格价格 | 100ul/1380元 购买 200ul/2200元 购买 大包装/询价 |
| 说 明 书 | 100ul 200ul |
| 研究领域 | 免疫学 信号转导 |
| 抗体来源 | Rabbit |
| 克隆类型 | Polyclonal |
| 交叉反应 | Human, Mouse, Rat, Pig, Cow, Horse, Rabbit, |
| 产品应用 | WB=1:500-2000 ELISA=1:500-1000 IHC-P=1:400-800 IHC-F=1:400-800 IF=1:100-500 (石蜡切片需做抗原修复) not yet tested in other applications. optimal dilutions/concentrations should be determined by the end user. |
| 分 子 量 | 29kDa |
| 细胞定位 | 细胞浆 |
| 性 状 | Lyophilized or Liquid |
| 浓 度 | 1mg/ml |
| 免 疫 原 | KLH conjugated synthetic peptide derived from human Prostaglandin dehydrogenase 1:55-160/266 |
| 亚 型 | IgG |
| 纯化方法 | affinity purified by Protein A |
| 储 存 液 | 0.01M TBS(pH7.4) with 1% BSA, 0.03% Proclin300 and 50% Glycerol. |
| 保存条件 | Store at -20 °C for one year. Avoid repeated freeze/thaw cycles. The lyophilized antibody is stable at room temperature for at least one month and for greater than a year when kept at -20°C. When reconstituted in sterile pH 7.4 0.01M PBS or diluent of antibody the antibody is stable for at least two weeks at 2-4 °C. |
| PubMed | PubMed |
| 产品介绍 | background: This gene encodes a member of the short-chain nonmetalloenzyme alcohol dehydrogenase protein family. The encoded enzyme is responsible for the metabolism of prostaglandins, which function in a variety of physiologic and cellular processes such as inflammation. Mutations in this gene result in primary autosomal recessive hypertrophic osteoarthropathy and cranioosteoarthropathy. Multiple transcript variants encoding different isoforms have been found for this gene. [provided by RefSeq, Mar 2009]. Function: Prostaglandin inactivation. Contributes to the regulation of events that are under the control of prostaglandin levels. Catalyzes the NAD-dependent dehydrogenation of lipoxin A4 to form 15-oxo-lipoxin A4. Inhibits in vivo proliferation of colon cancer cells. Subunit: Homodimer. Subcellular Location: Cytoplasm. Tissue Specificity: Detected in colon epithelium (at protein level). DISEASE: Hypertrophic osteoarthropathy, primary, autosomal recessive, 1 (PHOAR1) [MIM:259100]: A disease characterized by digital clubbing, periostosis, acroosteolysis, painful joint enlargement, and variable features of pachydermia that include thickened facial skin and a thickened scalp. Other developmental anomalies include delayed closure of the cranial sutures and congenital heart disease. Note=The disease is caused by mutations affecting the gene represented in this entry. Cranioosteoarthropathy (COA) [MIM:259100]: A form of osteoarthropathy characterized by swelling of the joints, digital clubbing, hyperhidrosis, delayed closure of the fontanels, periostosis, and variable patent ductus arteriosus. Pachydermia is not a prominent feature. Note=The disease is caused by mutations affecting the gene represented in this entry. Isolated congenital nail clubbing (ICNC) [MIM:119900]: A rare genodermatosis characterized by enlargement of the nail plate and terminal segments of the fingers and toes, resulting from proliferation of the connective tissues between the nail matrix and the distal phalanx. It is usually symmetrical and bilateral (in some cases unilateral). In nail clubbing usually the distal end of the nail matrix is relatively high compared to the proximal end, while the nail plate is complete but its dimensions and diameter more or less vary in comparison to normal. There may be different fingers and toes involved to varying degrees. Some fingers or toes are spared, but the thumbs are almost always involved. Note=The disease is caused by mutations affecting the gene represented in this entry. Similarity: Belongs to the short-chain dehydrogenases/reductases (SDR) family. SWISS: P15428 Gene ID: 3248 Database links: Entrez Gene: 3248 Human Omim: 601688 Human SwissProt: P15428 Human Unigene: 596913 Human Important Note: This product as supplied is intended for research use only, not for use in human, therapeutic or diagnostic applications. |
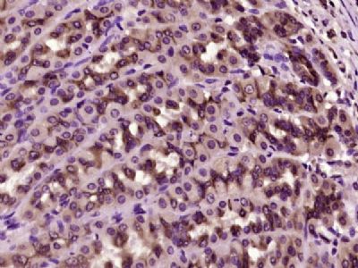
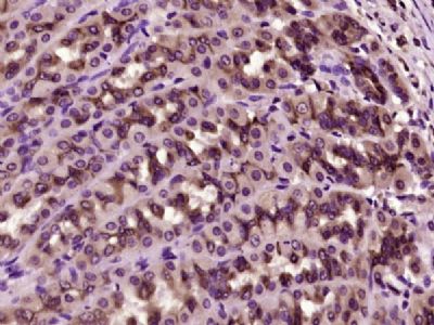
| 产品图片 | ![]() Sample: SW480(Human) Cell Lysate at 30 ug Primary: Anti-Prostaglandin dehydrogenase 1 (bs-6051R) at 1/1000 dilution Secondary: IRDye800CW Goat Anti-Rabbit IgG at 1/20000 dilution Predicted band size: 29 kD Observed band size: 29 kD ![]() Sample: LOVO(Human) Cell Lysate at 30 ug Primary: Anti-Prostaglandin dehydrogenase 1 (bs-6051R) at 1/1000 dilution Secondary: IRDye800CW Goat Anti-Rabbit IgG at 1/20000 dilution Predicted band size: 29 kD Observed band size: 29 kD ![]() Paraformaldehyde-fixed, paraffin embedded (rat stomach tissue); Antigen retrieval by boiling in sodium citrate buffer (pH6.0) for 15min; Block endogenous peroxidase by 3% hydrogen peroxide for 20 minutes; Blocking buffer (normal goat serum) at 37°C for 30min; Antibody incubation with (PGDH) Polyclonal Antibody, Unconjugated (bs-6051R) at 1:400 overnight at 4°C, followed by operating according to SP Kit(Rabbit) (sp-0023) instructionsand DAB staining. |
风险提示:丁香通仅作为第三方平台,为商家信息发布提供平台空间。用户咨询产品时请注意保护个人信息及财产安全,合理判断,谨慎选购商品,商家和用户对交易行为负责。对于医疗器械类产品,请先查证核实企业经营资质和医疗器械产品注册证情况。
文献和实验分子结构不同,可把前列腺素分为 A、 B、 C、 D、 E、 F、 G、 H、 I等型。研究较多的有 E、 F、 A、 B、 I型。 前列腺素广泛存在于人类和哺乳动物组织和体液中。已知精液、精囊腺、前列腺、子宫、卵巢、胎盘、脐带、羊水、脑、肾、肺、胸腺、脾、甲状腺、胃肠道等器官都含前列腺素。能合成前列腺素的亦有多种器官,以精囊腺合成能力最强。 前列腺素在体内代谢极快,肺、肝、肾组织中含 15-羟基前列腺素脱氢酶。循环血液流经肺一次,将有 90%以上前列腺素失活
-苯甲酰-L-精氨酸乙酯-醇脱氢酶(N-benzoy –L-arginine sthyl esteralcohol dehydrogenase,BAEE-ADH)法测定。 [参考值 ] BAWW-ADH法(X±s)36.72±21.43U/L [临床意义]在项体反应中项体酶和其它的水解酶一起释放,使卵细胞透明带水解,钏使精子进入卵细胞,完成受精过程,项体酶还能促进生殖系统中的激肽释放,增强精子活力,促进精子运动,有利于受精。精子项体酶活性减低将致生育力下降。据报道不育组项体酶活性显著
研究的另一侧重热点。李剑通过蛋白聚集体对3-磷酸甘油醛脱氢酶(GAPDH)去折叠和重折叠过程中聚集的影响研究蛋白质聚集的规律性。GAPDH在去折叠和重折叠过程中发生的聚集呈现S型曲线。蛋白聚集体的存在加速GAPDH的聚集,但不增加聚集的量也不影响GAPDH最终的复性效率。说明蛋白聚集体作为种子通过疏水相互作用只诱导那些注定要聚集的GAPDH折叠中间体聚集,而不改变GAPDH原来的折叠途径中正确重折叠蛋白和错误折叠而发生聚集的分配比例。此外,两种不同的蛋白在同一系统中共同复性时不相互干扰。这些发现
技术资料暂无技术资料 索取技术资料














