万千商家帮你免费找货
0 人在求购买到急需产品
- 详细信息
- 文献和实验
- 技术资料
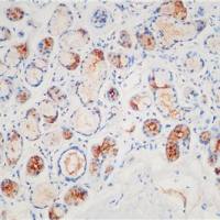
免疫荧光技术(Immunofluorescence technique )又称荧光抗体技术,是标记免疫技术中发展最早的一种。它是在免疫学、生物化学和显微镜技术的基础上建立起来的一项技术。很早以来就有一些学者试图将抗体分子与一些示踪物质结合,利用抗原抗体反应进行组织或细胞内抗原物质的定位。
实验原理
将不影响抗原抗体活性的荧光色素标记在抗体(或抗原)上,与其相应的抗原(或抗体)结合后,在荧光显微镜下呈现一种特异性荧光反应。
实验流程
免疫荧光单标记方法
免疫荧光单标记是指只标记一种蛋白质分子,方法比较简单,只要按照染色步骤去做,通常不存在太多的问题。但要注意固定液的选择,固定液选择的合适与否,可能会直接影响染色结果。具体染色方法如下。
1、所需材料与试剂
a, 培养在盖玻片或玻璃培养皿中融合程度达到60%-70%的细胞。
b, 一抗、FITC或TRITC标记的二抗。
c, 4%多聚甲醛固定液或冷丙酮固定液 (-20℃预冷20 min)。
d, 封闭液。
e, 0.01mol/LPBS缓冲液。
2、染色方法
a, 取出培养有细胞的盖玻片或glass-bottom培养皿,用0.01MPBS洗2-3遍。
b, 加入0.3%的Tritonx-100, 37℃, 30 rain
c, 加入4%多聚甲醛试问固定30 min或冷丙酮4℃固定10 min。
d,正常阻断血清1:20封闭试问20-30 min,抑制IgG的非特异性结合。阻断血清必须选择与二抗同一种属的正常血清。
e, 去掉正常血清,直接加入一抗,37℃孵育1 h或4℃过夜。抗体以0.01 mo/LPBS稀释(理想的抗体浓度需经试验而定)。
f, 0.3% TritonX-100洗5 min,0.01 mol/IPBS洗5 min,0.3% TritonX 5 min,0.01 M PBS洗5 rain。
g, 加入FITC-二抗或TRITC-二抗,37℃,孵育1h。
h, 0.3%TritonX-100洗5rain,0.01 mol/LPBS洗5min,0.3% Triton X 5min,0.01mol/LPBS洗5 min,用滤纸吸干。
i, 90%甘油(PBS配制)封片。
j, 激光扫描共焦显微镜下观察,或于4℃避光保存。
免疫荧光双标记方法
免疫荧光的双标记是指同时标记细胞内两种蛋白质分子,当怀疑某种配体与已知受体结合后可用此方法加以证明。此方法稍微复杂一些,首先应注意所用的一抗必须是来自不同种属动物的两种特异性抗体(例如:A抗体为多克隆抗体,来自家兔;B抗体为单克隆抗体,来自小鼠)。其次,两种二抗所带荧光素的发射光不应重叠,且尽量远离,通常可以选择FITC和TRITC、Alex488和TRITC、FITC和Cy5,或Cy3和Cy5等来组合。通常情况下,染色时两种一抗可以同时孵育,然后可以同时孵育两种二抗。但当染色结果一种颜色非常弱,而另一种颜色比较强时,应考虑先孵育颜色较弱的二抗。其他步骤同免疫荧光单标记。
客户提供
细胞株或细胞爬片。注:细胞爬片不宜太密;细胞必须固定。组织切片,一抗
公司提供
基本实验步骤、药品、样品处理、图片及图片分析,荧光显微镜或共聚焦显微镜拍摄
实验周期:2-3周
实验原理
将不影响抗原抗体活性的荧光色素标记在抗体(或抗原)上,与其相应的抗原(或抗体)结合后,在荧光显微镜下呈现一种特异性荧光反应。
实验流程
免疫荧光单标记方法
免疫荧光单标记是指只标记一种蛋白质分子,方法比较简单,只要按照染色步骤去做,通常不存在太多的问题。但要注意固定液的选择,固定液选择的合适与否,可能会直接影响染色结果。具体染色方法如下。
1、所需材料与试剂
a, 培养在盖玻片或玻璃培养皿中融合程度达到60%-70%的细胞。
b, 一抗、FITC或TRITC标记的二抗。
c, 4%多聚甲醛固定液或冷丙酮固定液 (-20℃预冷20 min)。
d, 封闭液。
e, 0.01mol/LPBS缓冲液。
2、染色方法
a, 取出培养有细胞的盖玻片或glass-bottom培养皿,用0.01MPBS洗2-3遍。
b, 加入0.3%的Tritonx-100, 37℃, 30 rain
c, 加入4%多聚甲醛试问固定30 min或冷丙酮4℃固定10 min。
d,正常阻断血清1:20封闭试问20-30 min,抑制IgG的非特异性结合。阻断血清必须选择与二抗同一种属的正常血清。
e, 去掉正常血清,直接加入一抗,37℃孵育1 h或4℃过夜。抗体以0.01 mo/LPBS稀释(理想的抗体浓度需经试验而定)。
f, 0.3% TritonX-100洗5 min,0.01 mol/IPBS洗5 min,0.3% TritonX 5 min,0.01 M PBS洗5 rain。
g, 加入FITC-二抗或TRITC-二抗,37℃,孵育1h。
h, 0.3%TritonX-100洗5rain,0.01 mol/LPBS洗5min,0.3% Triton X 5min,0.01mol/LPBS洗5 min,用滤纸吸干。
i, 90%甘油(PBS配制)封片。
j, 激光扫描共焦显微镜下观察,或于4℃避光保存。
免疫荧光双标记方法
免疫荧光的双标记是指同时标记细胞内两种蛋白质分子,当怀疑某种配体与已知受体结合后可用此方法加以证明。此方法稍微复杂一些,首先应注意所用的一抗必须是来自不同种属动物的两种特异性抗体(例如:A抗体为多克隆抗体,来自家兔;B抗体为单克隆抗体,来自小鼠)。其次,两种二抗所带荧光素的发射光不应重叠,且尽量远离,通常可以选择FITC和TRITC、Alex488和TRITC、FITC和Cy5,或Cy3和Cy5等来组合。通常情况下,染色时两种一抗可以同时孵育,然后可以同时孵育两种二抗。但当染色结果一种颜色非常弱,而另一种颜色比较强时,应考虑先孵育颜色较弱的二抗。其他步骤同免疫荧光单标记。
客户提供
细胞株或细胞爬片。注:细胞爬片不宜太密;细胞必须固定。组织切片,一抗
公司提供
基本实验步骤、药品、样品处理、图片及图片分析,荧光显微镜或共聚焦显微镜拍摄
实验周期:2-3周
风险提示:丁香通仅作为第三方平台,为商家信息发布提供平台空间。用户咨询产品时请注意保护个人信息及财产安全,合理判断,谨慎选购商品,商家和用户对交易行为负责。对于医疗器械类产品,请先查证核实企业经营资质和医疗器械产品注册证情况。
文献和实验相关实验
固定和透化 在培养板中将已爬好细胞的盖玻片用 1 × PBS 浸洗 3 次,每次 3 min。 用 4% 的多聚甲醛固定爬片 15 min,1 × PBS 浸洗玻片 3次,每次 3 min。 0.5%Triton X-100(1× PBS 配制 )室温通透细胞 15 min(细胞膜上表达的抗原省略此步骤), 1 × PBS 浸洗玻片 3 次,每次 3 min。 封闭 吸水纸吸干 1 ×PBS,在玻片上滴加 5% 的正常血清(与二抗种属来源一致或相似),室温封闭 1 h
实验流程:多靶点免疫荧光染色的实验操作与普通单标记免疫组化流程相似。试剂盒中的荧光染料可以在HRP酶的作用下将信号共价结合到抗原上,随后即可衔接下一轮单标染色,直至全部标记完成,即可复染DAPI后封片观察。1.脱蜡水合:1)新鲜二甲苯浸片10min,重复3次。2)梯度乙醇浸片,100% 5min;95% 5min;70% 2min。3)灭菌水洗片1min,重复3次。4)10%中性福尔马林浸片10min,灭菌水洗片1min,重复3次。2.微波修复:1)将脱蜡水合后的玻片置于修复杯中,用抗原
技术资料暂无技术资料 索取技术资料
免疫荧光
询价







